54岁的赵女士在10年前出现左膝关节疼痛,近半年来症状加重。有持续中到重度的疼痛,行走活动时加剧,同时伴有膝关节屈曲受限。目前赵女士的膝关节重度疼痛,药物保守治疗无效,为求进一步诊治,她来到上海市第六人民医院骨科,门诊以左膝关节炎收入病房。
入院后刘万军主任对赵女士进行了详细的检查发现,赵女士的左膝关节存在严重的内翻畸形,关节间隙明显缩小。不仅股骨侧存在畸形,且胫骨侧也存在畸形。当股骨和胫骨均存在畸形时,试图仅通过胫骨侧截骨或股骨侧截骨来矫正这类畸形可能会导致术后关节线发生非生理性倾斜,使得关节表面软骨遭受的剪切力增加。长期的剪切应力会使得软骨超过其承载负荷的极限,造成软骨面的损伤,加快骨关节炎的发生和进展。此外,关节线倾斜还可能引起膝关节周围韧带的松弛,从而在负重时容易产生半脱位。因此,刘万军主任团队准备对赵女士的左膝关节同时进行股骨远端截骨术+胫骨高位截骨术(DFO+HTO),以此矫正左膝严重内翻畸形,更好地恢复关节力线和膝关节的正常解剖角度。
通过术前在计算机上精确规划截骨线及矫正角度后,刘万军主任团队对赵女士的左膝同时进行了股骨远端截骨术+胫骨高位截骨术。先取左膝关节的正中切口,行内松解后,按标准手术行髌骨修整。股骨切骨完整后,试装假体复位,调试后用骨水密固定安装假体。之后取左膝关节屈膝90度,采用外侧倒T行切口,分离胫骨外侧组织,在胫骨平台远侧2cm处截骨,用C形臂X线机检查位置,反复检查下肢对线,在腓骨前方行内固定。手术进行的非常顺利,出血少,历时约3小时10分钟。术后赵女士的膝关节疼痛消失,膝内翻畸形得到明显改善。



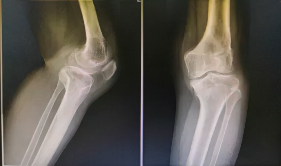
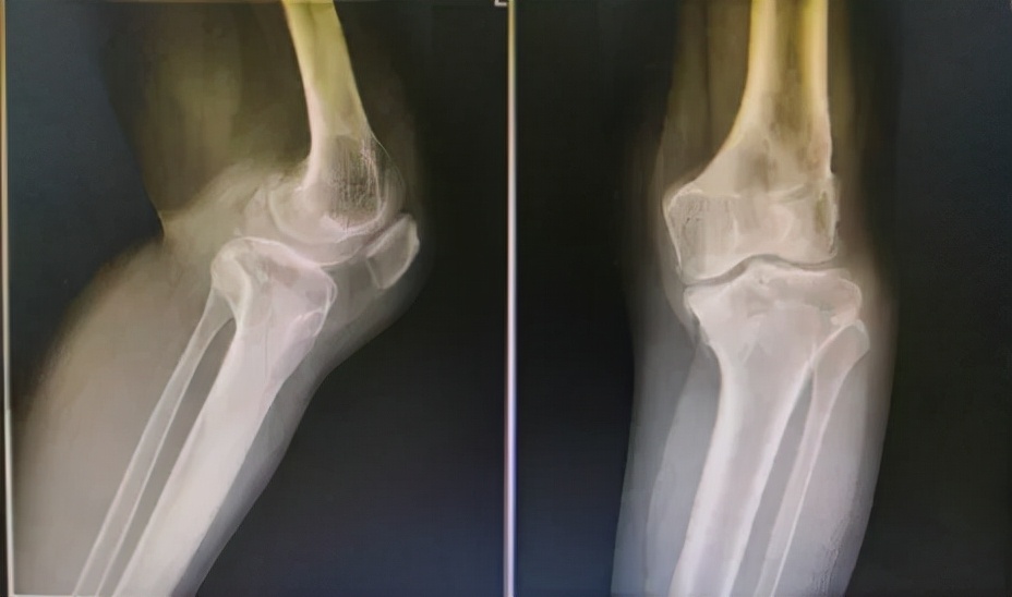
术前

术前

术前规划



术后半年

术后半年

术后1年

术后1年

术后1年视频
刘万军主任介绍到,为了避免截骨术后关节线倾斜的发生,越来越多的学者主张在复杂畸形中应行股骨和胫骨的双部位截骨。股骨和胫骨双部位截骨的优势在于可以在维持关节线位置的同时,恢复膝关节正常解剖角度,从而保证下肢应力的合理分布。然而其也存在一些缺点,比如造成的创伤较大、术中发生并发症的可能性增加、康复及骨愈合的时间延长等。
拓展阅读
股骨和胫骨双部位截骨
根据截骨的原则,截骨应该在畸形明显部位进行,这样可以实现最完美的矫正,若部位选择不合理可能会加重原有畸形甚至导致新的畸形。
双部位截骨患者的选择目前尚缺乏明确的定论,通常认为合适的人群为:
- 单间室骨关节炎合并下肢内翻畸形,在畸形分析中股骨、胫骨均存在畸形,且单纯矫正股骨或胫骨会造成术后关节线显著偏离正常范围;
- 患肢仅有轻度的力线异常,甚至在正常范围内,但关节线有明显的倾斜,对关节面产生不良剪切力者;
- 年轻活跃或功能要求高的患者。
双部位截骨通常需要在膝关节近、远端两个相反的方向进行,针对膝内翻畸形,通常采用股骨远端外侧闭合楔形截骨联合胫骨近端内侧撑开截骨。手术计划包括:
1.评估下肢力线判断内外翻畸形;
2.进一步判断畸形的来源;
3.确定目标力线;
4.确定截骨线和合页;
5.确定截骨角度

专家简介
上海市第六人民医院 刘万军主任

- 主任医师,医学博士,研究生导师;
- 上海交通大学医学院附属第六人民医院;
- 骨科-关节外科主任医师,临港院区关节外科负责人
现担任美国骨创伤骨科学会(OTA)国际会员,亚洲创伤骨科学会(AADO)会员,上海关节外科学组委员,上海市中西医结合学会创伤专业委员会委员,上海市康复医学工程研究会理事,上海市骨关节及运动医学临床康复专业委员会委员,中国研究型医院学会骨科创新与转化专业委员会关节外科学组膝关节专业组委员,上海市浦东新区医学会骨科专业委员会委员,中国中西医结合学会骨伤科分会第八届委员会保膝专家委员会常务委员,《中华创伤骨科杂志》通讯编委。
先后在新加坡中央医院、法国南特医院和法国圣马洛医院骨科进修学习,2010年7月结束了美国哈佛大学附属麻省总医院(MGH)近两年的留学生活回国,在哈佛大学期间主攻各类关节疾病的诊治以及人工关节置换手术。回国后继续从事人工关节置换手术以及骨关节疾病的基础研究工作,主持上海市关于关节软骨修复的课题。已在各类骨科专业学术刊物上发表论文40余篇,参编医学专著4部,副主译译著2部。多次应邀参加国际会议。主持省级课题1项,主持并完成市级计划课题6项,获省科学技术进步三等奖3项,市科学技术进步二等3项,医学院科技进步一等奖1项。
擅长疾病:
1、髋关节置换、膝关节置换手术(股骨头坏死、严重骨折手术后髋关节炎、严重髋关节发育不良、严重类风湿性髋关节炎、髋关节僵直、严重老年骨质增生性膝关节炎引起的关节痛);
2、髋膝关节翻修术;
3、早期股骨头坏死的保髋手术;
4、早期膝关节骨性关节炎的保膝手术;
5、关节置换术后假体感染及术后骨折;
6、各类骨关节疼痛疾病的微创治疗。