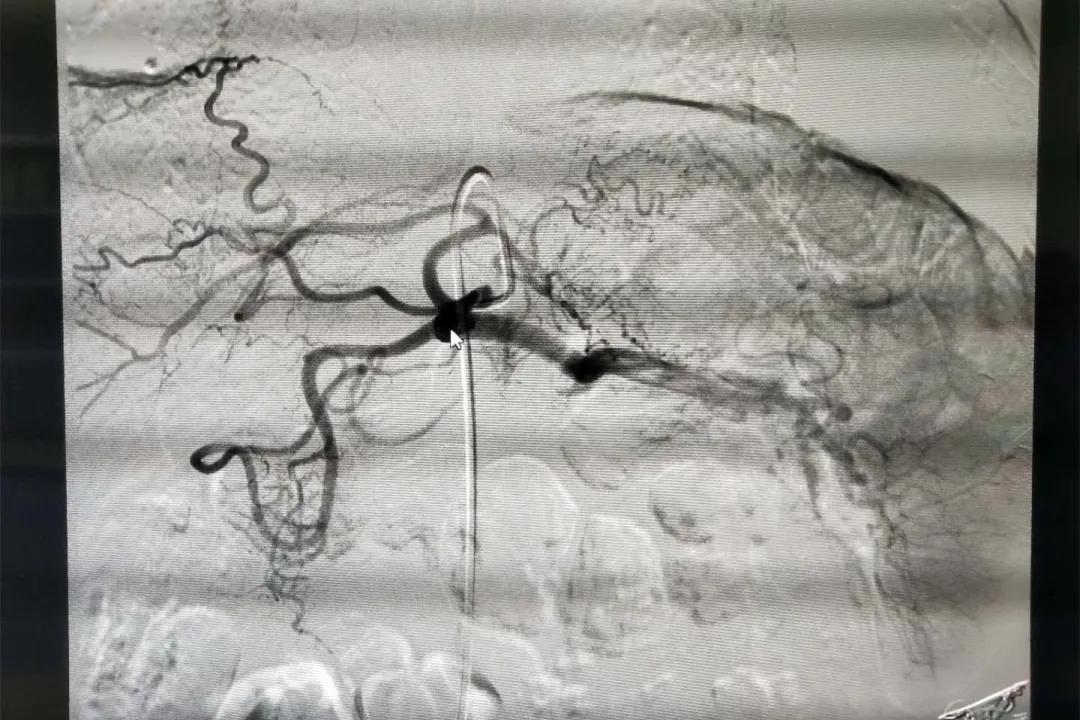
介入室里,宁阳县第一人民医院胸外科医生许彪和放射科介入科主任宁连金注视着眼前的屏幕,随着药物的注入,造影显示,肿瘤周围的末梢血运已经消失,严密观察之后,患者被送回病房。
“我是第二次做这个治疗,效果不错,第一次做完我就能吃东西了,现在也比刚得病那会儿胖了不少……”刚刚做完介入治疗的单先生精神状态很好。

单先生今年66岁,9个月前,他感觉上腹部胀痛,一吃东西就堵得慌,家人赶紧带他来宁阳县第一人民医院胸外科就诊,经胃镜病理检查后,确诊为“贲门腺癌”。
在术前准备之际,单先生突发“急性脑梗死”,虽然治疗效果不错,但是身体状况已经不适宜手术了。
无奈之下,单先生只好选择了保守治疗,他先后在上级医院和县第一人民医院做了2个周期的化疗,效果不是太明显,病痛的折磨外加无法进食,让他的体重迅速下降,身体状况也越来越差。
为此,胸外科团队马上进行了讨论研究,最终决定,为单先生进行“贲门恶性肿瘤胃左动脉灌注化疗+栓塞术。”


许彪介绍说,肿瘤灌注化疗+栓塞治疗是运用DSA(数字减影技术)对患者肿瘤病灶进行精准定位,通过导管注射化疗药物,使药物直接作用于肿瘤细胞,对肿瘤组织进行破坏,杀死肿瘤细胞;同时,用药物阻断肿瘤的血液供应,使肿瘤组织无法再汲取营养,简单说,就是给肿瘤“断粮”,从而阻止肿瘤细胞的生长,甚至可以令其坏死凋亡,以达到控制肿瘤生长,使肿瘤缩小的目的。

放射介入科主任宁连金介绍说,DSA可视动脉介入灌注栓塞术是采用微创治疗的方式,仅在大腿根部处有一个2-3毫米的穿刺创口;将高浓度的药物直接作用于局部,发挥最大的抗肿瘤作用。而且对全身毒副作用小,能最大限度保护*体器人官**,绝大部分患者可耐受。适于多种肿瘤,如肝癌、肺癌、乳腺癌、胰腺癌、胃癌、肠癌、骨肉瘤等。

宁阳县第一人民医院胸外科主任杨公政表示,肿瘤的DSA介入治疗在局麻下就可以进行,创伤小,药物直达肿瘤组织,靶向杀死肿瘤细胞,能快速缩小瘤体,为手术切除创造条件;对于无法进行手术的患者,可以减少转移,起到延缓其病情发展的作用。
来源:宁阳县第一人民医院
通讯员:孙峰松