女性颈椎病的锻炼方法 (低头族颈椎矫正健身)

中年女士颈椎锻炼,颈椎病怎么健身

颈椎是身体非常重要的一部分,有多条动脉和神经通过,是人体的中枢桥梁。但是颈椎的结构非常的复杂,又相对薄弱,所以颈部的健康非常重要,它的健康状况直接关系着我们的生活质量甚至是寿命。

在办公人群中,最常见的不良姿态有头前伸、含胸、驼背。 已故捷克物理治疗师扬达(Janda)所提出的上交叉综合征(Upper Cross Syndrome)指出:紧张与薄弱的肌群前后交叉,这种失衡的模式造成了关节功能紊乱,并表现出特定的姿态变化,包括头前伸、颈椎前凸和胸椎后凸增加、圆肩、驼背和翼状肩胛

中年女士颈椎锻炼,颈椎病怎么健身

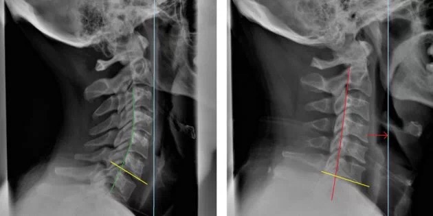
关于头前伸的危害,除了从美观上我们常常考虑的体态的问题,头前伸最主要的一个危害就是他直接与颈椎病相关联。在颈椎病的病例报告中通常都有这样一个诊断——颈椎生理曲度变直。生理曲度变直其实就是颈椎对头前伸姿势长期适应的结果。

头部前伸究竟给颈椎造成多大压力呢

人体直立和头部倾斜时,带给颈椎的压力是不一样的。从生物力学的角度分析,虽然头部的重量是恒定的,但因倾斜角度的不同颈椎承受的压力也不同,头前伸的角度越多,给颈部带来的负荷也就越大。

中年女士颈椎锻炼,颈椎病怎么健身

在颈椎病的发展初期只是肌肉的问题,一次落枕或者一次较长时间的伏案工作,常引起肩颈部位肌肉的紧张、酸痛,短期内休息可以得到缓解。但如果经常性地重复这个过程,有一部分肌肉的长度会因为紧张而慢慢地缩短,会逐渐适应并保持在这个短缩的状态;还有一部分肌肉被长期地拉长,会逐渐变得松弛、力量减弱,直至丧失功能。这个过程,就是肌肉丧失平衡的过程。

由肌肉的失衡而带来的机械应力分布改变会导致关节位置的变化,长此以往,关节也会逐渐适应新的位置,发生一些退行性改变,骨质增生、关节炎、软骨磨损都是退行性变的一种表现。

在颈椎区域,我们的臂丛神经是从颈椎的神经根分支下来的,关节位置的变化会导致神经穿出的空隙减小,导致神经根压迫,进而发展出上肢麻木的症状。这一阶段的颈椎病称为神经根型颈椎病。

中年女士颈椎锻炼,颈椎病怎么健身

早期的肌肉失衡问题,可以简单地通过手法、理疗以及训练的一些方法改善。 而关节退行性变,大部分是很难逆转的。所以我们可以概括,头前伸的问题,你的持续时间越长,对颈椎危害也就越大。

如何评估自己是否有头前伸

在自然状态下(放松下自然站姿),从侧面观察体态,我们要找到两个骨性标志点,一个是乳突,一个是肩峰。

中年女士颈椎锻炼,颈椎病怎么健身

在整体的评估下,侧面观的乳突、肩峰,还有股骨大转子、股骨外上髁、外踝应该是练成一条直线的,这条直线我们称为中线。我们可以用乳突与肩峰的连线与中线的夹角来量化头前伸的角度,也可以用乳突偏移中线的程度来直观感受头前伸的程度。还有一个很简单可行的方法就是靠墙站立,后脑勺是否能很轻松自然地贴到墙面。

关于颈椎问题的错误认知

中年女士颈椎锻炼,颈椎病怎么健身

  • 颈椎曲度变直只是颈椎的问题吗?

殊不知,有很多人的颈椎曲度变直,其实是个结果,而其原因是由于胸椎的曲度增加(尤其是上胸椎曲度问题,在当今社会很常见)。

  • 一侧斜方肌的紧张就应该多拉伸这一侧的斜方肌吗?

有人说拉伸两侧斜方肌,这个答案还勉强可以接受,但还有人说要拉伸紧张一侧的斜方肌,殊不知,这一侧斜方肌很可能已经被动拉长了!

中年女士颈椎锻炼,颈椎病怎么健身

我们感觉肌肉紧张很可能是由于身体其他的力学因素导致这一侧肩膀偏低造成的,过多地拉伸紧张侧肌肉反而会导致更严重的高低肩,甚至脊柱侧弯。

如何改善颈椎的不适问题

  • 解决呼吸模式

首先我们要知道,颈胸椎的曲度改变,一定会导致呼吸模式的改变。

康复大师李维特曾说过:呼吸是最重要的动作模式,错误的呼吸模式约有80%,呼吸模式出现错误,那么其他动作模式就不会正常。

如果我们仔细观察肩颈不适的人,就会发现有些人在呼吸过程中会轻度的耸肩,也就是说在呼吸过程中,肩膀会有起伏!!!

这种就是常见的错误呼吸:一直在用斜角肌来辅助平静呼吸,这反映了膈肌和腹部腹横肌功能的弱化,只能靠斜角肌这个辅助呼吸肌才能进行平静呼吸(很多办公室颈部不适的人群都有这个问题,大家可以仔细观察一下)。

中年女士颈椎锻炼,颈椎病怎么健身

呼吸是个非常重要的问题,必须进行科学的评估。正常呼吸是要靠腹横肌和膈肌的参与,增加腹内压(IAP),让空气进入胸腔的过程,在这过程中,下胸廓要有运动,而且要向各个方向扩展(尤其是要向身体两侧扩展)才可以是一个正常的呼吸,这样的呼吸不会过多动用斜角肌的,从而保持了颈椎的稳定,减轻了颈椎的负担。

中年女士颈椎锻炼,颈椎病怎么健身

试想下如果每天呼吸模式都不对,那么我们这一生中颈椎能舒服吗?仅仅去拉伸肌肉,其实也只是在某种程度上改善症状,增加关节和肌肉的代偿而已。我们如何评估呼吸模式是否正确呢

  • 评估膈肌功能

我们可以坐在凳子上,或是趴在垫子上,保持躯干正直,检查者双手在被检查者下肋部,每个手指触摸肋骨间,看呼吸的时候双手有没有被向外撑开,没有或者运动不明显的则为阳性,我们就要进行呼吸训练来进行改善了。

中年女士颈椎锻炼,颈椎病怎么健身

训练方法:双手张开放在我们的两侧肋骨上,并向内发力挤压。吸气时肋骨向外张开并且横向推开我们的手掌,呼气再横向收回来,并且感觉两个手的手指互相慢慢靠拢。做10次,共3组。一定要注重动作质量而非数量。

中年女士颈椎锻炼,颈椎病怎么健身

  • 评估腹横肌的功能

仰卧,双腿弯曲,双脚踩住地面,一手放在胸廓处,一手放在下腹部(注意是下腹部),感受吸气时两个部位的反应,正常反应:吸气时,下腹部隆起,胸廓向两侧打开。如果感觉到是胸廓向上隆起,则为阳性,需要进行呼吸训练。

中年女士颈椎锻炼,颈椎病怎么健身

训练方法:

测试动作就是训练动作!

腹式呼吸要保证每次吸气,下腹部都能隆起来,每组10次即可,3组,一定要注意动作质量。训练腹式呼吸可以帮助更好地换气,增加氧气的摄入。

中年女士颈椎锻炼,颈椎病怎么健身

当进行了呼吸模式的调整之后,会发现每天昏昏沉沉的大脑会清醒很多,那么接下来我们应该如何训练我们的颈椎呢?

颈椎恢复训练

我们可以做些拉伸和力量训练,但是这要在我们调整好呼吸以后才能做,而且前面说过,拉伸前要进行评估。

  • 上斜方肌的肌肉长度评估

首先我们先来了解一下斜方肌的解剖功能:使颈椎同侧屈对侧旋转。想要评估它的长度有一个非常简单的方法。

中年女士颈椎锻炼,颈椎病怎么健身

首先摆正耳垂,让两个耳垂水平(如红色的线),观察双肩的高度差,如果出现了双肩高度不一致的情况就要注意了,这就是我们常说的高低肩。那么高低肩人群应该拉伸哪一侧肌肉呢?现在从图中可以很清楚的看出,肩膀低的一侧肌肉被拉长,虽然平时你会觉得这一侧肌肉比较紧张,但是真的不能拉伸啊!反而要拉伸肩膀高的一侧,否则高低肩的情况会越来越严重!

中年女士颈椎锻炼,颈椎病怎么健身

  • 拉伸方法

一手坐在臀部下面,或是抓住床边椅子,另一只手扶住头部,颈部侧屈,同时向对侧微微转头,感受到斜方肌有明显的拉伸感,保持15秒钟,完成2组即可。

中年女士颈椎锻炼,颈椎病怎么健身

根据整体评估的原则,接下来我们再来看看如何改善颈椎曲度!颈椎曲度的变直,多半是由于上胸椎后凸导致的,所以在改善颈椎曲度之前,应该先改善上胸椎曲度的问题,再做颈椎曲度的调整。

  • 上胸椎后凸改善方法

将泡沫半轴(可用其他物品代替)垫在上胸椎下面,下颌收住,头部着地,保持姿势15—20秒。共3组。注意:坐起时不要太快,要平躺一会儿再起来,以防止出现头晕的现象。

中年女士颈椎锻炼,颈椎病怎么健身

  • 颈椎曲度改善法

1、将弹力带放置在颈椎中段,向后仰头10次,速度不宜过快,完成3组即可。

中年女士颈椎锻炼,颈椎病怎么健身

2、四足支撑在垫子上,保持不要塌腰。将弹力带放在头部正后方,双手拉住弹力带,呼气下巴收住,头部向天花板方向对抗弹力带拉力,保持1秒,完成10次3组。

中年女士颈椎锻炼,颈椎病怎么健身

  • 颈椎力量训练

我们可以做一个4步操,从前后左右四个方向发展颈部肌肉力量,手和头部每个方向对抗20秒钟,2组。注意一定要收住下颌,动作过程中不要屏气,要正常呼吸。

中年女士颈椎锻炼,颈椎病怎么健身

改善颈椎曲度除了做这些训练,还需要多多注意自己在日常生活中的姿势问题,如果每天都是长时间的低头看手机,那么我们的颈椎依然会出现很多的问题,所以一定要防止长时间的过度低头。其次就是要选择一个对颈椎比较好的枕头作为支撑,很多人理解的枕头只需要把头部垫高就可以了,但是其实我们的脖子也是需要枕头的支撑,不然颈部肌肉收到的拉力太大,很容易疲劳。比较推荐这种对颈椎有支撑弧度的枕头。

中年女士颈椎锻炼,颈椎病怎么健身

颈椎的不舒适主要由于不良的生活姿势习惯和呼吸模式造成,这些训练动作需要持续长时间的去做才能改善。此外正确的评估后要进行科学合理的拉伸和力量训练,以及颈椎、胸椎的曲度改善。要记住人体是一个整体,我们的疼痛很可能是身体代偿产生的,一定要做好整体的评估,再对症下药。