
导读:恶性黑色素瘤是犬类最常见的恶性肿瘤,它占犬类所有皮肤肿瘤发病率的30-40%。一旦病情发生后,沿着牙龈、嘴唇黏膜、上颚、甚至是舌头都可以看到症状。
这些肿瘤细胞很大可能会转移到头部和颈部,有时还可能蔓延至邻近的骨头组织。它很容易扩散到淋巴结,肝脏,肺脏和肾脏。 因此,早期检测至关重要。
黑色素瘤是由潜伏在粘膜的黑色素细胞或者痣细胞,由于外界因素反复刺激下恶化而成。犬恶性黑色素瘤最常见的就是口腔出现问题,而这在雄性犬当中更为常见。可卡犬、德国牧羊犬、德国短毛指针、金毛猎犬、戈登塞特犬、微型贵宾犬、松狮犬都是具有较高的患口腔恶性黑色素瘤风险的品种。

小狗健康的牙龈
一例真实生活案例参考:
客户的马尔济斯犬是12岁时发现口腔内有一个不规则的黑色团块,心有疑虑选择0就医。
主诉3个月前便发现爱犬吃食方面出现障碍,经常使用爪子去挠耳朵,甚至出现呕吐的现象。严重时,口腔出现恶臭,口内肿物突出以致于口腔无法正常闭合。整体身形明显消瘦。
兽医通过临床检查,发现体温保持39.6°C,肿物位于右侧下颌齿龈,可明显观察出其占据右侧齿龈长度的三分之一,高约0.6cm,颜色为紫黑色。由于感染使整个口腔黏膜充血,初步怀疑为犬恶性黑色素瘤,后再决定病理活检。
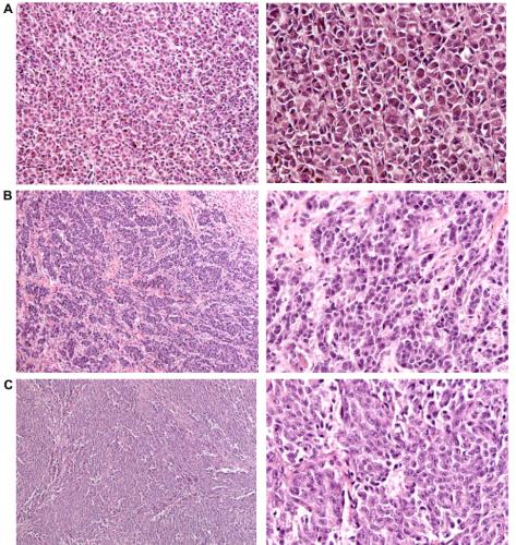
精准的病理学检查诊断为恶性黑色素瘤,且肿瘤细胞已蔓延至颌下淋巴结及其他部位。

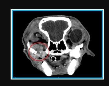
CT图像显示了许多黑色素瘤表现出的浸润性生长模式
什么是犬恶性黑色素瘤,为何如此常见?
黑色素瘤被分类为良性或恶性肿瘤,大多数发生在小狗身上的黑色素瘤都是良性的。良性的黑色素瘤通常不会癌变,也不会干扰正常细胞的功能。一旦达到一定的大小,它们会停止生长,并且不会侵袭其他组织。此外,它们不会转移,并且通过外科手术切除后它们往往不会反复生长。
但是!犬恶性黑色素瘤不一样。
它具有高度侵袭性,可以很快转移至其他重要器官。临床上,以颌下淋巴结和肺部的转移率最高。术后反复,预后很差,多数病犬在手术后6—12个月死于肿瘤的转移,一般建议犬主放弃治疗。在美国,每年可诊断出100,000例犬恶性黑色素瘤病例。
犬恶性黑色素瘤平均发病年龄在7岁~14岁以上,皮肤色素较深的犬容易发病,皆属于老年范畴。口腔恶性黑色素瘤是一种局部浸润性肿瘤(可以浸润到骨的深处),据报道在多达80%的狗中都有转移(扩散)的现象。
在考虑口腔恶性黑色素瘤的总体预后,平均生存时间可能会有所不同,肿瘤的大小很重要。因此检查时兽医一般会采用世界卫生组织的分期系统:
第一阶段:大约一年,I期疾病以直径小于2cm的肿瘤表示
第二阶段:大约6个月,II期疾病以直径2-4cm的肿瘤表示
第三阶段:大约3个月,III期肿瘤为4cm或更大,或者是任何类型的局部淋巴结肿瘤
第四阶段:大约1个月IV期,疾病包括任何具有远处扩散迹象的肿瘤

是什么原因导致犬恶性黑色素瘤出现?
病因尚不明确。
但是,有研究人员认为,这可能是由于环境因素和遗传因素共同作用所致。另外,也有可能是因化学试剂,压力,创伤或对特定部位的过度*弄舔**的因素。如果触发细胞随机繁殖,则会增加细胞分裂过程中突变的机会,并导致恶性细胞的形成。
目前极少肿瘤和癌症具有单一的已知原因。
尽管接受过多的紫外线是人类黑色素瘤的主要原因,但由于动物们具有保护性皮毛,因此通常这原因与动物不相关。
多数是由多种风险因素,某些环境因素以及某些遗传或遗传因素共同造成的。
但可以清楚一点的是,在犬类当中有几种品种更容易患有这些类型的肿瘤,包括可卡犬、德国牧羊犬、德国短毛指针、金毛猎犬、戈登塞特犬、微型贵宾犬、松狮犬。

犬恶性黑色素瘤的临床症状是什么?新手该怎么发现
这些肿瘤从外观看起来可能很小,所显露出现的症状可能仅仅是冰山一角,它内部情况可能比预期更深地扩散到组织内,从而浸润到骨骼下面。我们又可以简单的理解为骨骼先受到影响,导致口腔明显肿胀。
正常来说,口腔会出现异常的疼痛感,尤其是当肿瘤已经穿露骨骼内。
我们新手可以发现小狗的牙齿出现松动,呼吸音异常,进食或者吞咽的过程中出现困难,食欲不振,不愿意被主人触摸头部,面部肿胀和淋巴结肿胀,上下牙齿无法正常闭合,流涎增加。
如果肿瘤已扩散到局部淋巴结,则下颌两侧或肩膀部位的淋巴结出现扩大肿胀如果肿瘤已经扩散到肺部,就会出现嗜睡,食欲下降和咳嗽。

如何诊断这种癌症?
准确诊断的话需要对肿瘤组织进行显微镜检查。
在这之前,口腔的恶性黑色素肿瘤可采用FNAC (细针穿刺细胞学检查)。FNAC主要是用精密仪器刺入并直接从肿瘤中吸取细胞样品将其放在光学显微镜下观察。但在某些情况下,FNAC的结果并不清楚,可能需要进行活检。活检意指从肿瘤部位取出一小块组织,然后将其发送到实验室,供病理学家在显微镜下观察。
组织病理学不仅有助于精确的诊断,而且可以观察到肿瘤细胞会扩散到哪些区域。兽医都会强烈建议进行分期(追踪扩散到其他器官的肿瘤细胞)。接下来的检查还包括血液检查,尿液分析,肺部X光线检查以及腹部超声波检查。如果局部淋巴结肿大或出现异常,可通过FNAC进一步取样以确定是否已发生扩散。

犬恶性黑色素瘤有哪些治疗方法?
这类疾病我们都应将遵循一个原则:早诊断、早治疗。
通常治疗方式采取联合治疗方法,有三种方式可选择,分别是:
外科手术
放射治疗
化学疗法
选择哪种治疗方式是根据病情的不同,取决于肿瘤的位置。外科手术和放射疗法主要是切除原发灶,进行局部控制,而化学疗法则建议进行全身控制(控制可能已经脱离原发肿瘤并在小狗体内不停循环破坏的任何细胞)。
外科手术是所有恶性黑色素瘤的标准治疗方法。
通常在手术前进行头部或颈部的CT扫描以确定疾病的严重程度。但如果肿瘤入侵到骨骼组织,则难以去除。
由于典型的恶性黑素瘤扩散率很高,因此,准确确定其他器官的安全在治疗和预后方面是非常重要的一步。
当肿瘤不能完全切除或已经扩散到头和颈部的局部淋巴结时,放射治疗在治疗该疾病中变得很关键。在某些研究中,仅仅放射治疗的缓解率就能高达70%。然而,在这类型的治疗之后,疾病很有可能会复发。存活时间通常仅在5-7个月的范围内,也就是说,只是能延长多一点寿命。
从历史上看,令人感到惋惜的是,黑色素瘤似乎对化学治疗的药物具有抗药性,并且反应速度和持续时间令人失望,并没有十分明显的效果出现。

还有什么犬主应该知道的?
无论如何,如果犬主发现小狗嘴中发现任何异常的变化,都需要第一时间寻找兽医,共同商讨最好的治疗方案。
据目前关于犬恶性黑色素瘤的最新消息,一种梅里亚Oncept犬黒色素瘤疫苗有机会可以刺激小狗的免疫系统抵抗黑色素瘤。目前只能通过兽医肿瘤学专家才可以获得。疫苗最初每两周施用一次,共四剂。在小狗的余生中,每六个月进行一次加强免疫。
但这种疫苗不能预防黑色素瘤的发展,也不会清除黑色素瘤的细胞组织。结合其他治疗方式(例如外科手术,放射疗法和化学疗法)可令原本只能存活数周至数月的患犬,延长寿命至一年以上。副作用非常的少见。
这在兽药领域当中,是一个令人振奋的新技术进步。
未经治疗的小狗的平均生存时间为65天。若仅凭手术治疗,小狗的平均生存时间为5-17个月。通常,肿瘤越小,越靠近口腔前部,预后就越好。放射疗法的平均生存时间为211-363天。
患有晚期疾病的小狗的初步估计是平均存活时间为224-389天,如果通过手术或放射疗法控制原发肿瘤,则平均存活时间将显着提高到589天。
( 本文图片来源于网络,侵删)
#头条宠物大明星##狗狗大明星#