据相关数据统计,我国55岁以上的人群中26%佩戴活动假牙。目前,市面上的假牙琳琅满目、层出不穷,那如何选择适合自己的假牙呢,下面我们就来了解一下假牙的种类和区别,在看医生前做足功课,事半功倍。
假牙种类有3种
常见的假牙种类有固定假牙、活动假牙、种植牙三大类,它们各有自己的特点,适合不同口腔情况的缺牙者。

1、固定假牙
固定假牙是利用缺牙相邻两侧的好牙,把假牙固定其上,患者自己不用自行取戴,是临床比较广泛应用的一种牙齿缺失的修复体。
缺点:需要磨除健康相邻牙齿;只适合两侧邻牙健康和缺牙数量不多的情况;一旦修复体边缘不密合,有发生继发龋的风险,可能需要拆除并重新制作整个固定假牙。
价格参考:价格从200~3000元不等。

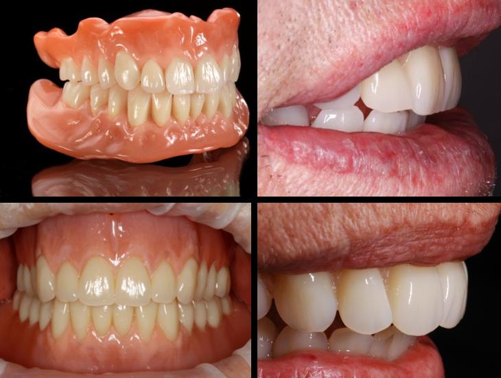
全口假牙
2、活动假牙
活动假牙(义齿)是利用剩余天然牙或粘膜作为支持,通过卡环固定在剩余天然牙上,同时,利用基托使义齿保持适当的位置行使咀嚼功能,可以自行摘戴的一种修复体。
缺点:稳固性差,容易脱落;咀嚼功能较差;而且体积偏大,口腔内异物感强,安装以后适应的时间稍长,有的还会影响发音,长时间使用可能对邻牙有一定的损害。
现在多数缺牙患者已不再把安装活动假牙作为首选。尤其是对“三高”糖尿病、骨质条件差及其他不适合种牙的身体条件的缺牙者来说,仿生牙(又名吸附性义齿)无疑是让自己重获一口好牙的“灵丹妙药”。

吸附性义齿
吸附性义齿,基于生物功能性修复系统,结合数字化精密设计,采用进口材料制作而成,外观仿真度极高,与口腔完全稳固贴合,即使在日常说话、打喷嚏、咳嗽、吃饭都不易脱落。

当下,超强吸附性义齿的应用越来越广泛,而制作工艺和技术的精良度,都会影响超强吸附性义齿的最终效果。
为了满足患者的个性化需求,暨南大学穗华口腔医院推出超强吸附性义齿,采用了科学系统的取模方法,历经多道工艺流程,配合周到细致的临床服务,在精准度、舒适度、稳固性及吸附力上更上一层楼,能够更大程度地恢复咀嚼与美观功能。
价格参考:传统活动义齿全口修复价格大约1.2-2.5万元间,
吸附性义齿全口3.6万元(视材料而定)。

3、种植牙
种植牙是在缺牙的地方用手术的方法将一颗预成的人工钛或钛合金金属牙根植入牙槽骨内,然后在其基础上安装一颗假牙,是目前至成熟备受青睐的缺牙修复技术。
无论选择何种修复方式,牙齿缺失都应该尽早进行修复,长期缺牙会使口腔内出现牙槽骨吸收、牙龈萎缩等不可逆的问题,从而影响最终修复效果。究竟哪一种假牙的修复方式适合于您,取决于口腔情况和经济状况。
