陆博,口腔医学博士,苏州口腔医院副院长,擅长美学正畸。热衷于用简单浅显的文字,为您打开口腔知识大门,欢迎关注。
补牙贵吗?
有人觉得贵,芝麻大的材料怎么几百块钱?
有人觉得不贵,一颗牙不成功,几百块钱可以用一辈子(保养得当的话)。
但有些人会疑惑了:为什么我补牙花了几千?
总之,由于目前口腔市场的混乱,导致不少人被坑,稀里糊涂交了钱,最后还没治好。
那么今天就详细地为大家讲讲补牙的过程(我今天讲的是适合普通补牙患者的内容,杠精请绕道)。

接下来——开始!
首先,先简单聊聊龋病。
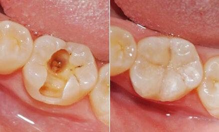
龋病,就是我们常说的"蛀牙"。它就像感冒一样,虽不是难以治疗的疾病,患病率却非常高,是最常见的口腔疾病。可以这么说,只要口腔中有牙齿,就有患龋病的风险。
然而更可怕的是,龋病是一种无法逆转的口腔疾病。由于牙体硬组织没有自身修复的功能,因此一旦患上龋病,牙齿不会自愈,更不可能通过吃药等医疗形式进行恢复,只能人为地采用填充材料来修复。因此,补牙是一项重要且有效的龋病治疗方法。

今天,就为大家科普——补牙那些事儿。
一、补牙第一步——清除病变组织
通过往期的科普文,我们了解到牙菌斑是龋病形成的"罪魁祸首"。菌斑氧化释放酸性物质,如"硫酸"一样腐蚀牙体,形成蛀牙。如果放任不管,牙洞就会越来越大,最坏的结果会导致拔牙,甚至危及生命。
因此治疗蛀牙不止把牙洞补起来这么简单,而是要用专业的高速仪器,将牙体中的所有已被感染的组织全部去除,在保证无污染组织的提前下,才能补牙。否则就算补起来,嚣张的细菌还是会继续侵蚀牙齿,等于没补。

所以,补牙第一步——彻底清除牙体病变软组织。
二、补牙第二步——酸化牙釉质
众所周知,牙体的表面是光滑的,那是一种叫"牙釉质"的物质。牙釉质是人体全身最坚硬的部分,却光滑如镜,给补牙工作增加难度。因此想要牙齿表面更具"粘性",医生需要用专门的酸蚀剂酸化牙齿,让牙齿表面暂时形成肉眼无法察觉的凹凸面,以增加摩擦力,为补牙做准备。

这一步虽简单,却必不可少。
三、补牙第三步——填充牙洞
接下来就是补牙的重点环节——填充牙洞。一般来说,目前常用的补牙材料有三种:
1.纳米树脂——是目前运用最广泛、性价比最高的补牙材料。通过粘接剂粘贴于牙体上,可最大限度地模拟牙齿的颜色和光泽。一般来说,纳米树脂价格在200+一颗,具体根据地区经济水平。如果不故意损坏,能用几十年,真正做到既美观又实用。

2.玻璃离子——最实惠的材料,一般60——70一颗,但是容易被看出来,易脱落。
3.流动树脂——美观,但是不结实,大约200左右一颗。
当然,如果牙齿龋变部分过多,导致大部分牙体组织都缺失了,医生会酌情选择嵌体、高嵌体以及烤瓷冠等方法来解决难题。
四、补牙第四步——"精雕"
由于每个人、每颗牙齿的体积、形态都不一样,因此在补牙材料粘接好后,医生需要像艺术家一样,按照牙齿原本的形态,将填补的材料"雕刻"成与原本牙齿相差无几的形态,哪怕面对一条细小窝沟,都要努力调到最优。一旦填补的部分凸起或是凹陷,就会导致咬合错合,最终影响咀嚼,磨损牙体。所以,这一步非常考验医生的耐心与负责程度。

以上,就是补牙的基本步骤。根据龋病的不同程度,医生会给患者制定不同的治疗计划,因此出现蛀牙情况,请及时去正规口腔诊所进行治疗!但有一点需要强调:补牙不是万能的,补好的牙齿也要好好爱护,少用受损部位啃食硬物,勤刷牙、勤刷口,保持口腔卫生,才是最好的护牙方法!
PS:如果您觉得本文对您有帮助,欢迎关注、评论,为您和家人的口腔健康之路扫雷。