肺和外表的皮肤一样,都有可能“生疮”,其中有一种不但化脓,还可能在肺上生出空洞,而这个疾病是青壮年容易得,抗感染效果不好的时候有可能需要手术治疗。这就是肺部的一种特殊感染,叫做肺脓肿。

肺脓肿的易患因素
肺脓肿以青壮年患者多见,在患者一过性的免疫力下降是容易患上,引起一过性的免疫力下降的因素包括熬夜,劳累,淋雨,吹过冷的空调等。在免疫力下降时,寄生在身体里的一些细菌有可能成为感染的源头,这些细菌主要来自上呼吸道,包括龋齿脓液,鼻窦炎脓液,还有醉酒的呕吐物,在晚间睡觉咳嗽反射下降时,这些物质进入气管直达肺部造成感染。

肺脓肿对于肺的位置有选择性
由于肺脓肿大部分是因为吸入肺外物质造成,因此肺脓肿的发生部位由吸入物的流经位置决定。人左右支气管并不是对称性的,右侧的支气管直,左侧的支气管比较弯,因此,吸入物更容易流入到右肺,而吸入大部分发生于晚间,所以肺脓肿就特别容易发生在靠近背部的肺叶,比如上叶后段和下叶背段。

肺脓肿患者常常会吐出很臭的痰液
肺脓肿大部分是由于厌氧菌感染造成的,所谓的厌氧菌是指在有氧环境中不能生长或者长得不好的细菌,这样的细菌获取能量的方式主要靠无氧分解营养物质,常常会产生很臭的脓液,因此肺脓肿患者常有脓臭痰吐出来,严重的时候全身都会散发臭味。

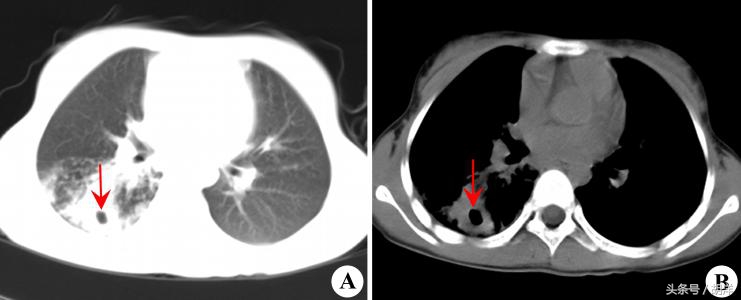
肺脓肿是造成肺部空洞的多种疾病之一
厌氧菌具有极大的破坏力,感染肺组织后很容易造成坏死,坏死的组织会形成浓痰排出体外,肺上就会形成一个空洞,空洞里不是干的,会积存一些脓液,这个是肺脓肿的特征性表现,其他会形成肺空洞的疾病还有肺癌,肺结核等,是临床上常常需要鉴别的三大疾病。

肺脓肿抗感染后不能消掉时需要做手术治疗
大部分肺脓肿都可以通过抗感染特别是抗厌氧菌治疗后吸收好转,但有一部分患者由于免疫力低下,细菌毒力强,病灶坏死组织厚抗生素难以透入而久治不愈,这种情况下一般不适合将其留在体内,即使没有什么症状,也要做手术将其切除,否则可能形成肺内的垃圾站,动不动有细菌排出来感染其他肺叶。

肺脓肿说到底是一种感染性疾病,抗感染治疗大部分效果不错,少部分消不掉需要手术治疗,这个疾病是对青壮年威胁比较大的疾病,患上这个疾病可能对人的工作学习乃至后半生的身体造成非常大的影响, 特别是治疗效果不好需要手术时,可能影响将来的肺功能。