随着医疗设备和检查技术的进步,尤其是超声检查在健康体检中的普及,愈来愈多的人在一年一度的健康体检中发现胆囊息肉。这几年我在员工健康体检的调查中也发现,胆囊息肉与甲状腺结节、肾结石成为最为常见的几种疾病。说到胆囊息肉,很多人对“息肉”这种未知的东西充满恐惧,有的虽然不到0.5cm,还是担心未来会癌变,一般都会对健检医生问长问短,今天还是和大家详细谈以下胆囊息肉,以及对胆囊息肉的处理方法。

胆囊息肉是怎么产生的?
胆囊息肉的病理学名是“胆囊息肉样病变”,简单点说就是在胆囊腔内长出的“肉疙瘩”。国外对于胆囊息肉的流行病研究结果显示,在接受超声检查的人中发现4.6% 的男性与4.3%的女性有胆囊息肉,随着超声技术提高与设备普及,这个数字还会不断升高。

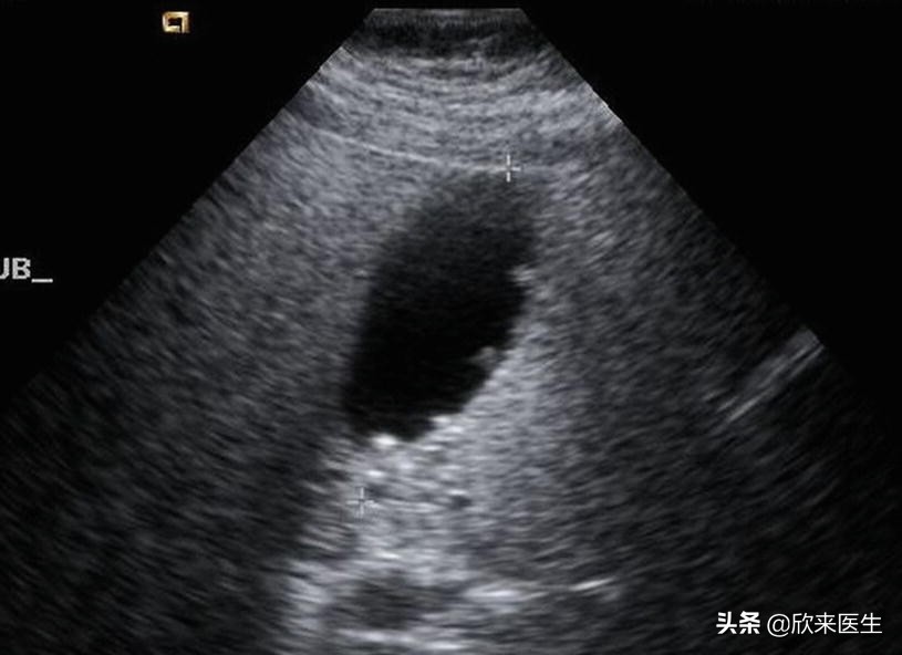
胆囊息肉B超表现
多数人会认为因为年轻人不爱吃早饭导致的,这种说法并没有什么依据。有些医生会认为这与身体代谢脂类的方式有关,当胆固醇过饱和并沉积于胆囊黏膜固有层,进一步侵及黏膜间隙,被巨噬细胞吞噬形成泡沫细胞并在间质层集聚,促进胆囊固醇性息肉的生成,这是目前胆固醇息肉增多的主要原因。但是其发生率与年纪、性别、体重、运动量、喝酒、饮食规律以及血液里的脂类物质都没有必然的联系。目前医学界尚无法完全确认胆囊息肉的病因,但一般认为与胆囊结石、慢性胆囊发炎、或是胆道阻塞造成胆囊内部压力增高有关,发病以中青年女性多见,有临床研究显示,有近7成的胆囊息肉患者合并有胆结石。
胆囊息肉严重吗?会癌变吗?
胆囊息肉(GP)分为良性或恶性,成人超声检出率为4.2%~6.9%,息肉可能会癌变,但很少发生。
良性 GP 细分为: 假瘤(胆固醇息肉、炎性息肉;胆固醇沉着症和增生)、上皮性肿瘤(腺瘤)和间充质性肿瘤(纤维瘤、脂肪瘤和血管瘤),大约 95% 的胆囊息肉是良性的。有文献报告指出,其中胆固醇息肉发生率占6成,所谓的胆固醇息肉就是因为胆固醇结晶沉积附在胆囊内侧,引起黏膜增生所致。胆固醇性息肉占全部胆囊息肉样病变的80%~85%,肿瘤性息肉占10%~15%。
“胆囊腺瘤”是一种特别值得关注的胆囊息肉,它虽被认为是非肿瘤性息肉的一种,是良性病变。但由于其临床症状与胆结石、胆囊炎等相似,影像检查结果又与早期胆囊癌相似,所以必须透过多项精密检查才能作出确诊。有部分学者认为,胆囊腺肌瘤是一种癌前病变,会使胆囊癌风险增加6.6%,在60岁以上的老年人群中发展成恶性肿瘤的机率较高。
恶性 GP 是胆囊癌,最常见的是腺癌。 根据国际惯例,国家癌症中心(NCCR)和WHO发布的癌症发病率数据,均将胆囊及肝外胆管癌合并在一起进行统计,简称为胆囊癌。根据国家癌症中心最新数字,中国胆囊癌的发病率为(1.00~1.30)/10万,并提出胆囊癌不是消化系统和胆道系统最常见的恶性肿瘤。

2020年一项针对 622,227 名 18 岁及18 岁以上参与者的队列研究中,随访20年发现胆囊息肉的生长很普遍,小于 6mm 的息肉中,有 66% 长大,6-10mm的息肉中,则有 53%。尽管如此,胆囊息肉患者很少发生胆囊癌,总发生率为每 10 万人年 11.3 例,而在观察至少 1 年的患者中,其发生率为每 10 万人年 3.6 例。
不过,胆囊癌虽然发病率非常低,但是恶性程度高,预后差,目前对该病缺乏有效的治疗手段。早期如果能切除, 化疗或放疗作用较小,则手术是首选治疗方法。局部晚期肿瘤可累及十二指肠/幽门/肝曲/胆道系统;在这些情况下,肿瘤与受累器官一起切除,预后较差。因此还是要加强胆囊癌早诊断、早治疗的必要性。
胆囊息肉怎么办,需要手术切除吗?
胆囊息肉手术的唯一指征是患癌变的风险。虽然前文提到,胆囊息肉病变成恶性肿瘤的机率非常低,如果是多发性息肉、生长缓慢、基底小于10mm的息肉,多半会被认为是胆固醇息肉,且不引起症状的假性息肉和炎性息肉不需要治疗。
2019年《BMC胃肠病学 》杂志发表一项研究,从2002年开始11年的随访发现,胆囊息肉的患病率增加,8.7% 的人群出现新的病变,这可能是超声技术进步的原因。原先51.9% 的受试者中息肉持续存在,而其他 48.1% 的受试者中息肉消失了,这也说明胆囊息肉有自行消失的可能。
但如果胆囊息肉出现下面4种情况,则需要引起注意。
1、单发息肉;
2、如果息肉引起症状或能够大于 1 厘米;
3、随访息肉1年有持续增长的状况,相比上次增长 2 毫米或更多时;
4、有胆结石或胆囊腺瘤症状,或是有胆囊癌家族史。
对于有上述状况的人,一般而言,大部份出现胆囊息肉的人都没有明显的症状,如果情况较严重者,可能会出现类似胆囊炎或胆结石的症状,例如恶心、呕吐、上腹胀气、右上腹隐痛,少数甚至还会出现疼痛放射到右肩的情形,就需要进行胆囊切除术的外科会诊,如果没有胆囊切除术,每年随访是必须的。
美国放射学会的指南将有临床症状、年龄>50岁、息肉直径>10毫米、局灶性胆囊壁增厚>3毫米、合并胆囊结石作为手术指征,凡是出现上述指征的胆囊息肉,均建议手术切除胆囊。

情况严重出现类似胆囊炎或胆结石的症状
至于前文所提到的胆囊腺瘤,如果是反复发作、囊壁不规则增厚、60岁以上的患者,也都应该尽早行手术切除。至于如果确定是恶化成胆囊癌,则可以采取先进的腹腔镜胆囊切除以及传统开腹胆囊切除两种手术方式,目前也有 内镜保胆息肉切除术治疗胆囊息肉,还需要进一步探讨 。
胆囊息肉可以预防吗?
至于如何预防胆囊息肉,其实目前并无绝对保证的方法。以下一些方法,主要是针对胆囊息肉一些高风险因素进行规避,另外也可以防止胆囊息肉进一步生长恶化。
1、戒酒: 虽然饮酒不直接导致胆囊息肉,但临床上发现胆囊息肉患者多数曾有饮酒史,特别是高度白酒。酒精在体内主要通过肝脏分解、解毒,酒精可直接损伤肝功能,另外,酒精热量为7千卡/克,仅次于脂肪,长时间饮酒会加速脂肪肝的形成,导致胆汁对脂质代谢紊乱,从而刺激胆囊息肉的增生。
2、少吃刺激性食物:像辣椒这种强烈刺激物, 也会导致胆囊壁充血而发生炎症性病变,诱发和促进胆囊息肉的生长。
3、减少血液中胆固醇: 主要是减少精致碳水摄入,会引起胰岛素抵抗,增加代谢综合征风险;另外是减少饱和脂肪和高胆固醇食物摄入。
4、增加有氧运动: 有证据表明,运动具有保护作用,可以显着降低胆囊问题的风险。一个在发表于2016年《身体活动与健康》杂志的研究发现,经常运动可以降低胆囊疾病的风险,可能是运动有助于脂肪氧化,并 通过激活胆汁酸作为信号分子 促进胆固醇代谢。
参考文献:
1、Jean-Luc Szpakowski, MD; Lue-Yen Tucker, BA; Outcomes of Gallbladder Polyps and Their Association With Gallbladder Cancer in a 20-Year Cohort, JAMA Netw Open. 2020;3(5):e205143. doi:10.1001/jamanetworkopen.2020.5143.
2、Linda Heitz, Wolfgang Kratzer,Gallbladder polyps – a follow-up study after 11 years,BMC Gastroenterology volume 19 , Article number: 42 (2019)
3、徐佳昕,蔡明琰,徐晓玥,内镜保胆息肉切除术治疗胆囊息肉初探,中华消化内镜杂志, 2020,37(04) : 253-256. DOI: 10.3760/cma.j.cn321463-20191111-00758