有人说,骨科医生看的病就像杂货铺,杂七杂八都有。这不,前些日子,遇到一位18岁的女孩子,长得挺标致,身材高挑,皮肤白皙,脸上洋溢着青春气息,陪同女孩来的是他母亲。
妈妈先说话:“大夫啊,这么热的天,别人家的孩子都穿漂亮的凉鞋,我家姑娘死活不穿,嫌弃自己的脚丫难看。”
女孩子一言不发,似有怨气。
“姑娘,怎么回事啊?似乎不太高兴啊!”我问道。
“都是我妈,她的脚长那么难看,我遗传了她的大脚骨,难看死了!”
“孩子,这不能全怪你妈啊,你看你,这么小就开始穿高跟鞋,也容易得大脚骨病的。”
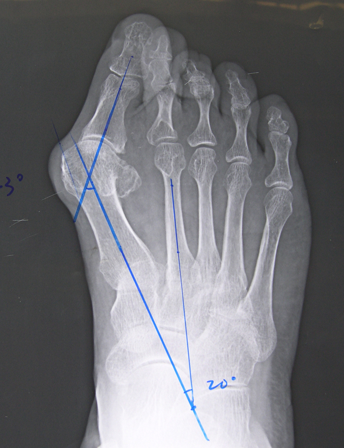
随后仔细了检查患者的足趾畸形,为患者拍了片子,确诊为双足拇外翻畸形,好在不算严重,通过简单的支具就可以治疗。

什么是大脚骨?
又称“脚孤拐”,医学专业术语称拇外翻畸形,是足部一种常见的畸形,女性多发,男女发病率为1:20,到底外翻到什么程度才算拇外翻呢?通常认为一般认为超过15度。

形成原因
确切的原因,目前尚不清楚,一般认为以下几种因素相关。
1. 遗传 多数学者统计表明拇外翻是具有家族史遗传的,是众多学者的专家共识。
2.穿鞋 真是应了那句老话,鞋子合不合适?只有脚知道!选择不适合的鞋子是形成拇外翻的重要原因之一。曾经有一个日本医生发现日本人喜欢穿木屐,将脚的第一趾和第二趾分开,拇外翻发生率非常低,当日本妇女被欧化后,喜欢穿高跟鞋,增加了姆外翻发病率。

3.足部结构异常 最常见的是扁平足,另外,有下肢神经肌肉疾病引起的肌力不平衡,也可以形成拇外翻畸形。
当然还有一些其他病理性的因素,比如类风湿关节炎引起的足部畸形,骨折等等。
临床表现
除了存在拇指外翻畸形,患者行走的时候常出现足底内侧的疼痛,第2足指趾受挤压产生锤状趾拇指,第1跖趾关节的内侧受到挤压摩擦引起拇囊炎,2、3趾足底出现胼胝伴有疼痛。

如何治疗
1.非手术治疗
穿大圆头式的鞋,缓解局部压力;局部使用非甾体类消炎药,减轻拇囊炎的炎症;使用矫形支具,纠正轻度的畸形。

2.手术治疗
关于拇外翻的手术治疗术士多达上百种,应该根据患者的年龄、工作性质、畸形的严重程度等多种因素采取不同的治疗方式,术前需要进行拍片等多项检查进行综合评估,请选择您信任的医生进行手术治疗!
#真相来了# @健康真相官