长点心吧!
十岁小孩就靠装假牙吃饭,
只因妈妈没把这个当回事!
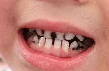
十岁儿子长了龋齿,妈妈没当回事,认为乳牙发生龋齿以后长出恒牙就好了,结果问题越来越严重!

大块的、坚硬的食物几乎不能吃
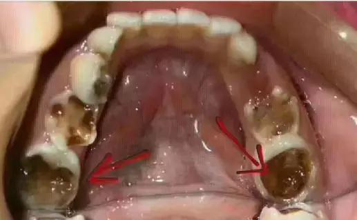
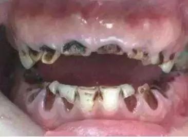
8颗乳牙,4颗恒牙全蛀空

4月21日上午,一位患者妈妈利用周末休息,带着自己十岁的儿子匆匆忙忙地赶到口腔医院来补牙,医院口腔牙医给小患者在牙床上仔细检查后,惊讶的发现这个小朋友口腔情况非常糟糕,孩子的牙全被蛀空了,只剩下残根。

医生在和孩子母亲交流过程中得知,原来这个孩子从小喜欢吃甜食,小的时候牙齿就有龋齿,4岁的时候,曾经带他到医院诊治过,因为孩子小不配合治疗,
妈妈又听人家说乳牙龋齿不用治疗,换了恒牙就好了,也就一直没在意。

直到最近,发现孩子个子比同龄的孩子小,而且吃东西非常挑,大块的、坚硬的、需要咀嚼的食物几乎不吃,孩子妈妈才意识到孩子牙齿可能有问题,需要处理一下了,可是为时晚矣。
医生检查发现,孩子所有乳磨牙、六龄牙和新生前磨牙都已经蛀空,无奈之下,孩子妈妈只能听从医生建议,把孩子的牙根全部拔除,再安装上活动假牙,来维持正常的咀嚼功能。

患者妈妈心中布满疑虑,许多人也一定有:乳牙发生龋齿,怎么会影响到恒牙呢?
乳牙和恒牙有什么关系,不是乳牙掉了,才长恒牙的吗?
乳牙有龋掉了,不正好吗?
其实这个观点是错误的。
乳牙龋齿,如果不及时治疗的话,会影响恒牙的发育和萌发,甚至会影响孩子的正常发音。
像这个患者的儿子那样,因为乳牙龋齿没有及时治疗,导致乳牙严重龋坏而新生恒牙在没有完全发育好的情况下过早萌出,恒牙又没有得到很好的保护,而导致恒牙也发生龋齿的恶性循环。
医生介绍,及时治疗乳牙龋齿和进行窝沟封闭是阻断这恶性循环的法宝。

龋齿不及时治疗
后果真的很严重!
一颗蛀牙让7岁男孩的脸烂穿
据青年时报报道, 一个7岁的男孩面部下颌骨的位置长了个大脓包,脓包处的皮肤不断渗着脓液。皮肤科医生始终无法确定病灶,于是请来牙医参与会诊。最后发现孩子的“六龄牙”不仅被“蛀”了,还发生了慢性炎症。
“一般情况下,儿童到了6周岁时,在牙列最后方最先萌出的牙就是六龄牙,六龄牙也是人的第一颗恒牙。儿童蛀牙中发病率最高的为窝沟蛀牙,约占儿童蛀牙的80%,而六龄牙就是窝沟蛀牙的好发部位。”

牙医说,“这个小患者的六龄牙被蛀后发生了炎症,炎性分泌物沿着下颌骨侵蚀,导致下颌骨、黏膜、皮肤一层层被烂穿,就像老鼠打洞一样,最终在面部皮肤被发现脓包。”

龋齿不治疗引发口腔癌
2015年,据长江商报报道,咸宁58岁的程先生因为一颗小小的龋齿长成鹅蛋大的口腔瘤,进而演变成了口腔癌。
程先生右下侧后牙一直有龋齿,多年来每次牙一疼就吃止痛药。他十分后悔没早点治好自己的龋齿,以致历经9个多小时的手术才捡回一条命。

医生分析,程先生牙缺损后未及时修补,而缺损牙边缘尖锐锋利,反复摩擦长期刺伤舌头、口腔黏膜局部,可能溃*处破**还没长好,又刺破,这样反复就会导致口腔基因突变,引发口腔癌。
医 生 提 醒
保持口腔清洁,定期口腔检查是预防龋齿的最好办法。
更重要的是培养正确的日常护理牙齿的习惯,包括早晚刷牙、用含氟牙膏和保健牙刷刷牙、饭后和零食后漱口或吃无糖口香糖、按时就餐和少吃甜食、零食和定期接受口腔检查等习惯。
有人因为爱喝碳酸饮料,结果一口牙被溶解了...

记 住 这 9 招
保 护 好 你 的 牙!
1

2

3

4

5

6

7

8

9
