
第57期
海绵窦区硬脑膜动静脉瘘,又称颈动脉海绵窦瘘,根据供血动脉或引流静脉的不同有不同分型。 Barrow早在1985年提出的分型目前临床上仍在沿用。 从狭义上讲,颈动脉海绵窦瘘即Barrow A型,往往指由外伤或动脉瘤破裂导致的颈动脉主干与海绵窦直接交通; 海绵窦区硬脑膜动静脉瘘则可分为Barrow B/C/D三型,这些分型往往是后天颈动脉自发通过分支与海绵窦间接交通,发病机制不明,少数也可以是外伤、医源性因素等导致的颈内或颈外动脉的脑膜分支破入海绵窦。

本文主要针对自发性海绵窦区硬脑膜动静脉瘘。自发性海绵窦区硬脑膜动静脉瘘的治疗方式首选静脉入路栓塞。其中岩下窦入路为最常用的静脉入路,其次是面静脉入路。关于面静脉入路,我曾在以往推文中透露过一个秘笈,那就是常规使用4F猎人头造影管(强生)充当导引导管或中间导管,欲知详情请点击以下链接:
静脉入路栓塞海绵窦瘘时4F造影管可以充当中间导管
静脉入路栓塞海绵窦瘘时4F造影管可以充当中间导管(续)

关于岩下窦入路,嘿嘿,也有秘笈!

秘笈
大家可能更关心如何打通不显影的岩下窦,其实这个是没有捷径的,全凭术者对解剖的熟知、耐心的摸索和一定的运气,跟打通脑动脉慢闭如出一辙。
我马上要讲的是,如何有效超选显影的岩下窦,要知道,显影的岩下窦也并不是轻而易举就能破门而入的,当然,冠名秘笈有夸张之嫌,其实就是小窍门。
病例一
患者,女性,69岁,因右眼红肿、复视伴头痛、头晕半年于2018年10月9日收入院。高血压病史10余年,服药控制。查体:右侧球结膜充血、水肿,余无明显阳性体征。头颅CT未见明显异常。
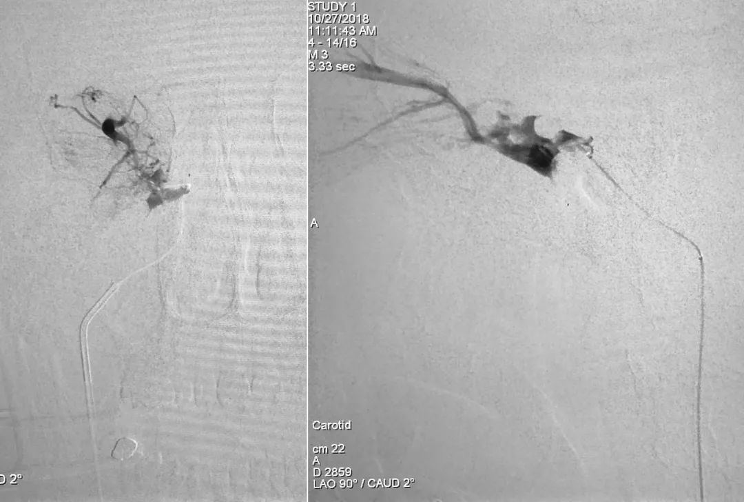
2018年10月12日行DSA示右侧海绵窦区硬脑膜动静脉瘘(Barrow D型),由双侧颈内、颈外动脉脑膜支供血,由右侧眼上静脉、岩下窦引流。
右侧颈总动脉正、侧位造影:

左侧颈总动脉正、侧位造影:

2018年10月27日在全麻下行介入治疗,选择右侧岩下窦入路。
手术步骤
① 右侧股静脉穿刺置入6F鞘,左侧股动脉穿刺置入5F鞘。5F造影管由左侧股动脉进入,置于左侧颈总动脉,以备术中路图和造影;6F Envoy导引导管(红箭头)在泥鳅导丝引导下经右侧股静脉进入,置于右侧颈内静脉末端,因导引导管支撑力不足,管头在粗大的颈内静脉内摆动,泥鳅导丝无法将管头带入右侧岩下窦。在左侧颈总动脉路图指示下,经6F导引导管送入Echelon-10微导管+Sychro-14微导丝(蓝箭头),拟利用微导管超选右侧岩下窦,但仍因导引导管的支撑力不足,屡试屡败:

② 撤出6F Envoy导引导管,换用5F单弯造影管(强生),在泥鳅导丝引导下轻松对接右侧岩下窦,此处利用了强生单弯造影管强硬的支撑力和单弯的指向。在左侧颈总动脉正位路图指示下,Echelon-10微导管+Synchro-14微导丝经造影管送入右侧岩下窦,并长驱直入右侧海绵窦:

③ 微量造影正、侧位显示Echelon-10微导管管头位置适宜,位于右侧海绵窦前部、眼上静脉根部:

④ 侧位微量路图指示下,经Echelon-10微导管向右侧眼上静脉根部送入3枚弹簧圈(APB-5-15-3D-SS,PC-3-6-3D,PC-3-6-3D),以限制胶的过度弥散:

⑤ 侧位空白路图下,经微导管缓慢、间歇注射Onyx-18胶:

⑥ 此时左颈总动脉造影显示左侧脑膜垂体干分支仍有少量供血(红箭头):

⑦ 正位空白路图下继续注射Onyx-18胶,可见胶向左侧脑膜垂体干内移行:

⑧ 术后左侧颈总动脉造影显示瘘口不显影:

将造影管移入右侧颈总动脉,正、侧位造影显示瘘口不显影:

正、侧位蒙片显示Onyx-18胶在右侧海绵窦内的铸型(约4.5 mm):

术后患者麻醉复苏顺利。后期随访,患者右眼红肿消退,头痛、复视等症状消失。
病例二
患者,女性,68岁,因右眼红肿、突出伴右侧耳鸣2个月于2019年7月3日收入院。既往身体健康。查体:右侧球结膜水肿,右侧乳突部可闻及吹风样杂音,与心跳节律一致,余无明显阳性体征。头颅CT+CTA示右侧海绵窦区硬脑膜动静脉瘘。
2019年7月13日在全麻下行DSA+介入治疗。
DSA示右侧海绵窦区硬脑膜动静脉瘘(Barrow D型),由双侧颈内、颈外动脉脑膜支供血,由右侧眼上静脉、岩下窦引流。
右侧颈内动脉正、侧位造影:

右侧颈内动脉造影三维重建示右侧岩下窦在汇入颈内静脉处有狭窄:

左侧颈总动脉正、侧位造影:

手术步骤
① 右侧股静脉穿刺置入6F鞘,左侧股动脉穿刺置入5F鞘。5F造影管由左侧股动脉进入,置于左侧颈内动脉,以备术中路图和造影;6F Envoy导引导管在泥鳅导丝引导下经右侧股静脉进入,置于右侧颈内静脉末端。
② 左颈内动脉侧位造影显示右侧岩下窦局部狭窄(左图);左颈内动脉侧位路图指示下,试图用泥鳅导丝超选右侧岩下窦,并将6F导引导管带入,但因岩下窦狭窄处阻力大,导引导管支撑力不足,管头在粗大的颈内静脉内摆动,使得泥鳅导丝无法超选入右侧岩下窦(右图);撤出泥鳅导丝,经导引导管送入Echelon-10微导管+Synchro-14微导丝,仍无法成功选入岩下窦:

③ 260 cm交换型泥鳅导丝送入6F导引导管,撤离导引导管,交换入5F单弯造影管(强生),在造影管的强劲支撑下,泥鳅导丝(红箭)成功选入右侧岩下窦;撤离造影管,同轴交换入6F导引导管(绿箭)+125 cm MPA多功能造影管(蓝箭),MPA越过岩下窦狭窄,成功将6F导引导管带入岩下窦:

④ 左侧颈内动脉正位路图指示下,第一根微导管(Echelon-10)+Sychro-14微导丝经6F导引导管送入,直达右侧海绵窦内侧壁,并超选入左侧脑膜垂体干供血支(左图);经Echelon-10微导管填入一枚QC-2-4-3D弹簧圈(右图):

⑤ 左侧颈内动脉正、侧位路图指示下,第二根微导管(Headway-17)+Sychro-14微导丝经6F导引导管送入,直达右侧海绵窦前部眼上静脉根部,经Headway-17微导管填入一枚QC-7-30-3D弹簧圈:

⑥ 正位空白路图指示下,经两根微导管交替注射国产伊维尔-Ⅰ胶(同时兼顾侧位):

⑦ 术后左颈总动脉正、侧位造影显示瘘口不显影:

将造影管移入右侧颈总动脉,正、侧位造影显示瘘口不显影:

术后正、侧位蒙片显示伊维尔-Ⅰ胶在右侧海绵窦内的铸型(约6 ml):

术后患者麻醉复苏顺利。患者右眼红肿、右侧耳鸣症状迅速缓解。

小结

海绵窦区硬脑膜动静脉瘘经岩下窦入路栓塞时,泥鳅导丝+强生5F单弯造影管是超选岩下窦的黄金组合!

附:
前些日子外地一位同行私信我,说应用4F猎人头造影管成功完成一例经面静脉入路栓塞海绵窦瘘的手术,愿和我分享成就感!吾心甚喜,甚喜,甚于发一篇SCI之喜!如果日常积累的这些小技巧、小经验能够真正在临床上帮助到同行,并最终造福患者,则实现了我倾囊相授的初心,则脑汁之绞尽、夤夜之推敲、案牍之劳形、前行之砥砺,值!

神经介入在线作为中国卒中学会神经介入分会的官方公众号,现已成立三年。作为最早创建的神经介入专业的学术交流平台,由缪中荣教授团队倾力打造,秉承合作、创新、交流的宗旨,为医务工作者提供国内外神经介入领域最新资讯、指南,聚焦难点深度评论,引领学术前沿。
2019年致力搭建神经介入领域国内外最新医学资讯、研究进展、病例讨论、趣味科普等各项学术交流互动共享平台,整合医疗资源,发挥联盟优势,风雨共济,守候健康,我们在这里等你!
