
患者主诉“腹胀、黄疸、食欲下降”,入院后诊断为肝细胞癌,经治疗后竟治愈,那么,他得的究竟是不是肝癌?
作者:谭友文 江苏大学附属镇江三院
本文为作者授权医脉通发布,未经授权请勿转载。
病例分享
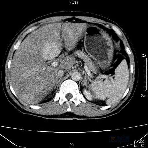
男性,45岁,近半月来出现“腹胀、黄疸、食欲下降”,于本地三甲综合性医院诊治。肝功能:TBIL 200μmol/L,ALT 1200U/L,ALP 201U/L,GGT 332U/L;B超发现大量腹水,肝脏占位性病变;增强CT同样示肝脏占位性病变(见图1),不排除恶性病变,考虑肝细胞癌可能性大!病人收住普通外科,准备手术。经过约半月的保肝,利尿等治疗,腹水明显减少,但肝功能仍然异常。

图1 延迟期扫描
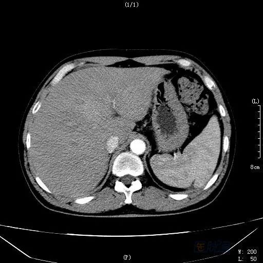
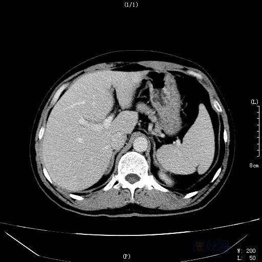
之后,患者电话笔者申请会诊,赴约。仔细阅读病例病史,发现患者并无既往肝病史,乙肝两对半、丙肝等检查无阳性结果,无饮酒等嗜好;患者虽似乎有肝衰竭的症状表现,但凝血指标基本正常,经过保肝治疗,病情也明显好转。阅读CT、MRI发现:肝左内叶见一高密度影,但三期无明显变化,肝脏体积偏大,呈不均质改变,MRI提示非脂肪病变,肝静脉显示不清。此时,笔者心里基本有了答案,随后追问患者病史,立即带回我院。患者经治疗三个月后,肝脏密度逐渐正常,原来的占位病灶消失(见图3)。

图2 治疗一个月后CT门静脉期扫描

图3 治疗三个月后CT延迟期扫描
那么,患者的“肝癌”治好了吗?
原来
该患者在入院两个月前不慎摔伤,已自服“三七粉”(三七为自己种植)40天,甚至住院期间仍然服用。影像学提示肝脏呈淤血性改变,所谓的占位性病变其实是“肝岛”。这是一例肝窦阻塞综合征(hepatic sinusoidal obstruction syndrome,HSOS)患者——HSOS又称肝小静脉闭塞病(hepatic veno-occlusive disease,HVOD)。
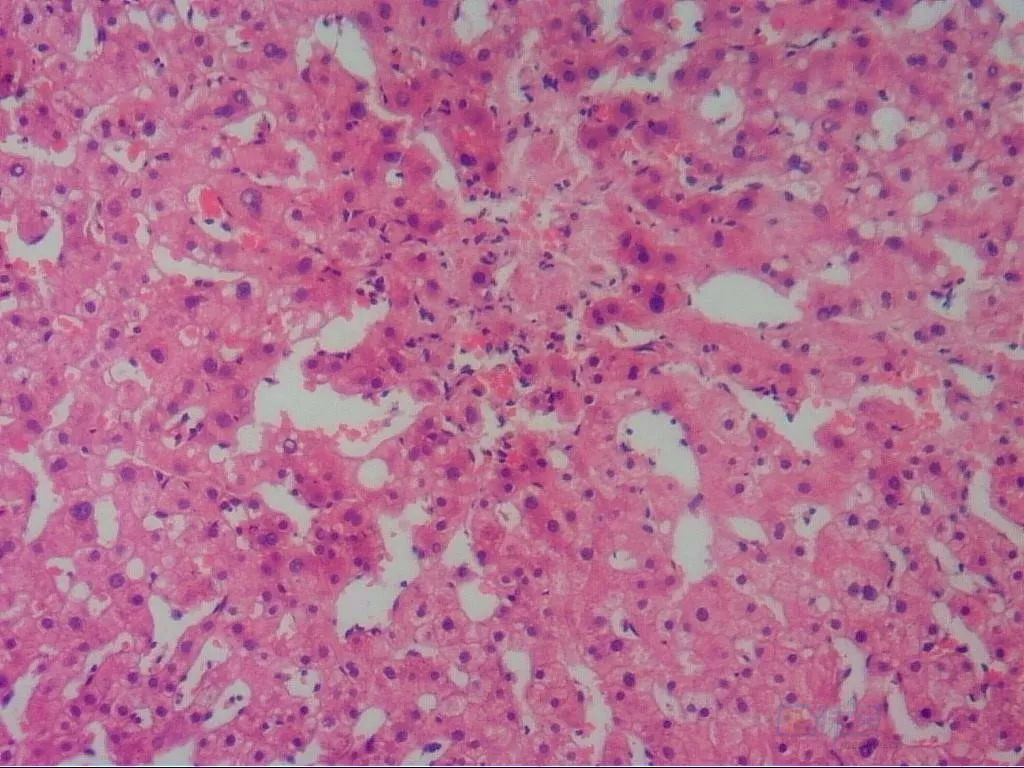
患者经过抗凝治疗,病情得到控制,基本治愈。三个月后,我们再次做肝穿刺病理学检查(见图4)。根据病理表现,发现继续抗凝治疗已经难以改善中央静脉闭塞,因此停用抗凝药物。

图4 病理解读:肝细胞无明显坏死、炎症,少数中央区可见淤血表现,有2条中央静脉已经闭塞,周围肝窦扩张,个别汇管区出现纤维化扩大,形成多个门静脉分支,胆管、动脉无异常表现,病理为HSOS/HVOD治愈后表现
诊治体会
回头看这个病例,“土三七伤肝”是科普文章到处普及的知识,病例本身并不复杂,但为何能逃过附属三甲医院B超、CT、MRI等影像科医生们的眼睛?甚至在外科治疗的半个月期间,消化科等科室医生多次会诊,经过术前讨论,即将安排手术。
可见,对专科医生来说很普通的疾病,到了非专科医生这里,可能仍是“少见病”、“罕见病”。
肝窦阻塞综合征/肝小静脉闭塞病
肝窦阻塞综合征/肝小静脉闭塞病(HSOS/HVOD),是由各种原因导致的肝血窦、肝小静脉和小叶间静脉内皮细胞水肿、坏死、脱落进而形成微血栓,引起肝内淤血、肝损伤和门静脉高压的一种肝脏血管性疾病。2002年,DeLeve等基于实验和病理研究发现,建议以HSOS代替HVOD。在近年发表的文献中上述两种名称均有使用。因此,目前认同HSOS和HVOD可以相互替换。
临床表现
HSOS/HVOD(以下简称HSOS)的临床表现并不具特异性,和其他肝病几乎一样,如腹胀、肝区疼痛、腹水、黄疸、肝脏肿大等,因此,常被误诊为肝硬化、肝炎、失代偿期肝硬化或急性重型肝炎等疾病,本例病例被误诊为肝癌为少见情况,影响了对患者及时的诊断和治疗。HSOS的病因较多,但国内外明显不同。欧美报道的HSOS大多发生在骨髓造血干细胞移植预处理后,国内报道以病因为“服用含吡咯生物碱的植物”的病例居多,其中以“土三七(或称菊三七)”最为常见。
一直以来,我国中草药被广泛使用,一些含吡咯生物碱的植物,如菊科的土三七、千里光,豆科的猪屎豆,紫草科的天芥菜等,因同样具有止血、止痛等功效,容易与主要产自云南的五加科三七(亦称参三七)相混淆,但服用含吡咯生物碱的中草药后可能会导致严重的HSOS。
影像学表现
HSOS的CT平扫显示为肝实质密度不均匀减低,腹水、肝脏体积增大等表现,此与肝脏淤血及肝细胞变性、坏死相关。由于窦后性门脉高压造成门脉期强化峰值减低或延迟;肝脏淤血及肝细胞变性、坏死则造成无或低灌注区域;另外,由于尚存相对正常的肝脏组织,而这类组织的门静脉灌注相对正常,便产生了正常肝组织与受损组织之间的强化差异;肝脏显示特征性的斑片样、地图样强化和低灌注区。延迟扫描:由于门脉强化峰值延迟、门静脉血流灌注增加,出现低密度区域减少和增强区域增加,肝脏密度趋于一致,而如果延迟后仍为低灌注的区域,则提示这部分的肝脏组织坏死严重。
病理特点
HSOS的病理典型表现:以肝腺泡Ⅲ区为主的肝窦内皮细胞肿胀、损伤、脱落,肝窦显著扩张充血;肝细胞不同程度的肿胀、坏死,红细胞渗入狄氏间隙,肝内小静脉管壁增厚,管腔狭窄、闭塞,无纤维化表现或可见汇管区轻度纤维增生。
抗凝治疗
抗凝治疗是治疗HSOS的关键,存在腹水、黄疸等表现的急性期/亚急性期患者是抗凝治疗的主要人群,并应尽早开始。禁忌证主要是“合并严重出血疾病或出血倾向”。抗凝药物首选低分子肝素,亦可联合或序贯口服维生素K拮抗剂(华法林)。低分子肝素安全性较普通肝素高,出血不良反应少,大多数患者使用时无需监测。建议剂量为100 IU/Kg,每12h 1次,皮下注射,肾功能不全者慎用。华法林是长期抗凝治疗的主要口服药物,疗效评估需监测凝血酶原国际标准化比值(INR)。治疗剂量范围窄,个体差异大,药效易受多种食物和药物影响。抗凝强度:建议INR为2.0~3.0,这一强度可能既满足较佳的抗凝强度,也有较好的安全性。初始剂量:建议口服起始剂量为1. 25~3 mg/d(即半片~1片,国内主要规格为2.5mg 和3mg),高龄、肝功能严重受损等患者初始剂量可适当降低。剂量调整:口服2~3d后开始测定INR,并定期监测,剂量调整应谨慎,如连续2次测得INR不达标,再考虑调整剂量(一般为加或减1/4片),待剂量稳定后可4周监测1次。
HSOS与布-加综合征(BCS)的鉴别诊断
HVOD曾被认为是BCS,原因是,两种疾病的临床表现有相似之处。其实,HSOS与BCS从病因、病程、病变特征到治疗方法,均存在显著的差别。
1.病因方面:BCS与高凝状态及血栓形成等多种因素有关,具体的病因不明确。而HSOS与骨髓移植、放化疗及服用土三七中毒等直接损伤有关,病因明确。
2.病程方面:BCS相对较长,而HVOD发病急、病程短,大多在病因损伤后3周左右发病。
3.病理特征方面:BCS表现为肝静脉血栓性静脉炎,肝静脉近端有隔膜或节段性闭塞,由于肝静脉近端阻塞肝静脉血流淤滞,肝静脉分支及中央小静脉内有血栓形成;肝叶间可见广泛的侧支循环建立。而HVOD病理损伤特征在于肝小静脉的内膜肿胀、内皮增厚、纤维化,无血栓形成。
4.治疗方面:BCS行溶栓或(和)血管腔内成形术,可以获得满意的临床效果。HVOD主要依靠内科治疗。

参考文献:
中华医学会消化病学分会肝胆疾病协作组.吡咯生物碱相关肝窦阻塞综合征诊断和治疗专家共识意见(2017年, 南京)[J].中华消化杂志, 2017(8).