为什么大众都要懂点医学知识?
医学是直接关注人体健康与疾病的科学,它不限于关注疾病的治疗(这主要是医生关注的“临床医学”),还更多关注身体有效功能的恢复(康复)、养成健康的生活习惯并预防疾病(预防与保健),故也包涵着“养生学”“营养学”等内容。而这些与健康相关的内容,没有大众的积极参与是无法想象的。
*共中**中央、国务院于2016年10月25日印发并实施的《"健康中国2030"规划纲要》,与每个人都相关。因为健康是“促进人的全面发展的必然要求,是经济社会发展的基础条件,是民族昌盛和国家富强的重要标志,也是广大人民群众的共同追求”。“没有全民健康,就没有全面小康”。懂点医学知识,既有利于维护自身健康,也有利于促进“全面小康”。

《"健康中国2030"规划纲要》
有必要弄清癌症、肿瘤和肿块的概念吗?
我个人觉得,弄清这几个概念很有必要。当然,我的个人看法缘于几十年来临床工作的体会,不想弄清的朋友,我也没有办法强制,是吧?只是,我觉得自己的看法和体会,值得讲出来,各位是怎么看的,也可以点评、讨论嘛!
癌症、肿瘤、肿块,这几个概念存在密切的联系,大众又都很容易看到或听到,并不是很生僻。但是,因为这几个概念的混淆,不少患者、家属以及公众有时会提出一些带有共性的问题出来,有些人还深受其累——或过于敏感而致多疑、抑郁,或过于轻视而致后悔、失望。别以为年轻,健康和疾病还不是你关注的内容,就不在乎哟!
什么是癌症?
我相信,绝大多数能来看我文章的朋友,都听过良性肿瘤、恶性肿瘤之类的说法了吧?那么,我可以告诉你,一般而言,公众可以这样理解:癌症(Cancer)就是所有恶性肿瘤的统称。

肝癌是最常见肿瘤之一
当然,医学上的命名相对复杂。医学术语的“癌”,它的定义明确指向到“起源于上皮组织的恶性肿瘤”。换句话说, 癌 其实只是通常所说癌症的一部分。也许是因为“癌”是最常见恶性肿瘤的缘故,大家也就默认将所有恶性肿瘤统称为癌症了。相对应的,医学上将起源于间叶组织的恶性肿瘤称为“肉瘤”;有少数恶性肿瘤则以加上“母”或“恶性”等来明确恶性肿瘤,如肾母细胞瘤、恶性畸胎瘤、恶性淋巴瘤等。
那,什么是肿瘤呢?
所谓“肿瘤”(Tumor) ,是指身体在各种有害因素(或称致瘤因素)作用下,组织细胞异常增殖而形成的新生物。换句话说,肿瘤是由体内细胞发生变异后不断增生所形成的多余的东西。肿瘤发生后,往往是没有节制性的生长(特别是恶性肿瘤),它不但不能为身体提供正常功能,反而*取盗**营养、压迫脏器、危害健康,所以是"疾病"。

乳腺内的良性肿瘤,对生命不造成威胁
肿瘤的种类繁多,数目不一(多为一个,也可多个)、形状多样(息肉状、结节状、分叶状、囊状、溃疡状或弥漫浸润性生长)、颜色各异(一般灰白或灰红,脂肪瘤呈黄色,恶性黑色素瘤呈黑色,血管瘤呈红色或暗红色)、硬度不同(与肿瘤种类、肿瘤实质与间质的比例及有无变性、坏死有关,如脂肪瘤很软,骨瘤很硬)。
肿瘤可长在身体的不同部位,其大小和发展速度也各不相同,对健康或生命的危害也有很大的差异:有的可长期"和平共处",为“良性肿瘤”;有的则必须"除恶务尽",否则就会"遗害无穷",为“恶性肿瘤"。在良性、恶性肿瘤之间,还有“交界性肿瘤”等概念。
那肿块又是什么?
所谓“肿块”,可以表述为可以被看到、摸到或被感觉到的非正常的组织结构,可为圆形、类圆形或其他形状的块状物(也称包块)。

腕背这个肿块常见,但基本上不是肿瘤
需要说明几点:1.肿块一定是非正常的结构(不是本身功能所需),即不能把正常结构如骨性突起、肌肉韧带等认定为肿块。2.肿块一定有大致可被描述的边界和形状,即不能把没有明显边界的“肿胀”说是肿块。3.肿块一定是身体内发生的组织结构,即不能把外来的或放进去的异物当成肿块。通过影像学检查发现的“肿块”也常被描述为“占位性病变(或病灶)”。
此外,肿块常常还被赋予一定的大小概念,即肿块的大小常常被认义为3公分(3cm)以上,有些甚至定义为5公分以上。小于3公分,但又符合上述3条的“肿块”又可被称为“结节”,而更小的(1公分以下)的还可被称为“微结节”。

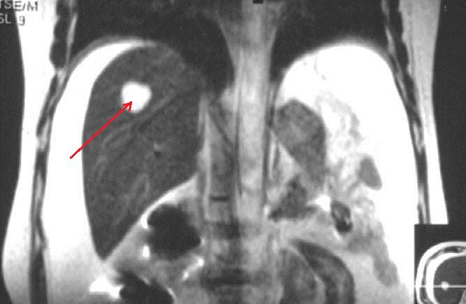
肝内结节,为海绵状血管瘤
弄清楚了吗?总结一下吧!
还是有点“傻眼”吧?的确,我觉得对于这几个概念,通过我深入浅出的说明,应该是比较清楚了,但对它们的关系还有点糊涂是吧?那么,我就有必要再来梳理一下。
1.肿块只是一个表述病灶形态大小的概念,并不能说明病变的性质。即肿块有可能是肿瘤,但并不等于就是肿瘤。比方说,一些炎性包块、血肿等也可表现为肿块;还有的是本来的正常结构异常增生变大,如甲状腺增生、前列腺增生、巨淋巴结增生等。所以说,发现肿块,不能随意认定为肿瘤,甚至以“是不是得癌了”而惶惶不可终日。

这个肿块被证实只是慢性血肿
2.肿瘤 是病理学概念,它主要由肿瘤细胞构成,多表现为大小不等的肿块。但并不是所有的肿瘤都可表现为肿块。比如,白血病(也被俗称为血癌)就是起源于造血干细胞的恶性肿瘤性疾病,常常看不到肿块。肿瘤的种类繁多,预后相差很大,有的甚至可以相伴数十年。所以说,即便得了肿瘤,除了应该去弄清更具体的性质,以便针对性治疗外,也大可不必“担心得要死”。
3.癌只是肿瘤中的一小部分。如果确定是“癌症”,那的确是需要重视了,不能有“让它去吧”的心态了。因为癌症的治疗时机非常重要,早期治疗可以治愈,到了晚期就会很棘手。但是,我们也决不可以因“癌症”的诊断而随便失去信心,因为如今的恶性肿瘤早已不再是“不治之症”,很多的可以快速治愈,还有许多是可以通过治疗而获得长期生存的“慢性病”。所以说,肿瘤不等于癌症,癌症也不等于不治之症。

肿瘤与癌的关系简图
#我要上头条# #癌症# #肿瘤防治科普# @南方健康