北京大学滨海医院(天津市第五中心医院)皮肤科开设银屑病专病门诊,将近十年的努力与摸索,形成一套银屑病规范化诊疗流程,为银屑病病友提供更好的就诊体验!
1.开设银屑病专病门诊的初衷

银屑病,俗称牛皮癣,是一种由环境刺激、多基因遗传因素、免疫介导的皮肤病。该病可发生于任何部位,但以四肢伸侧和头皮较多,基本损害为红色丘疹或斑块,上覆银白色鳞屑,伴有明显痛痒,容易复发、不易根治。
我国有着庞大的银屑病群体,患病人数超过650万,其中一半以上为中重度,给自己的工作、生活、社交带来不便,从而影响心理健康。如果病情发展严重的还会引起关节损害,甚至造成关节致残致畸很多患者抱有急切的治愈心态,但往往事与愿违。
因此,为患者提供规范化治疗和正确的预防护理指导显得十分迫切。
2.出诊专家
银屑病专病门诊由皮肤科主任邢卫斌带领张静、时涵医生出诊。


出诊时间:每周三下午,采取预约挂 号形式,限号数量6名。
患者可通过“天津市第五中心医院”公众号预约就诊。


3.专病门诊特色
系统化诊疗服务
专病门诊坚持“患者第一”的原则,通过专设门诊和专诊时间,为银屑病患者建立集诊治、康复、科普、咨询、服务为一体的系统化治疗。通过诊治。
开通线上银屑病用药咨询、电话随访,定期组织线上线下患教活动,讲解银屑病生活注意事项等等,为患者提供细致、周到、全面、快捷的个性化服务流程。
引入靶向药物治疗方案
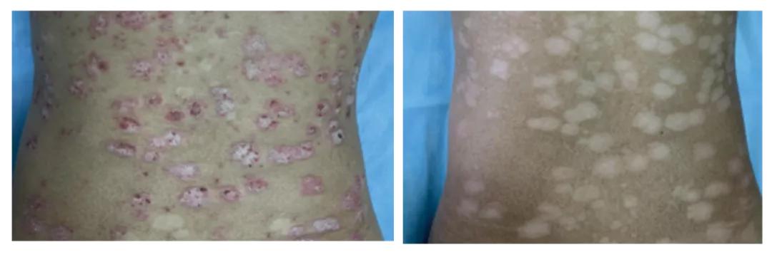
将治疗银屑病的靶向药物运用于银屑病的临床实践。该药专门针对银屑病发病的关键因子ZL-17A起作用,特别是对患病周期长,病情反复发作,传统治疗效果不佳的情况下,取得良好效果。同时也适用于儿童银屑病治疗方面。

这是为一名20多岁的男性患者治疗2周时的效果

与患者建立联系方式

为患者建立个人专属档案
感谢广大患者对我院皮肤科工作一直以来的理解和认可,患者的信任是我们创新发展的不竭动力,我们将牢记职责,不辱使命,持续开展各种新技术,挑战多种新领域,为滨海新区的皮肤病特别是银屑病患者提供更好更前沿的医疗服务!

为患者解疑释惑

专病门诊诊疗现场