
人体的脊柱,是由7块颈椎、12块胸椎、5块腰椎、1块骶骨和1块尾骨组成。每一节椎骨与相邻的椎骨之间都是通过复杂的关节、韧带以及椎间盘相互连接的。从前面看脊柱成一条直线,从侧面看有四个生理弯曲。

CT片所见骨质结构
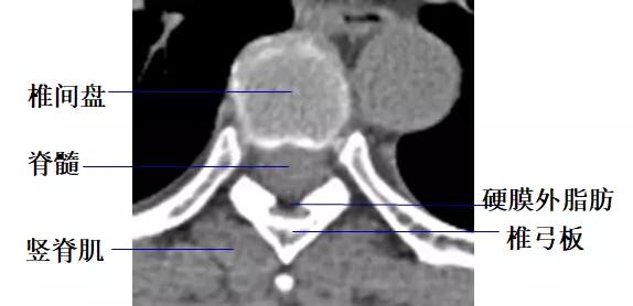
椎体、椎板、椎弓根、关节突、横突、棘突。
椎间关节:相邻上下关节突构成的下关节突在下一脊柱的上关节突的后方,以保持脊柱的稳定,不向前滑。
椎弓峡部:同一脊柱的上下关节突之间,椎弓板由椎弓根向后内方延续,并与中线联合成棘突。
颈椎钩突:第3~7颈椎体上缘两侧斜向外上方的致密小突起,与上位椎体后外下缘构成钩椎关节,又称Luschka关节。
终板:椎体上下缘致密线状影,其间的透亮间隙为椎间隙,是椎间盘的投影。
椎管:椎体后方,纵行半透明区。
椎间孔:相邻椎弓根、椎体、关节突和椎间盘之间,颈椎在斜位清楚,胸腰椎在侧位清楚。
CT断层表现
1.脊椎及附件骨
骨皮质: 位于椎体及附件的边缘部,CT表现为致密、连续的线状或带状影。
骨松质:位于骨结构的中央部,CT表现为细密的网格状影,边缘清楚。


2.椎管及内容物
硬膜外脂肪:低密度影。
硬脊膜囊:呈圆形或椭圆形软组织密度影。CT平扫不能区别硬脊膜囊、脑脊液和脊髓。
椎内静脉丛:位于硬膜外间隙内,在CT平扫上不能单独显示,增强扫描呈点状高密度影。


3.椎间孔
位于椎管前外侧,其内的脊神经根呈软组织密度,周围有低密度的脂肪组织环绕。

4.椎间盘
由髓核、纤维环、软骨板和Sharpey纤维环构成呈软组织密度影,CT值为70±5HU,不能区分髓核和纤维环。

5.椎弓间的连结
包括椎弓板间、棘突间和横突间的韧带及上、下关节突间的滑膜关节。

6.脊椎韧带
前、后纵韧带均较薄,CT上不能单独显示。
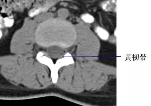
黄韧带较厚(正常时≤3mm),位于椎板和关节突的内侧面,密度高于硬脊膜囊和硬膜外脂肪,显示较清晰。
棘上韧带和棘间韧带也呈细条状软组织密度影。

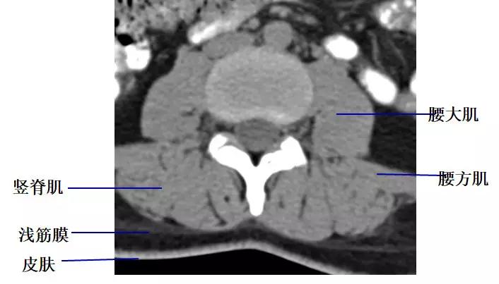
7.椎旁软组织
CT上均表现为软组织密度结构,CT值约40HU~50HU。

一、颈 椎
颈部的椎体
头颅和第一胸椎之间,有7个椎骨,6个椎间盘及所属的韧带构成。每个椎体都由椎体和椎弓构成。

颈椎骨的特点—C1、C2
第一颈椎又称寰椎:呈环形,没椎体、棘突和上关节突。
前弓 齿突凹,与第二颈椎的齿突相关节。
后弓
侧块

第二颈椎又称枢椎
齿突

寰枢关节层面
寰椎分为前弓、后弓和两侧侧块。前弓后方为枢椎齿状突。齿状突呈圆柱形,前缘稍平,与前弓后面的关节面构成寰枢正中关节;齿状突后方为寰椎横韧带;两侧为翼状韧带。侧块上下方的关节面分别与枕骨和枢椎相关节,侧块外侧方的骨结构为横突。第1颈椎的横突较其他颈椎的横突长且粗,内有横突孔,孔内有椎动脉、椎静脉等通过。正常环齿关节间隙不超过3mm。


各部椎骨的特点—颈椎-7

钩椎关节
在枢椎至第一胸椎之间,在椎体上面的侧方,向上隆起形成钩突,与相邻椎体下面侧方的斜坡构成关节即钩椎关节。
钩椎关节具有类似滑膜关节的结构,起限制颈椎侧方滑动的作用。
此关节和相邻的椎体部分构成椎间孔的前壁,而其侧方与动脉毗邻,发生骨刺时,向后方能挤压椎间孔内的组织结构,向侧方能影响椎动脉和其周围的交感神经。


钩椎关节(Luschka关节)它的增生可导致颈椎病。

椎间孔
椎间孔前后径小,钩椎关节增生时易刺激神经根。
椎间隙变窄时,椎间孔上下径亦变小。

横 突 孔
颈椎的横突部有横突孔,其中有颈动脉、静脉和交感神经通过。
椎动脉为两侧锁骨下动脉的分支,一般由颈6横突孔进入,在寰枕关节入颅腔,在颅内合成椎基底动脉至小脑及内耳。
椎骨活动时,横突孔壁能使其内部的组织结构受到牵拉或挤压,特别是椎间不稳定时,更易影响椎动脉与其周围的交感神经。

椎 管
根据测量C4,5椎管最小,C2最大。C4前后径1.19cm,C2位1.4cm。C5前后径1.18cm。
颈脊柱屈伸时,颈椎管的长度有所改变。
完全屈曲时,椎管的前缘可被拉长1.5cm。其内的脊髓也被牵长变细且紧张。后伸时椎管变短,脊髓松弛而变粗2-3cm,易于受压。

颈脊神经根
前根和后根:在椎管内的排列是前根在前,后根在后;在椎间孔中部却呈上下排列,后根在上方,前根在下方。
钩椎关节变性有骨刺时,对神经根的压迫可因部位不同而症状亦异。
骨刺靠近椎管时压迫前根,或出现驰缓性麻痹而无感觉障碍的神经压迫症状。
在椎间孔中部时则压迫后根,前根可不受累,只有感觉障碍而无运动障碍。
颈3-胸2为颈膨大,C6最粗。
脊髓内出现病变时,首先出现上肢症状,然后出现下肢神经功能障碍;

臂丛神经
1.臂丛的组成和位置:C5-8 T1前支 斜角肌间隙。
2.臂丛的分支
胸长神经(C5-C7) 前锯肌[翼状肩]
胸背神经(C6-C8)背阔肌
腋神经(C5-C6)
肌皮神经(C5-C7)



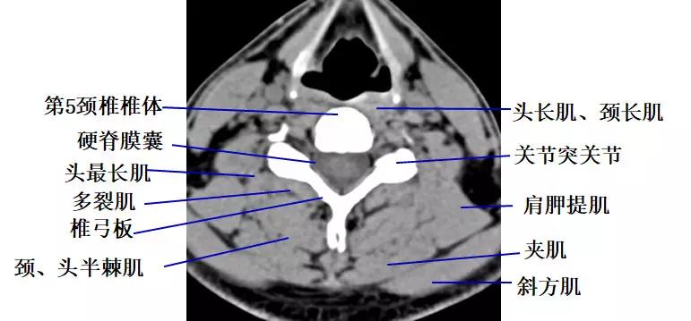
颈段横断面解剖及影像:
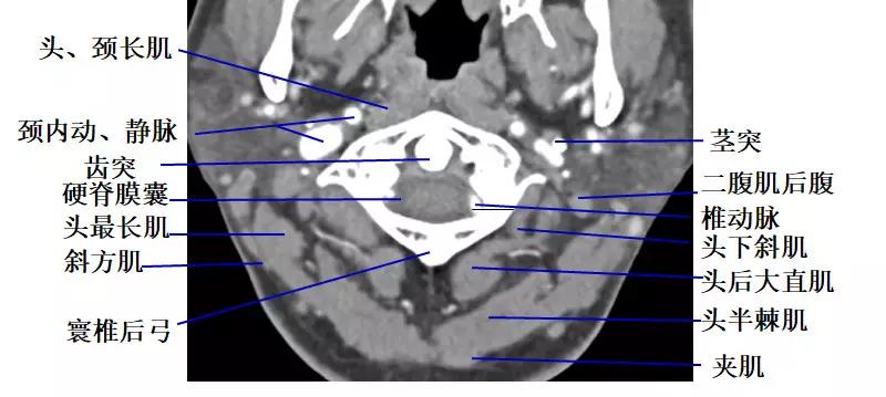
1. 经寰枕关节的横断层面(CT)

2.经环枢关节的横断层面(CT)

3.经颈椎椎弓根的横断层面(CT)

4.经颈椎椎体下部的横断层面(CT)

5.经颈椎椎间盘的横断层面(CT)

二、腰 椎
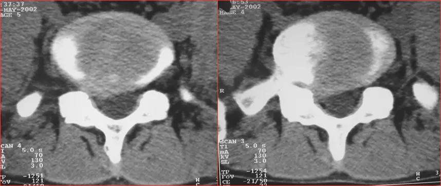
L1-2至L4-5的椎间盘形态大致相似,呈肾形,后缘年轻人稍凹,凹陷部与后纵韧带走行一致,随着年龄的增长,后缘可变得平直。
正常L5-S1椎间盘的后缘较平直,并可轻微膨出。
椎间盘由髓核和纤维环组成,略高于软组织密度影,CT值为80~120HU,CT不能区分髓核和纤维环。
黄韧带厚约2~4mm,超过5mm为肥厚。
正常小关节面光滑、完整,关节间隙为2~4mm。
L1-L5、L5-S1正常椎间盘


椎基静脉影


椎间孔前为椎体,后为椎小关节,上下为椎弓根,内与侧隐窝相连,有脊神经根通过。
侧隐窝:向下外续于椎间孔,有脊神经经过:前壁为椎体后外缘;后壁为上关节突前面与黄韧带;外界为椎弓根。
正常前后径为3-5mm,<3mm侧隐窝狭窄>5mm,肯定不狭窄。



腰 丛
1.腰丛的组成和位置: T12 L1-3.4
2.腰丛的分支
髂腹下神经(T12,L1)
髂腹股沟神经(L1)
股外侧皮神经(L2-3)
股神经(L2-L4)
闭孔神经(L2-L4)
生殖股神经(L1,L2)


骶 丛
1.骶丛的组成和位置:L4.5 S1-5 Co1
2.骶丛的分支
臀上神经(L4,L5,S1)
臀下神经(L5,S1,S2)
股后皮神经(S1-S3)
阴部神经(S2-S4)


腰段横断面解剖及影像
1.经腰椎椎弓根的横断层面(CT)

2.经腰椎椎体下部的横断层面(CT)

3.经腰椎椎间盘的横断层面(CT)

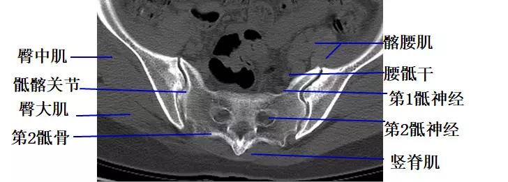
经第1骶椎椎体的横断层面(CT)

经第2骶椎体的横断层面(CT)

三、颈、腰椎常见病变
1.颈椎、腰椎骨质增生
骨质增生症多发于中年以上。一般认为由于中年以后体质虚弱及退行性变;长期站立或行走及长时间的持于某种姿势,由于肌肉的牵拉或撕脱、出血,血肿机化,形成刺状或唇样的骨质增生;骨刺对软组织产生机械性的刺激和外伤后软组织损伤、出血、肿胀而致。
颈椎4、5、6椎体最为常见
腰椎3、4、5椎体最为常见



构椎关节骨质增生

腰椎骨质增生VR像

颈椎骨质增生VR像

2.颈腰椎突出症
椎间盘突出
椎间盘由透明软骨终板、髓核和纤维环构成。
随年龄增长,出现髓核脱水、变性、弹性减低,纤维环出现裂隙,周围韧带松弛,为内因。
急性或慢性损伤造成椎间盘内压增加,为外因。
髓核可经相邻上下椎体软骨板的薄弱区突入椎体松质骨内,形成椎体上下缘的压迹,称为Schmor结节。
椎间盘与神经根的关系

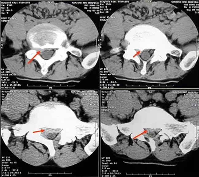
椎间盘突出的CT表现
直接征象:A、椎间盘后缘向椎管内局限性突出,密度与相应椎间盘一致,形态不一。B、突出的椎间盘可有大小、形态不一的钙化,多与椎间盘相连;C、椎管内硬膜外可见髓核游离碎片,密度高于硬膜囊;D、许莫结节表现为椎体上(下)缘边缘清楚的隐窝状压迹,多位于椎体中后1/3交界部,常上下对称出现。其中心密度低,为突出的髓核及软骨板,外周为反应性骨硬化带。
间接征象:A、硬膜外脂肪间隙变窄、移位、或消失。B、硬膜囊前缘或侧方及神经根受压移位。C、周围骨结构改变,突出髓核周围骨质硬化。
椎间盘突出示意图

正常椎间盘CT图像

椎间盘突出图像

椎间盘突出(中央型)

中央型

椎间盘突出右旁中央型

椎间盘突出左旁中央型


椎间盘膨出
轻度膨出时表现为椎间盘后缘正常肾形凹陷消失,圆隆饱满。
重度时弥漫膨出的间盘边缘明显向四周均匀一致增宽,超出上下椎体边缘,但椎间盘仍然对称,没有局部突出,外形保持椭圆形,可伴真空变性。严重时可造成硬膜囊受压狭窄,马尾神经受压。


椎间盘膨出伴右后突出

椎间盘脱出伴髓核游离

椎间盘脱出

3.退行性变
多为生理性老化过程,一般不引起明显症状。遗传性、自身免疫性、急性创伤或慢性劳损等原因,也可促使脊椎发生退行形变。
病理与临床
椎间盘退行性变:A、纤维环退变:多发生于20岁以后,出现网状、玻璃样变及裂隙样改变,并向周围膨出,退变处可有钙盐沉着;B、软骨终板退行性变:表现为软骨细胞坏死、囊变、钙化和裂隙;C、髓核退变:晚于纤维环退变,主要表现为脱水、碎裂,有时出现气体和钙化。
椎间关节退行性变:关节间隙变窄,软骨下骨质增生、硬化,边缘骨赘形成,关节囊松弛,关节脱位。
韧带退行性变:纤维增生、硬化、钙化或骨化。
脊椎骨骼改变:骨髓水肿、脂肪沉积和骨质增生。
继发性改变:椎管、椎间孔及侧隐窝的继发性狭窄。
脊椎退行性变的CT表现
椎间盘向四周均匀膨出于椎体边缘,其后缘正中仍保持前凹的形态。
硬膜囊前缘及椎间孔可受压。
膨出的椎间盘外周可有弧形钙化,有时可显示椎间盘“真空”征和髓核钙化。
骨结构改变:多表现为椎体边缘部唇样骨增生、硬化。
黄韧带肥厚、钙化:表现为椎板内侧高密度影,硬膜囊侧后缘受压、移位。
后纵韧带肥厚钙化或骨化:表现为椎体后缘的圆形或椭圆形高密度影,边缘清楚。


退变引起的骨结构改变


构椎关节骨质增生

4.滑脱、峡部裂
病因分类
发育不良
缺血
退变
创伤后
代谢性
医源性

分级
I:滑移<25%
II:25%<滑移<50%
III:50%<滑移<75%
IV:75%<滑移<100%
V:滑移>100%
腰椎前滑脱I度


椎弓峡部裂


更多内容可关注微信公众号北京健康医链健康科技。