坐标广州,没做过牙齿矫正的人会很好奇,用了十几二十年的牙齿,是如何通过戴牙套在2年左右的时间里实现【重建新生】的。所以想到来分享一个隐适美隐形矫正全案例,从而让你对牙齿矫正更加了解。
之所以用隐适美案例,是因为我做隐适美案例偏多,可能是因为患者大多在25-35岁的年龄,这个阶段的社交生活正是丰富的时候,所以戴牙套也需要考虑美观度和舒适度。
一:整牙戴牙套全案例
矫正之前的检查对于前期方案的设计,以及后期复诊的追踪非常重要,所以面诊检查会需要收集口内照,X光片,整体面型照等,每次复诊的时候,医生会需要对前后照片进行多次对比观察,这样才能保证矫正进度是按照计划之中来进行。
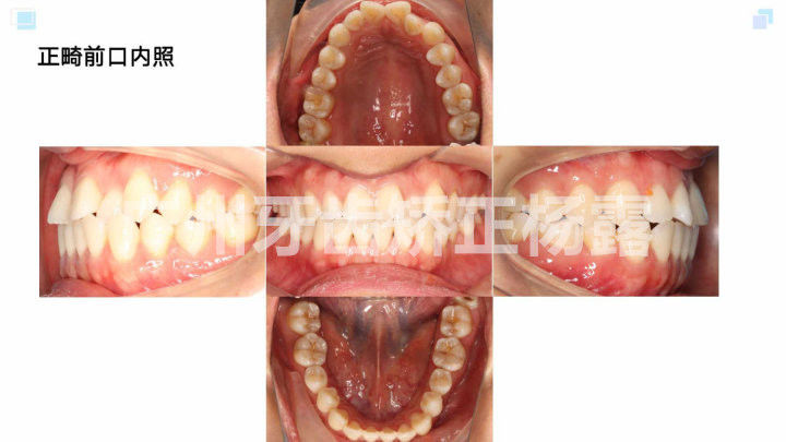
正畸前口内照

iTero口扫照

患者主诉:牙齿不齐
口内检查:
- 上颌中线正中,下颌中线右偏1mm,前牙部分反合,笑线不调。
- 磨牙关系右侧I类,左侧I类,上颌牙弓I度拥挤,上颌牙弓中段狭窄。
- 18、38垂直阻生,28未萌出。
面部检查:
- 五官基本对称,面部左右基本对称。
- 口裂大小与双侧瞳孔内缘切线宽度一致。
- 面下1/3过短,直面型。
诊断:
- 牙型:AngleI类
- 骨型:I类
- 拥挤:I度
- 前牙部分反合
- 牙弓不调、笑线不调
患者存在的问题:
- 上颌牙弓拥挤,牙列不齐;
- 前牙部分反合;
- 笑线不调。
方案设计:
- 拔出智齿18、38;
- 排齐牙列;
- 调整上下颌牙弓形态,解除前牙区反合;
- 调整中线及前牙笑线。






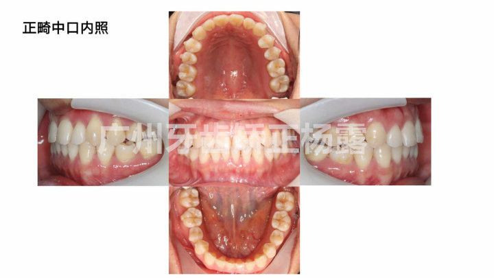
正畸中口内照



分析小结:
患者主诉为牙齿不齐及前牙部分反合。根据患者的主诉,选择拔出智齿矫治,通过推磨牙向后、扩弓,将牙齿排齐整平,解除前牙反合,调整笑线,同时调整上下颌牙弓形态,恢复正常覆牙合覆盖关系。
隐适美隐形牙套相对于其他隐形牙套的优势:
- 隐适美隐形牙套的技术很成熟,金属,陶瓷能做的病例,隐适美基本都可以完成,达到预期效果,也就是说做得好不好,和牙套材料本身关系不大,主要就是看医生的技术。
- 隐适美是“数字化正畸”,所谓数字化,就是用计算机技术分析临床上的数据、分类、病例相似性,以此为基础,集合口腔正畸学、生物力学、医学影像学、3D扫描打印技术、数学等多学科知识在设计上突出表现医生的决策重要性,在治疗过程中又能减少人为的失误,使得结果无限接近于理想,为之数字化技术
- 医生会用iTero口扫仪收集患者朋友的口腔牙齿三维信息,再结合X光片,患者朋友诉求等等这些信息设计隐适美正畸方案,牙齿移动的步骤,精准位置,用哪些附件等。设计完方案就会出现一个“隐适美正畸动画”,这个动画就是你整个正畸过程的预演,也就是说你可以在矫正前就能看到用这个方案之后自己实际能达到的矫正效果,这是传统牙套所不具备的。
- 隐适美的每一副牙套都是电脑系统精准打造,复诊也是采用itero口扫复诊,口扫复诊是跟方案完全贴合,如果有轻微不一致,都可以及时调整,数字化矫正的精密监控,能精确到20微米,及时纠正偏轨的牙齿,这种级别是肉眼无法达到的。所以隐适美牙套会更加安全,稳定,精准,高效。
- 隐适美是完全包裹住牙龈的,相比其他隐形牙套,对牙齿施加的力更加均匀,持续,轻柔,可以整体控制牙齿移动,这样更有效果也更安全,不会出现对牙齿施力过多不均导致牙根暴露,松动等问题。
科技很大程度上为医疗效果提供了保障,矫正过程中需要多次使用到的黑科技便是隐适美公司生产的itero口扫仪。
医生就能方便地评估和掌握牙齿矫治的进度,以便随时调整矫治器佩戴进度;跟踪每颗牙齿并评估解决方案以实现预期的治疗,次复查的你和今天的你牙齿到底移动了多少,iTero扫描仪全部都知道,对比不同时间的扫描,你会发现牙齿原来移动这么神奇。
哪一瞬间让你感觉到科技在改变我们的生活?
二:可以通过正畸进行微整形吗?
在日常接诊中,确实会碰到一些患者牙齿很整齐没有问题,但希望通过正畸改变面部骨骼形状,进行微“整形”,这是个大误区。
通常情况下,由于骨骼发育异常所造成的大小脸、下巴过长、面部过宽等情况,通过简单的正畸治疗是没有办法完全解决的,只有通过骨骼修整手术才能解决。
常规的牙齿矫正主要是对面型的面下三分之一区域进行改善,通过正畸手段对牙齿重新排列、牙齿的咬合的调整、牙弓形态的修整,解决牙齿的问题,从而实现面型的改善。
案例展示
牙齿不齐、下前牙前突、个别牙齿反颌及无咬合


牙齿稀疏+牙齿不齐


牙齿不齐&牙齿前凸


牙齿前突且门牙有缝隙


牙齿不齐+牙齿前突



牙齿不整齐,前突以及深覆颌

