一位60多岁的农村大爷,平时身体状况良好,不吸烟、不喝酒,最近半个月总有咳嗽,以为是感冒或者支气管炎,并没有引起重视。
患者的爱人说,最近总感觉大爷睡的床铺被褥湿湿的,由于最近一直下雨,以为是天气潮湿的原因。
大爷也去诊所看过咳嗽,吃了一些药,咳嗽时好时坏。
大爷平时没什么病。其所住的地方的社区卫生服务中心有一个免费体检项目,就是测血压和体温之类的便民服务。
大爷去的时候是下午,测体温37.8℃,医生问了大爷的情况,建议大爷拍个胸片看看。
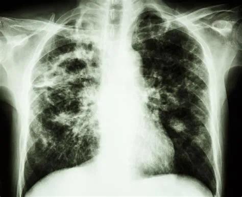
结果发现肺部有些炎症,开了点消炎药吃。大爷的孩子刚好回家,于是带着大爷去大一点的医院看。
后来,大爷被证实患有肺结核!

肺结核的胸部X线表现
很多肺结核患者,并没有典型的症状,或者症状轻微,并并没有引起重视。
大爷的出汗很奇怪,平时不怎么出汗。有一天晚上,患者的爱人发现,大爷在睡着的时候,身上似乎有点湿湿的。
第2天,掀开被褥发现:被褥下的床板非常潮湿,尤其是背部的地方,还有一个湿的轮廓。

盗汗多为渗透性出汗
* 盗汗是什么?
医学上,把这种睡着时出汗、醒来时出汗停止的现象,称为盗汗。盗,借用的事偷盗的意思,意思是偷偷的出汗。
这是一种渗透性的出汗,跟平时气温过高、被褥太厚、吃退热药后、运动后出汗等情况是不一样的。
和多汗症也是有区别的,表现为出汗时间上的区别。
气温过高或者被褥太厚导致的出汗,跟盗汗,在定义上就有区别。盗汗是即使在气温不太热的情况下,夜间也会出汗。也就意味着,在寒冷的冬季,也有可能会无缘无故出汗。

盗汗往往在睡着时发生
* 盗汗常见吗?
盗汗是一种非典型的症状,更多的来自主观感觉,目前对盗汗的研究是比较少的。在一些门诊问卷调查研究中发现,盗汗的发病率还是很高的。
很多单纯盗汗的人,并不能找出明确的原因。目前仅有的一些研究提示,盗汗的发病率在11%~41%之间。这些患者有的有心血管、肺的基础疾病,有的见于女性绝经期、胃食管反流等疾病中。
盗汗的现象在内、外、妇科和产科患者中,均有不同程度的发生。

盗汗见于很多疾病
* 人们对盗汗的误解
传统上,由于所中医思想的影响,很多人认为盗汗是体虚所致。
比如,中医理论就认为:阳虚自汗、阴虚则盗汗。
又认为肺结核为阴虚所致,从而将盗汗跟结核联系起来。
也有一些恐惧艾滋病的人,一直害怕盗汗是艾滋病的表现之一。
而事实上,盗汗的原因是多方面的。
总体上,盗汗的病因,包括恶性肿瘤、感染疾病、药物、内分泌因素、神经系统疾病、女性绝经以及特发性多汗症等等。

误解
* 盗汗的常见原因
- 1、恶性肿瘤
盗汗可能是多种癌症的早期特征,评估长期盗汗的患者时,应始终考虑到要排除恶性肿瘤的可能。
与盗汗最有相关性的恶性肿瘤是淋巴瘤,大约25%的霍奇金淋巴瘤患者,有低热和湿透性盗汗的表现,通常还伴有发热、体重下降至少10%、疲劳、瘙痒、饮酒后肿瘤累及的部位疼痛等症状,检查可发现淋巴结肿大,脾肿大等。
前列腺癌、肾细胞癌和生殖细胞肿瘤,也可能会出现盗汗,胰岛素瘤患者由于夜间低血糖,经常会出现盗汗。

淋巴瘤是盗汗的常见原因
- 2、感染性疾病
一些慢性感染性疾病,经常引起盗汗。
结核病
在有些疾病中,盗汗是唯一的首发症状,比如前面说到的肺结核。
结核病,是在医学领域中与盗汗相关性最大的疾病。
针对确诊结核病的成人患者的调查研究发现,约46%~62%的患者有盗汗的症状,其中29%的患者盗汗持续两周。
肺以外脏器的结核,比肺结核患者更经常出现盗汗,发生率超过50%。
结核病的其他表现有咳嗽、疲劳、发热、体重减轻、食欲减退、胸痛、腹泻、咳血等等。
年轻的患者比年老的患者更容易出现盗汗。
艾滋病患者同时合并肺结核时,盗汗往往更加明显。
其他的一些感染性疾病,比如布鲁杆菌病,盗汗也是非常明显的症状,同时会伴有关节痛、发热、厌食、体重下降、汗有恶臭味、全身不适、疲劳、抑郁,以及多器官损害的表现。
还有一些心内膜炎、骨髓炎、化脓性脓肿等患者,也比较容易出现盗汗。

肺结核
艾滋病
除了合并肺结核更容易出现盗汗之外,没有肺结核的艾滋病感染者也经常出现盗汗。
不过,艾滋病患者的盗汗,多合并发热、腹泻、体重减轻、淋巴结肿大、关节痛等表现。
大约有70%的艾滋病患者会出现盗汗,平均发生的频率为每周一次。

很多艾滋病感染者有盗汗的表现
- 3、药物因素
药物是引起出汗增多和盗汗的最常见常见原因之一。比如,一些止疼药、解热镇痛药、感冒药、抗抑郁药、有机磷农药、降血糖药、激素类药物等等,都可能会引起盗汗。
所以,在出现不明原因盗汗的情况下,要查一查自己在吃什么药。
有一些长期饮酒的人,戒酒后也可能会出现盗汗。

药物是盗汗的重要原因之一
- 4、神经系统疾病
可能会引起出汗增加及盗汗的神经系统疾病,包括植物神经功能紊乱、创伤后脊髓空洞症、脑卒中和自主神经病变。
比如,自主神经损伤的患者,经常会出现疼痛刺激后前额或全身出汗,伴有头痛、起鸡皮疙瘩、皮肤血管舒张、血压升高和排尿感,患者通常有脊髓损伤病史。

神经系统疾病也可引发盗汗
- 5、内分泌疾病
盗汗是一些内分泌疾病的主要特征,比如嗜铬细胞瘤、类癌综合征和甲状腺功能亢进等。对于一些不明原因出汗增多的患者,建议可以查一下甲状腺激素、血压、心电图等等。
- 6、女性绝经
女性在更年期或绝经期,大约75%以上的人,可能会出现潮热、盗汗的表现。

盗汗是绝经期女性的常见表现
- 7、其他原因
特发性多汗症,通常表现为一种良性的出汗增加,该病的主要特征是局部出汗,也可能是全身性的,比如手掌、足底和腋窝等地方大量和经常性的出汗。
阻塞性睡眠呼吸暂停患者,也容易出现盗汗。其他报道有出现盗汗的疾病,包括胃食管反流、颞动脉炎、结节病、尿崩症、慢性疲劳综合症等等。

盗汗的原因是多方面的
* 龙大夫的温馨提醒
盗汗是非常常见的症状,偶尔发生盗汗可能跟气温和被褥过厚有关。为反复盗汗所困扰的患者,应该正确识别一些严重的病因,比如肺结核和淋巴瘤。以为“体虚”而盲目服中药去补虚以试图止汗,不但没有多大的意义,反而可能因为长期服用这些药物而造成其他的一些不良反应,比如肝肾损害。找到特定的病因,并针对性的治疗,是治疗盗汗的最好办法。