骨关节炎在我国发病率非常高,老年人的腿部疼痛,很多源于软骨退变所引起的骨关节炎。4月20日,依据《骨关节炎诊疗指南(2018年版)》,吴阶平医学基金会骨科专家委员会制定了《膝骨关节炎阶梯治疗专家共识》。

今天张医生就带大家解读下,这份新鲜出炉的“阶梯治疗共识”~~~!
膝骨关节炎的分期
治病,因人而异不同的情况,不同的治疗方法,所以要对疾病进行分期
膝关节是下肢负重的主要关节,直接影响行走功能。在判别骨关节炎严重程度时,有几点重要的参考指征:
- 疼痛程度
- 肿胀及畸形程度
- 活动障碍
- 影像学(x光,核磁共振)上的表现
根据这种参考标准,膝骨关节炎被划分为4级~也可以叫初期、早期,中期和晚期。

膝骨关节炎初期:
疼痛等级:偶发膝关节疼痛;
活动度:可正常进行日常活动;
肿胀及畸形程度:无膝关节肿胀,无明显畸形;
x光表现:关节间隙可疑变窄,可能有骨赘(骨质增生)出现。
膝骨关节炎早期:
疼痛等级:经常出现膝关节疼痛;
活动度:日常活动基本不受影响,少数患者平路行走偶尔出现影响;
肿胀及畸形程度:偶发肿胀,无明显畸形;
x光表现:关节间隙轻度变窄,有明显小的骨赘(骨质增生)。
膝骨关节炎中期:
疼痛等级:经常出现膝关节严重疼痛;
活动度:日常活动因为疼痛而受限,也就是走路疼痛,上下楼梯困难等;
肿胀及畸形程度:复发性膝关节肿胀,也就是反反复复出现肿胀,一阵出现,一阵好转;可能出现明显膝关节轻度内翻或外翻畸形(O型腿那种腿型就是外翻,但不是说所有的O型腿都有骨关节炎啊~~这里的概念,更多的是变量范围,是指,在原本基础上,出现内外翻变化);
x光表现:明确的关节间隙狭窄,有中等量的骨赘(中等量还真不好比喻。。。),软骨下骨骨质轻度硬化,可能出现膝关节骨性畸形。
膝骨关节炎晚期:
疼痛等级:膝关节疼痛非常严重;
活动度:日常严重受限;
肿胀及畸形程度:可能经常出现膝关节肿胀;可能出现严重的内翻、外翻畸形,或屈曲挛缩畸形;
x光表现:严重的关节间隙狭窄,大量的骨赘,明显的软骨下骨硬化,明显的膝关节骨性畸形。

左边(红色侧)严重的关节间隙狭窄
当然,也会有朋友出现疼痛值比较高但影像学表现不明显,或是不疼但影像学表现骨关节炎相对严重的情况,这种分期就比较复杂,在指南中也描述的比较专业。大家就不必太纠结,医生会有明确的判断的。

阶梯治疗
针对不同时期的骨关节炎,采用不同程度的治疗方法,就称为“阶梯治疗”!

在《诊疗指南》及《共识》中,阶梯诊疗被如下定义:
- 初期:基础治疗
- 早期:药物治疗+基础治疗
- 中期:修复性治疗+药物治疗+基础治疗
- 晚期:重建性治疗+药物治疗+基础治疗+术后康复
基础治疗包括:
指南篇:运动和生活指导,患者教育,科学的关节肌肉锻炼,中医和物理治疗。
通俗篇:通俗来讲,就是科学锻炼股四头肌等肌肉,增加膝关节的稳定性,尽量减少膝关节劳损活动,如登山,暴走等。
总结:保养(减少伤害)+加固(增加稳定)

药物治疗:
指南篇:局部外用药物,建议早期膝骨关节炎患者,尤其高龄患使用;口服药物,如非甾体类抗炎药,缓解关节疼痛、炎症性肿胀慢作用药物、抗焦虑药、中成药等;静脉输入,限医疗机构,多用于围手术期;关节腔内注射药物, 有限缓解疼痛,改善关节功能。
通俗篇:大家可以理解为,缓解疼痛的消炎药+关节腔内注射润滑液或药物,抑制炎症,润滑关节等;另外,还可以涂抹药物等。
总结:消炎止痛+润滑+延缓退变

抽取积液后,注射玻璃酸钠
修复治疗:
关节镜清理术:被骨赘或半月板或其他软组织卡住,关节出现交锁情况,或半月板损伤的朋友。通过微创关节镜手术治疗。
关节软骨修复术及生物治疗:意思就是将退变的软骨,通过prp治疗或软骨移植治疗等,进行修复,或促进再生。
膝关节周围截骨术(HTO):这个手术主要矫正力线的不正常。就像桌子,一边高一边低,将低的那边踮高固定,桌子就重回稳定状态了。膝关节也一样,膝关节不平衡,导致力线不正常(髋关节到膝关节再到踝关节应该能以一条直线贯通,称为力线),从而加重磨损退变和疼痛产生。
总结:这个部分,主要适合中晚期的病友,关节已经比较疼痛,在保留膝关节的同时,借助手术进行处理,以解决疼痛问题

截骨手术
重建治疗:
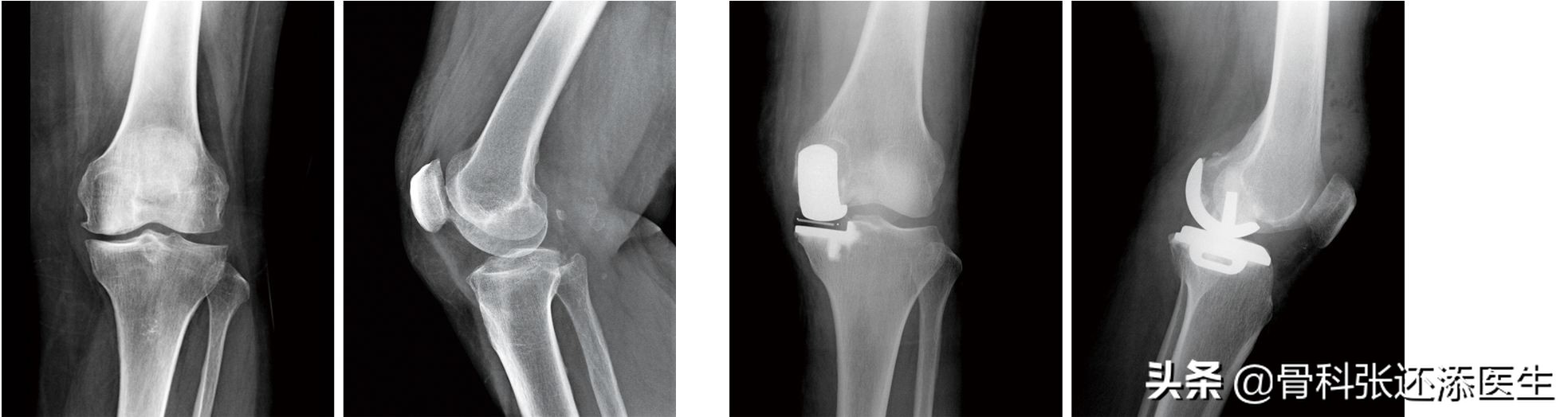
膝关节部分置换术:这是说单个膝关节,只有一侧磨损退变严重(比如内侧磨,外侧还好,髌骨软骨面也可以),这时可以微创治疗单髁,不用整个膝关节置换。
人工膝关节置换术:膝关节置换,换一个新的人工关节。现在的人工关节都很稳定耐用,已经是外科非常成熟的手术。
膝关节融合术/截肢术:膝关节置换都解决不了的问题,就只能采用融合了。
总结:膝骨关节炎晚期的病人,膝关节严重受损,需要进行置换,换上坚固的人工关节。

左2图术前,右2图单髁置换术后
总结
膝骨关节炎高发于50岁以上人群,所以很多朋友年轻时严重损耗膝关节,觉得医生危言耸听,等到出现问题再补救就不好了。
同时,骨关节炎是软骨逐渐退变的疾病,出现初期症状时,就应该到医院就诊,及早介入管理。而目前临床病人,更多是中晚期才引起重视。特别是上了年纪的病人,不想麻烦儿女,也对手术思想负担比较重,从而耽误了好的治疗时期。
张医生说句中肯的话,希望朋友们都可以“科普学习,避免过度治疗;同时,科学就医,不要讳疾忌医”。
80岁,依然健步如飞~
#清风计划##你好,立夏#
