出现下肢肿胀的原因有哪些?
下肢包括大腿、小腿、踝和足等几个区域,也可简要地统称为“腿”。腿肿是很常见的临床症状之一,其致病因素也很多。
比如重要脏器(心、肝、肾等)功能不全、营养不良、感染发炎、长了肿瘤,等等,都可引起腿肿。
一般来说,心、肝、肾等功能不全或全身营养代谢等问题引起的水肿,通常是两条腿一起肿,而且也常常会伴有颜面或全身水肿等伴随症状,通过做心电图、化验肝功能、肾功能等指标,还是比较容易鉴别开来的。

腿肿很常见,原因可不单纯
如果只是一条腿肿,应该如何诊断与鉴别?
前面提到感染、肿瘤,均可只引起一条腿肿,不过更多“一条腿”的肿胀,往往都是“这一条腿”的静脉回流出现了问题。也就是说,是静脉内的血液凝固形成血栓,阻塞血液向心脏回流,于是就淤积在局部而引起水肿。
一般来说,感染、肿瘤和血栓形成由于病因、机制不同,其伴随症状和体征会有不同,通过询问病史和症状以及“视触叩听”的临床检查,大致可以得到分辨,再结合化验和影像检查就可以得到比较准确的结论。比如,感染发炎常常会伴有疼痛、皮肤发红发热,化验检查会发现白细胞升高;肿瘤的疼痛往往不明显,但却可能摸到硬块,X线照片、CT或MRI检查会见到特征性影像;而静脉血栓形成则可通过静脉造影、超声检查发现血流堵塞等特征性表现,诊断可靠性高。

看得出患者左下肢明显肿胀吗?颜色都变了!
如何快速诊断静脉血栓形成?
答案就是超声检查,我为此还创作了一句顺口溜:突然肿了一条腿,先做超声不后悔。
因为超声检查简便、经济而又无创,没有病例选择的禁忌,能敏感地显示血流,且可用不同的颜色表示血液的流动方向,还能通过加压形变等信息判断管壁状况以及管内的血栓性质,因而可以比较好地诊断静脉血管的阻塞以及侧支循环的建立情况,为下一步的治疗提供比较准确的参考信息。
除此这外,通过足背静脉注入对比剂进行顺行性造影,也能够较好地显示下肢静脉的影像,既简便又安全。但静脉造影常常难以显示血管的全貌,如肢端肿胀明显,要进行静脉穿刺造影也不容易。

血管彩超可显示血管通畅性及血流方向
通过介入手段,进行静脉插管造影,不但可以达到清晰显示静脉的诊断目的,同时还可进行溶栓、取栓、血管成形等治疗操作。其诊疗价值很高,然而,介入插管造影费用高、有一定风险,对静脉的显示也存在盲区,如果仅仅作为疑诊静脉血栓的首选方法并不合适。

静脉插管造影清晰显示血栓形成的充盈缺损
腿肿患者又突然胸痛、气急,怎么回事?
遇到这样的患者,有经验的医生很快就会想到,患者很可能是由于下肢静脉内的血栓脱落,随着血流进入了肺动脉内,并发了“肺栓塞”。
所谓肺栓塞,也称为“肺动脉栓塞”,是指肺动脉被血块等栓子阻塞所形成的一种病理状态。肺栓塞可引起肺组织的缺血坏死,即“肺梗死”,更严重的是,它能够造成肺无法进行气体交换,从而危及生命。因此,肺栓塞属于需要紧急干预的急症。
肺栓塞与下肢或盆腔的深静脉血栓形成有比较大的相关性,甚至多认为两者是同一种疾病的不同阶段。因此,出现下肢肿胀的患者真的不能轻视,特别是腿肿后又出现胸痛、气急时,应该赶快到医院去,及时诊断和治疗才好!
如何快速诊断有无肺栓塞呢?
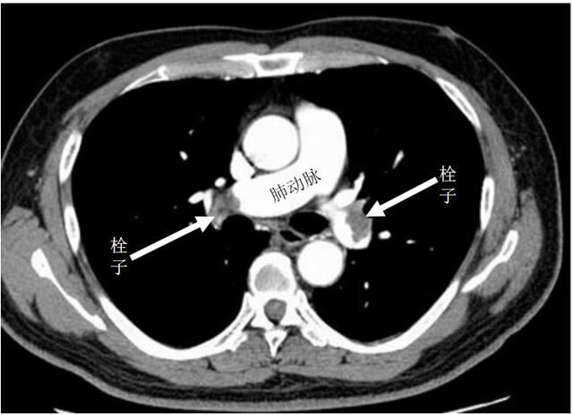
应该说,CT增强扫描可当大任。它扫描速度快、图像清晰、几乎无创,能清楚地显示肺动脉栓塞的部位、形态和范围,还能得到肺血流灌注信息以及肺血管的走行、分布情况,从而对治疗方案的选择和疗效评价提供可靠的影像学证据。

增强CT显示肺动脉栓塞
如果患者症状严重,诊断指向又比较明确,必须实施紧急的介入治疗,则可跳过CT评估,立即插管行“肺动脉造影”。通过外周的静脉入路,插管至肺动脉,进行血管造影,可以清晰、直观地显示肺动脉的阻塞部位和范围,是诊断肺栓塞的“金标准”。更为可贵的是,在明确了诊断之后,一分钟也不用耽误,立即转入治疗步骤:碎栓、取栓或溶栓,迅速打通血流通道,将挽救生命于危难之中。

肺动脉造影显示肺动脉主干及右肺动脉大量血栓栓塞
正所谓:腿肿患者胸痛急,挽救生命放第一。