人老了之后
总免不了变黄、长斑,
比如这样

如果放到皮肤检测仪下面会显得更清晰

这些,都叫做*褐斑黄**,是一种诊断起来很容易,治疗起来很头大的皮肤病

为什么会出现*褐斑黄**?

*褐斑黄**的出现,跟日晒的关系最大。
另外,还跟家族遗传、怀孕、过度/不恰当的使用化妆品、皮肤存在慢性炎症、性激素水平波动(如长期吃避孕药)、长期服用激素药物、服用光敏性的药物有关。
其中,大家对光敏性的药物了解甚少,代表的光敏*药性**物有:
- 抗菌药物喹诺酮类:氧氟沙星、诺氟沙星、莫西沙星等;
- 四环素类:多西环素、米诺环素、金霉素等;
- 非甾体类抗炎药:吡罗昔康、萘普生、布洛芬、舒林酸;
- 抗心律失常药:胺碘酮;
- 降压药:硝苯地平、卡托普利;
- 利尿药:呋塞米、氢氯噻嗪、吲达帕胺
前三类药物是大家平时非常容易用到的,如感冒药、痛经药里面都可能含有它们。如果服用了这类药物(可在夜间服用),一定要避免在日光下暴晒,并做好防晒工作。
如果进一步剖析原因,你会发现,*褐斑黄**远比你想象的复杂。
因为*褐斑黄**不仅仅是“颜色变黑了”,它还涵盖了:
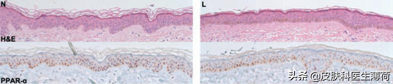
皮肤屏障的破坏:N为正常皮肤,L为*褐斑黄**皮肤,*褐斑黄**皮肤的表皮明显更薄;

Lee D J , Lee J , Ha J , et al. Defective barrier function in melasma skin
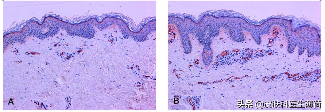
血管扩张:B为*褐斑黄**的皮肤,下面存在更多的红色的血管

Kim E H , Kim Y C , Lee E S , et al. The vascular characteristics of melasma
皮肤的慢性炎症:一些*褐斑黄**皮肤会明显的泛红,这类皮肤一般都同时存在血管扩张和慢性炎症;

皮肤衰老:为什么*褐斑黄**最喜欢找上年龄偏大的女性?因为她们衰老的皮肤更容易“下手”,图片显示为断裂、卷曲的胶原;

Solar elastosis and presence of mast cells as key features in the pathogenesis of melasma
基因表达的异常:基因表达的异常,导致酪氨酸极度的活跃,不时的就找找三五黑色素好友一起玩,导致皮肤出现色斑;

总而言之,女性衰老之后出现的“黄脸现象”,真的不简单,这也决定了,它治疗起来,很难。
有啥治疗方法呢?
总的来讲,方法非常多,但没有任何一种方法是完美的,因为*褐斑黄**真的太太太容易“反黑”了。
如果你想要安全、不反黑的方法,大都比较慢,不能满足大家的“求美心切”,比如:
1.口服系列的维生素C、E,谷胱甘肽、氨甲环酸、中医中药。
其中,氨甲环酸算是最经典有效的治疗方法,但仍需要2个月左右才能看到效果:

Effect of tranexamic acid on melasma: a clinical trial with histological evaluation.[J]
另外要提醒的是,口服氨甲环酸比外涂有用,但它对凝血功能、月经有一定的影响。甚至有研究指出:把氨甲环酸做成护肤品外用,基本没啥卵用……

所以,大家想剁手氨甲环酸精华来美白的,可以收手了……
其他口服系列的研究更少,具体原因自己想(几个月都看不到效果咋研究?)……
2.外用系列的氢醌、Kligman三联配方(氢醌+维甲酸+糖皮质激素)、壬二酸和果酸刷酸术、维生素C。
其中,氢醌(千百软膏)是最经典的药膏,但存在皮肤不良刺激反应,而20%的壬二酸是不错的替代方法。

Comparative study of therapeutic effects of 20% azelaic acid and hydroquinone 4% cream in the
如果想要更安全,5%的原型维C(注意,不是维C衍生物)也能达到不错的效果。

这里还要特别的谈一下Kligman三联配方(氢醌+维甲酸+糖皮质激素),其疗效优于单独用氢醌。但很多人会望激素色变(甚至皮肤科医生也会),但它的用的量极小,而且研究统计下来,也没有大家想象中的激素不良反应(大家要相信专业的力量)。

另外,很多*褐斑黄**的朋友肯定还听说过果酸刷酸——它确实具有不错的疗效,但深肤色的人(类似于东南亚印度人的肤色)就不要尝试了,非常容易反黑。

刷酸术后出现了色素的反黑
3.各类激光:如超皮秒、皮秒、调Q、光子嫩肤、点阵激光、非剥脱激光等等,虽然效果良好,但真的很容易反黑(尤其是肤色深的人群),调Q甚至还可能会出现皮肤的白斑。

总结,*褐斑黄**不好治,有耐心很重要,找正规的机构,对色斑研究专业度强的医师。
否则做完治疗后,色斑可能暂时退下去了,但一个月、两个月、三个月之后……它可能会变得“更坏”。
最后一点,防晒的效果,远比你“想象”的要强:

是的,就是前面提过的氨甲环酸,这玩意儿外用基本没啥卵用,反而是防晒霜“撑起了一片天”,赶紧愉快的去涂防晒霜吧!