“卢医生,我老婆的脑肿瘤遗传给我女儿了,你能救救我的孩子吗?”
1周前的一个下午,神经外五科的卢建侃医生结束手术后,打开手机看见有十几个未接电话,而且都是来自于同一个陌生电话。卢建侃遂拨了回去。接通后,他便听到电话那端传来了这样一句求助。
在进一步的电话沟通中,卢建侃得知这位家属姓毛,是湖南人。6年前,毛大哥的爱人曾因听神经瘤到广东三九脑科医院就医,当时是由我院副院长、神经外五科主任鲁明及其团队为她做的手术。目前患者恢复良好,也没有留下后遗症。
但不幸的是,在1个月前,毛大哥5岁的女儿突然说自己头很痛,还变得不爱吃饭。起初,毛大哥并没有太在意,以为孩子感冒了,便找了一些感冒药给她吃。直到1个星期前,女儿依然说自己头痛、不舒服,还开始出现呕吐等症状。毛大哥这才带孩子到当地医院检查。当时检查提示孩子的脑袋里有一个约4cm大的肿瘤。当地医疗水平有限,医生建议毛大哥找脑专科医院进行手术。
母女先后得了肿瘤,家人都很崩溃,毛大哥的父母甚至怀疑是儿媳把肿瘤遗传给了孩子。想到妻子曾在我院接受过治疗且效果很好,所以毛大哥第一时间联系了卢建侃。
与卢建侃沟通过后,为寻求进一步的治疗,第二天一早,毛大哥便带着孩子来到了我院。

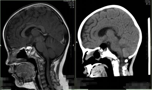
▲术前影像检查
鲁明仔细检查了患儿的影像资料,为明确病情,又为患儿安排了头颅CT检查。结合临床病症,最终患儿被诊断为颅咽管瘤。目前肿瘤已经损害到患儿的垂体功能,导致皮质醇下降。鲁明立即联系了肿瘤科、内分泌科和放射科的多位专家进行联合会诊,经过讨论分析,一致认为应先补充患儿的激素再进行手术。
由于肿瘤起源于垂体柄和下丘脑并延伸入鞍内,待患儿激素补足后,鲁明决定采取创伤少、肿瘤全切率高的内镜下经鼻蝶入路肿瘤切除术。该术法是采用神经内镜经鼻入路,然后在神经导航的引导下,沿着视交叉和垂体的间隙切除肿瘤。
手术时,鲁明先将肿瘤囊液释放,进行减压。随后,鲁明在内窥镜下清楚地看到患儿的肿瘤起源于垂体柄中央,并贯穿垂体柄,上至下丘脑、三脑室底,下至鞍内。鲁明沿着肿瘤包膜和蛛网膜的间隙,小心翼翼地将肿瘤和双侧下丘脑的粘连部分分离,最终成功将鞍内的肿瘤彻底切除,充分保护了附近的视神经,并且完整保留了垂体。
手术持续了将近4个小时。手术完成后,鲁明走出手术室将手术情况告知了一直在焦急等待的毛大哥。得知手术顺利,女儿的脑肿瘤已被全部切除,毛大哥悬着的心终于放下了。

▲术后影像检查
术后复查MR显示患儿的肿瘤已被全部切除。配合专科治疗及护理后,目前毛大哥的女儿已经顺利出院。
虽然肿瘤被切除了,但是疑问还没解决:毛大哥女儿的肿瘤真的是她妈妈遗传的吗?脑肿瘤到底会不会遗传呢?一起来看看鲁明是怎样的回答的。
鲁明问答时间
▼
Q1.脑肿瘤真的会遗传吗?
A:大部分的脑肿瘤并没有明确的遗传倾向,只有很少部分的肿瘤具有遗传性,比如神经纤维瘤、血管网状细胞瘤、海绵状血管瘤等。
Q2.颅咽管瘤是怎样形成的?
A:颅咽管瘤是由外胚叶形成的颅咽管残余的上皮细胞发展起来的,是一种常见的胚胎残余组织肿瘤,也是颅内常见的先天性肿瘤。
Q3.小儿颅咽管瘤的临床表现都有哪些?
A:①颅内压增高、脑积水:表现为头痛、呕吐、行走不稳、大小便*禁失**等;
②视力障碍:肿瘤压迫视交叉可能导致视神经原发性萎缩、颅内压增高时可能引起视盘水肿,这些情况均会影响患儿视力,少数患儿还可能会失明;
③内分泌紊乱:表现为生长发育迟缓、皮肤干燥、第二性征不发育、多饮多尿等。
Q4.内镜经鼻手术需要从患者的鼻子进入,但是5岁患儿的鼻腔这么小,也能做经鼻手术吗?
A:随着近几年神经内镜的发展,经鼻切除颅咽管瘤手术也得到了越来越多的医疗同行认可。虽然患儿鼻腔小会给我们手术带来很大的难度,但是鼻腔小并不是内镜经鼻手术的绝对禁忌症。随着医疗仪器和器械的精细化,内镜经鼻手术也在不断发展。相信有一天,1岁以内的患儿也能接受经鼻手术切除肿瘤。
Q5.选择内镜经鼻手术摘除儿童颅咽管瘤都有哪些优势呢?
A:儿童颅咽管瘤占儿童颅内肿瘤6%-14%,小儿颅咽管瘤病理类型以造釉细胞为主,大多数为环形蛋壳样的钙化。小儿颅咽管瘤以鞍内型为主(30%-50%),目前鞍内型颅咽管瘤应首选内镜经鼻手术的治疗方式。
选择内镜经鼻手术摘除儿童颅咽管瘤的优点主要有:
①创伤小、出血少、头皮无切口;
②无视野死角,可在直视下将沿着肿瘤和下丘脑、视神经的粘连部分分离;也能通过内窥镜观察肿瘤周边的前交通复合体、后交通及其穿支,可避免伤害到丘脑和视神经等重要功能结构;
③肿瘤全切率高,我们科内镜经鼻切除蝶颅咽管瘤的全切率达到94%;
④可以最大程度保护垂体柄,减少术后内分泌并发症的发生。
专家简介

鲁明
广东三九脑科医院副院长、神经外二科、神经外三科、神经外五科科主任、神经外五科手术首席主刀专家、主任医师、医学硕士。
专业与专长:主攻各种颅内肿瘤的治疗、微侵袭神经外科、导航神经外科、显微神经外科等技术的研究和临床应用。熟练掌握显微外科、神经内镜等微创技术,擅长应用神经外科微创技术开展“结合多模态导航、术中电生理监测和电刺激、术中荧光、心理干预相结合的术中唤醒麻醉下的脑功能区、脑深部(丘脑、基底节区)及附近病变切除手术”。主攻中枢神经系统肿瘤(听神经瘤、垂体瘤、颅咽管瘤、松果体肿瘤、脑膜瘤等)、复杂动脉瘤、脑血管畸形、三叉神经痛、面肌痉挛、颅内寄生虫抓取等开颅及内镜手术治疗。
社会任职:广东省医师协会神经外科学分会副主任委员、广东医疗行业协会神经外科管理分会常务委员、广州市医学会神经外科学分会常务委员、广东省医学会卫生学分会委员、广东省康复医学会重症康复分会常委、广州抗癌协会神经肿瘤专业委员会委员、广东省省级劳动能力鉴定医疗卫生鉴定专家。

卢建侃
医学硕士、主任行政助理。毕业于南方医科大学,师从我国著名神经外科专家、珠江医院神经外科科主任柯以栓教授。2016年曾在北京天坛医院进修学习颅底显微神经外科。发表多篇国内学术论文;从事神经外科临床与科研工作,具备扎实的理*功论**底和较丰富的临床经验,对各种脑肿瘤、颅脑外伤、脑血管病等神经外科常见病和多发病有较丰富的诊治经验,擅长胶质瘤、各种类型的脑膜瘤的显微手术治疗,以及颅脑外伤和脑出血疾病、颅内寄生虫抓取等的外科手术治疗。