
作为免疫治疗的点火剂,立体定向放疗(SBRT)改善肿瘤免疫抑制微环境,增加肿瘤对免疫治疗的敏感性,从而介导肿瘤局部和全身系统性的抗肿瘤免疫反应。化疗也能改善肿瘤微环境,进一步提高免疫治疗的疗效。在保证安全的前提下,将上述方法进行有机结合,有可能获得更好的临床效果。
患者一般资料
患者,1962年5出生,已婚
缘于2013-01前无明显诱因出现阴道不规则流血。
2013-01-29活检,病理示:鳞状细胞癌。
妇检示:宫颈见菜花样肿物,易出血,左侧宫骶韧带缩短,左侧宫旁受侵,未达盆壁。
2013-02-18盆腔MRI示:宫颈占位,侵犯阴道后穹窿,盆腔淋巴结未见明显肿大。
诊断:子宫颈鳞状细胞癌(Ⅱb期)

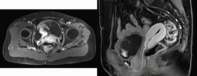
治疗前MRI(2013.2)
第一阶段
放疗:调强放疗,处方剂量:50GY/25F;后装放疗24GY/4F,
同步化疗:多西他赛 100mg d1+奈达铂50mg d2-4,一周期。
辅助化疗:多西他赛 100mg d1+奈达铂 50mg d2-4Q21d,二周期。
疗效评价:CR,这阶段PFS为7年。

放疗后MRI(2013.6)
第二阶段
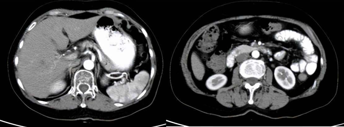
2020-04-14外院MR检查示:胰腺后上方不规则占位性病灶,腹膜后多发肿大淋巴结,考虑转移。(外院MR,未提供)
2020-04开始化疗+免疫治疗:紫杉醇210mg d1 + 顺铂 40mg d2-4+信迪利单抗 100mg d1,q21d*2周期。
SBRT:胰体部病灶+腹膜后淋巴结病灶,剂量24GY/3F。
同步治疗:紫杉醇210mg d1+ +信迪利单抗 100mg d1,q21d*2周期。
疗效评价:CR,截至2021.4,PFS为12个月,目前仍在随访中。

放疗计划

治疗后随访(2021.4)
病例小结
1.同步放化疗是局部不可手术宫颈癌的标准治疗方案。 根据NCCN 指南,放疗在宫颈癌的各个期别都可进行,但在我国一般来讲,大部分Ⅰ、Ⅱ a 期的宫颈癌均采用手术治疗,Ⅱ b 及Ⅱ b 以上采用同步放化疗,调强放疗新技术有助于提高宫颈癌疗效和减轻副作用,个体化腔内放疗是精确治疗的关键宫颈癌需接受4~6 次的腔内照射,总剂量在80Gy以上,次数参考照射剂量的计算和宫颈病灶消退情况,本例患者病灶消退,副反应轻,PFS达7年,效果满意。
2.化疗联合免疫治疗是转移性宫颈癌有效的治疗方案。 2019年KEYNOTE-158试验,共纳入98例复发宫颈癌患者,帕博利珠单抗的每疗程剂量是200mg,3周1疗程,连续使用2年或者使用至疾病进展。83.7%(82/98)的患者肿瘤组织PD-L1阳性。客观缓解率(ORR)为12.2%,其中3例完全缓解、9例部分缓解。PD-L1阳性肿瘤患者的ORR为14.6%(12/82),中位无进展生存期(PFS)为2.1个月,中位OS为9.4个月。PD-L1阴性肿瘤患者的ORR为0。美国FDA批准了帕博利珠单抗用于治疗期间或化疗后进展的PD-L1阳性晚期宫颈癌患者。信迪利单抗是第二个获批的中国PD-1*制剂抑**。既往的研究数据表明:信迪利单抗的安全性与其他获批的PD-1单抗一致。本例患者治疗效果明显,值得后续推荐。
3.SBRT在转移性复发宫颈癌综合治疗中具有一定的价值。 对于复发宫颈癌目前主要根据复发的部位、既往治疗方式决定采取何种治疗方式。其中单纯淋巴系统转移的宫颈癌,局部治疗对患者的局控及生存仍能获益。此病例令人满意的临床疗效提示我们,PD-1单抗联合化疗用于晚期远处转移宫颈癌的治疗是安全有效的,局部SBRT可作为免疫治疗的点火剂,在提高局控的同时,能进一步提高免疫联合化疗的全身效果,最终带来OS的获益。SBRT联合免疫+化疗为复发患者带来新的希望,但相关临床经验和数据仍需进一步积累。