上班,心情好难受!
过完五一劳动节,第一天上班,早上一来巫医生的心情不好到极点。
原因是这么一回事,遇到1例肺结节患者,病灶最大直径约1.5cm结节,结果转移得一塌糊涂!双肺弥漫性转移(肺内多达几百个病灶)、全身多发骨转移、全身多发淋巴结转移。

就是这么一个小病灶。为了不引起大家不适,我不发更多的图片

检查报告单
患者仅有50多岁,巫医生的心就落到了谷底。追寻病史,患者间隔1年没有体检,就成了现在的这个状况,肺癌四期。趋势这个实性的病灶有点大,如果再1cm以内做一个检查,相信不会发生这么严重的转移。
大部分这一类病灶爆发大概就是几个月的时间,巫医生替这位患者感到惋惜,50多岁应该每年体检一次,陪着患者来就诊的是一位外地的地级市,市医院的普外科主任,他也很惋惜,虽然不知道是什么关系,但也能看到他的痛心疾首。
巫医生整天的心情都不好,从做科普以来,感觉心和每一位患者的疾痛都交织在一起,我也很痛,今天也感觉很累。现在也只能祈祷了,这个病灶腺癌的可能性非常大,腺癌靶向治疗效果还不错。如果靶向药物能匹配上,也许还会有控制的机会。
下班,心情稍微好转一些!
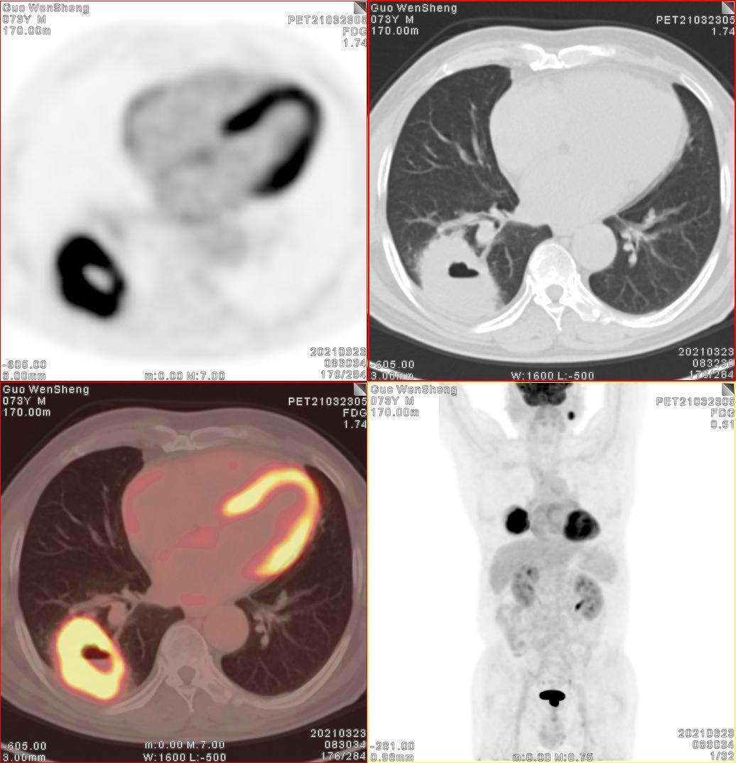
就在下班即将离开的时候,1个月以前的患者家属打来电话咨询下一步复查的事情。73岁的一位老者,经常还跑步锻炼,就是突发的咳嗽痰中带有黑色的痰液。1个月前做完检查,右肺下叶一个7.5cm以上的大肿块,我们考虑为肺癌以后马上做了胸腔镜手术。病理结果也非常的好,切除下来的淋巴结、胸膜都未发现转移。巫医生也是非常的欣慰,向这么大的病灶没有转移,也是非常的幸运。患者1个月恢复的很好。

最大径7.5cm,病理:腺癌

如此大的病灶没有发生转移
听到这位家属主动打来的电话,心情好多了。这个病灶切除了右肺下叶,虽然3A期,但是完整切除,引流区淋巴结也没有转移。3期的病灶切除这么完整非常幸运。最终病理是鳞癌,也做了基因检测,没有合适的靶向药。但根据身体状态,如果辅助以化疗,最终效果应该会不错。
因此,肺癌转移与否,不是仅仅是观察结节、病灶的个头大小!病例类型和病灶的恶性程度相关。最重要的一点是早发现、早诊断、早治疗,避免风险扩大。