病史摘要
男,49岁,头晕三个月。

诊断要点及影像解析
脑膜瘤为颅内常见肿瘤,大多数位于脑实质外,中老年人好发。矢状窦旁、大脑镰、脑凸面、嗅,沟、鞍结节等为脑膜瘤常发生部位。肿瘤以宽基底靠近颅骨或硬脑膜,呈圆形或椭圆形肿块,CT平扫呈等密度或稍高密度,MRI信号与脑皮质信号相近,在T1WI呈等信号,在T2WI上呈等或略高信号,其中偶见沙粒状钙化,以CT显示较佳。囊变、坏死较少见,灶周水肿多不明显,增强扫描,肿瘤呈均匀明显强化。因属脑外肿瘤,还具有下列脑外肿瘤的常见征象:
①肿瘤邻近颅骨常出现骨质增生硬化,
②白质塌陷征:肿瘤位于颅骨内板下,突向脑皮质,皮质下呈指状突出的脑白质受压变平,与颅骨内板间的距离增大,
③肿瘤与硬脑膜广基底相连,增强扫描,肿块邻近的增厚硬脑膜呈窄带状强化,随着远离肿瘤而逐渐变细呈是鼠尾状,或线状,称脑膜尾征,具有一定特征性。

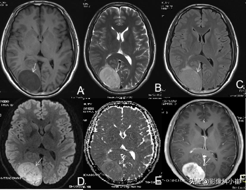
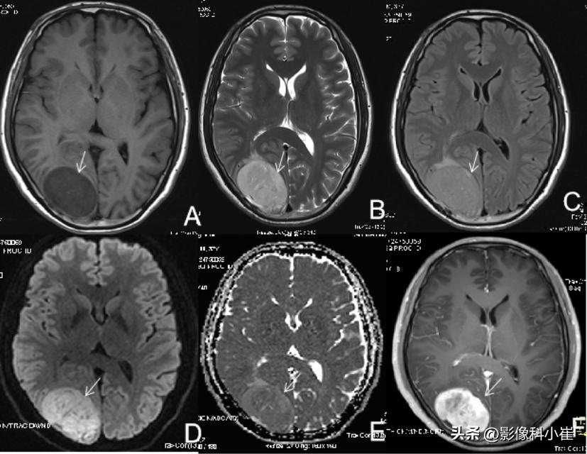
轴位T1WI(图A)示右侧枕叶类圆形等信号,边界清楚,T2WI(图B)呈略高信号,T2-FLAIR呈低信号,DWI(b=1000)呈略高信号,轴位强化(图F)示明显强化。
诊断结果
脑膜瘤。
鉴别诊断
1、血管外皮瘤:常呈分叶状,常有坏死和囊变,周围流空血管影较明显,以窄基底与硬脑膜相连,骨质破坏较常见。
2、星形细胞瘤:大脑凸面脑膜瘤需与此病鉴别,其强化程度不如脑膜瘤明显,密度或信号不均匀。
3、垂体瘤:鞍上脑膜瘤需与此病鉴别,垂体瘤从鞍内向鞍_上生长,密度/信号欠均匀,出血、坏死及囊变较常见。
#挑战30天在头条写日记##头条文章养成计划#