14岁女孩喝了珍珠奶茶后,五天没有排便,还肚子疼,CT检查发现胃肠道,布满一颗颗圆圆的高密度阴影,肠胃道里全是“珍珠”

5月28日晚上9点,诸暨市人民医院急诊科收治了一名14岁小姑娘朱丽(化名)。她说自己肚子疼,已经四五天没有排便了。
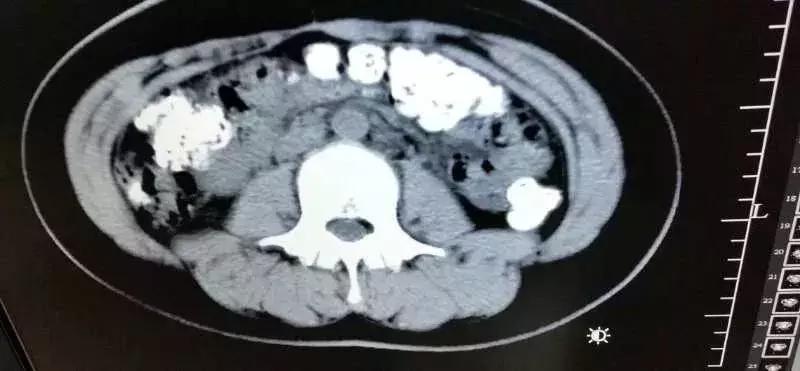
急诊科医生张楼炜对朱丽进行了初步检查,发现她肚子鼓鼓的,就让她去做了腹部CT,谁知道,拍出来的片子让张楼炜大吃一惊,患者胃部、横结肠、升结肠、降结肠、乙状结肠,一直到肛门,全是颗粒状阴影,足有百余颗。


怀疑“珍珠”添加其他东西
张楼炜问小沈最近吃过什么不易消化的食物?女孩吞吞吐吐地说5天前喝过珍珠奶茶。

“小女孩可能是怕父母说她,而隐瞒了——这么多未消化的‘珍珠’不像喝一杯奶茶就积累的,应该是近期喝了一段时间造成的。”
张楼炜推断。之后,他给患者开了润肠通便的药物,帮助将未消化的“珍珠”排出体外。
珍珠奶茶里的“珍珠”是用木薯淀粉做的,本身就不易消化。再加上商家为了令“珍珠”更Q弹、有嚼头,就会在制作过程中加入一些胶类的物质,令珍珠难以消化。


医生建议少喝奶茶!
张楼炜说,至于这样的情况是不是重金属超标,还需要进一步确诊!不过,在他曾经接受的病人中,的确有类似的情况,是重金属超标的。
张楼炜建议:日常生活中,还是尽量少喝珍珠奶茶!因为,大部分奶茶中的“珍珠”除了不消化,还会添加不少食品添加剂、增稠剂以及防腐剂等。

同时,奶茶本身就含有反式脂肪酸,喝多了也会增大心血管患病的风险,体内的激素水平也会偏高。

这些食物孩子也要少吃!
营养学家提醒父母,以下5种食物,最好不要进入孩子的菜单。
1、不熟的鸡蛋
给孩子吃的鸡蛋,一定要全熟。

有新闻称,台湾地区一家人吃「寿喜烧」时,不小心将沾了生蛋液的涮肉喂给孩子,导致2岁的双胞胎感染了沙门氏菌,引发败血症,连续高烧4天,紧急治疗14天才脱险。

给孩子吃鸡蛋,切记「宁要老,勿贪嫩」,多加工一会儿,虽损失口感,但有健康保证。
2、乳饮料
很多奶制品虽然长得像奶,却不是真正的奶。
比如,很多口味酸酸甜甜的儿童奶,加了核桃、花生、红枣等的调制奶,以及我们常喝的很像酸奶的果粒奶,都不算真正的纯牛奶或酸奶,而属于乳饮料。
按国家标准,纯牛奶中的蛋白质含量不应小于2.9%,低于此标准的均不是纯牛奶。

最好给孩子选择纯牛奶或酸奶,而不是添加剂多、含糖量高的乳饮品,否则只会增加饱腹感,摄入的营养大打折扣。
另外,给孩子选牛奶,还要看包装盒配料表,仔细辨别是否标有「饮料」、「饮品」、「含乳饮料」等字样,以免误选。

3、隔夜菜
有实验机构专门做了实验,结果表明:隔夜菜中细菌超标,一旦胃肠稚嫩的孩子食用后,极易引起肠胃炎。
如果一定要吃隔夜菜,必须充分加热,比如大火蒸10分钟以上,以杀死各种细菌和微生物。

当然,给孩子的早餐,还是新鲜的食物最好。
4、高糖零食
把孩子经常吃的一些食品换算成糖分:
一瓶乳酸菌饮料=66克糖;
一瓶橙汁=48克糖;
一瓶可乐=35克糖;
一块奶油蛋糕=44克糖;
一盒话梅竟然等于149克糖,相当于4瓶可乐。
如果这些高糖食物成为孩子早餐的一部分,那孩子摄入的糖分不禁让人担忧。
孩子长期食用高糖零食,尤其是早餐,不但损伤肠胃消化吸收功能,还会造成营养不均衡,导致肥胖和免疫力下降。
用零食敷衍孩子的一日三餐,不良后果会全由孩子身体买单。

5、方便面、速冻食品
很多孩子都喜欢吃方便面,一些父母因为工作忙或是犯懒,经常会给孩子煮方便面。
但实际上,方便面属于高盐食品,吃多会影响正常食欲,还会降低孩子味蕾的敏感度,「口重」的孩子成年后更易得高血压和糖尿病。
另外,一些速冻水饺、包子、鸡柳、牛排等也不适合经常给孩子吃。速冻食品中往往会加入防腐剂,保存时间过长还会出现各种致病菌超标的问题。
切记给孩子长期食用速食餐,图一时方便,可能会给孩子带来更大的安全隐患。
