“双眼皮修复后多久才能恢复?我多久才能见人、过回正常人的生活?” ——这是众多双眼皮失败患者迫切想问的问题。
关于这这一点,其实很难有一个准确的答案,因为手术恢复的快慢确实有个体差异,这和修复前的基础、具体手术方式、手术项目多少、操作的复杂程度、个人体质、术后护理等因素都有关,有人像坐上了过山车,而有人却上了慢车道,甚至还会有堵车情况,所以术后需要3–12个月的恢复期真的不是随便说说。
一般来说,双眼皮修复的恢复速度会比初次手术慢一些,如果修复的同时还做了提肌或者自体脂肪填充,那么恢复速度还要再慢一点。
本案例姑娘就是修复的同时做了提肌矫正上睑下垂,前两个月时,姑娘一直担心修复后改变不大,甚至一度以为手术再次失败了。
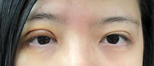
1、术前

(术前)
术前两侧的差异性比较明显,一侧黑眼珠暴露度少,眼睛无法正常睁开。小姑娘这个时候是双眼皮术后2个月,属于早期修复,闭眼切口处还有明显的红肿现象。因为两只眼睛差别过大,已经影响到了正常的生活不得已进行早期修复。
2、手术项目

(术后即刻)
项目:左侧双眼皮修复+左侧提肌,右侧的外观不算太差,不建议再次修复,所以本次修复只修一侧,尽量维持两边对称即可。
3、术后

(术后5天拆线)

(术后5天拆线)
术后5天拆线即刻,因为提过肌所以眼睛看起来会比较肿,美女在和我沟通也表示了两只眼睛黑眼珠暴露度不一致。

(术后17天)
术后17天,双眼皮还在肿胀期,这个时候要注意忌口,多冰敷,耐心等待时间恢复。

(术后27天和40天对比)

(术后40天)
术后差不多一个月到一个月半的时间里,双眼皮消肿得不算快,肿胀让眼睛看起来依然大小眼明显。这段时间里小姑娘依然维持着一个好的心态等待恢复。

(术后70天)

(术后70天闭眼)

(术后2个月和2.5个月对比)
双眼皮术后2个月到2.5个月,下唇有了明显消肿,眼头的线条看起来也稍微流畅些。相比前两个月,这个月的的双眼皮消肿后黑眼珠暴露度有明显增加,两侧的差异性也有缩小。

(术后半年)
术后半年,双眼皮基本已消肿定型,两侧的双眼皮基本维持一致,黑眼珠暴露度也基本一致,之前肿胀的双眼皮让小姑娘之前一直担心提肌手术不成功。

(术前术后对比)

(术前、术后即刻、术后半年对比)
术前术后对比,两侧的差别缩小,术前无神的左侧也可以正常睁眼了,左侧切口凹陷处也变得平整不少。
总结
总有人说术后问医生,为什么医生老是让她先恢复看看,是不是医生应付自己?
答案当然不是的 。
恢复期的眼睛变化较大,即使是看起来问题比较大的情况下,比如本案例黑眼珠的暴露度问题,随着时间恢复问题会变得越来越小,到了半年黑眼珠暴露度基本就对称了。
双眼皮的恢复也不是我们表面看起来的消肿这么简单,它里面还会牵扯到疤痕软化和血运的恢复等等,这个过程双眼皮会进行重塑,带动形态也会慢慢变化。
所以,恢复期中的双眼皮,请耐心等待。
#双眼皮术后##双眼皮##非常病历##我来科普##双眼皮手术#