患者,女,40岁 •间断左耳流黄色粘稠脓液30年,干耳3月。 •渐进性听力下降、低频持续性耳鸣10年。无面瘫、眩晕、高热、头痛、耳周及颈部红肿等。
专科查体:
•左耳鼓膜紧张部后下边缘性穿孔,残余鼓膜大片钙化,鼓室内粘膜光滑。

•咽鼓管:通畅 •音叉
Weber: 偏左
Rinne: 右耳(+) 左耳(-)
Schabach:右耳(相等) 左耳(延长)
纯音测听:

•左耳骨气导间距35dB
•Carhart切迹
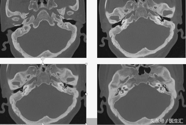
颞骨CT:

初步诊断:
•慢性化脓性中耳炎(左,单纯型)
•鼓室硬化(左)
鉴别诊断:
1.慢性化脓性中耳炎(后继胆)
2.耳硬化症
3.感音神经性耳鸣
病情分析:
•手术适应症 –干耳 –咽鼓管通畅
•术中处理重点 –继发胆脂瘤 –听骨链探查 –鼓膜修补
•切口—后方无残边—听骨链探查
•耳道—鼓室成型材料—颞肌筋膜—人工听骨
重点病情:
1.术后听力改善不佳、二期重建听力可能
2.术后耳鸣不缓解可能
术后:
•诊断:慢性化脓性中耳炎(左,后继胆)
•听力提高 •耳鸣消失
总结:
一、慢性化脓性中耳炎分型

•单纯型 •骨疡型(肉芽型)
•胆脂瘤型(中耳胆脂瘤)
二、中耳炎治疗原则
•控制感染
•通畅引流
•手术去除病变、恢复听力
三、中耳炎手术:

手术方式

乳突根治术----仅去除病变

•彻底切除乳突及中耳病变组织,乳突、鼓窦、中耳腔、外耳道共同形成一个术腔,去除鼓膜和听骨链,无须保留或重建中耳结构,封闭咽鼓管鼓室口。
改良乳突根治术(Bondy手术):上鼓室、外耳道、乳突腔共同形成一个大的术腔,鼓膜和中鼓室结构不予处理。
鼓室成型

•鼓膜成形 –颞肌筋膜 –软骨膜•听骨链成型 –自体听骨 –人工听骨
开放式鼓室成形术:

•彻底切除乳突腔,使其与外耳道共同形成一个术腔,同时通过鼓膜成形伴或不伴听骨链重建完成中耳腔的重建。
闭合式鼓室成形术:

•闭合式手术保留完整的外耳道壁,通过开放面隐窝的方法去除后鼓室的病变,也被称为联合径路鼓室成型术。
四、手术方式选择:

五、鼓膜修补术的手术适应症:
•鼓膜紧张部中央型穿孔,干耳1个月以上。
•鼓室粘膜光滑,无鳞状上皮化生。
•颞骨CT等检查提示鼓室、乳突正常。
•咽鼓管通畅。
六、鼓膜修补术的手术禁忌症:
•急性上呼吸道感染期或急性上呼吸道感染治愈不足2周。
•外耳道有急性的细菌或真菌感染。
•颞骨CT提示乳突及鼓室内有病变。
•咽鼓管闭锁。
•严重的全身性疾病如活动性肝炎、心脑血管疾病,或有出血倾向等血液疾病。
七、鼓膜修补术的术后处理
•术后抗感染治疗
•7天拆线
•2周抽纱条
•咽鼓管
八、鼓膜修补术的 术后常见并发症
•中耳感染,术后短期内术腔感染,移植组织脱出
•鼓膜位置异常
•耳鸣
•耳聋
•继发胆脂瘤
•鼓膜穿孔
•面瘫