#脑血管造影# #脑出血#
在医院里见多了人情冷暖,孰是孰非,并没有定论,每个家庭都有各自的难处。
医生治病,不能只想着给病人最好的治疗方案治病,有时也要看患者家属的脸色行事。
绝大部分父母为孩子看病,可以砸锅卖铁,但是父母生病了,有一部分子女可能并不想给父母多花一分钱。
李老太,曾经因为小脑出血过一次,在医院给予治疗。期间,检查出脑动脉瘤,因为此次脑出血量比较少,就没有做治疗。

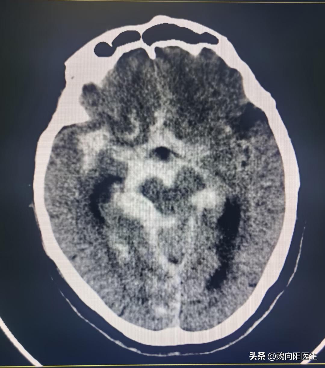
蛛网膜下腔出血
昨天,脑动脉瘤爆了,炸的脑袋里满是血,这次可没有那么幸运了,直接昏迷了。这下两个儿子急了,把老太送进了医院。
但是,依然没有认识到疾病的严重性。
蛛网膜下腔出血,此时老太已经处于昏迷状态,属于Hut-hess分级4级,死亡率30-50%,况且老太年龄已经78岁了,属于高龄患者。
且昏迷后,由于脑出血刺激,导致胃溃疡,胃出血不止,后期可能会存在脑动脉瘤再次破裂风险。

脑动脉瘤
脑动脉瘤是指:脑血管血管壁薄弱、血流压力高、血液流速快,导致动脉壁局部向外突出,形成的血包,如果不处理,在一定压力之下,血包会破裂,导致血管内血液喷涌而出,导致大脑浸泡在血水当中。
但是,当了解到,如果要堵住这个动脉瘤,可能需要额外多掏5万块,两个儿子犹豫了,你瞅瞅我,我看看你。
私语了大约半小时,终于统一意见了,拒绝手术,保守治疗,血管如果再次破了,那只能是认命了。

有时候你的命并不掌握在自己手里面,可能也不掌握在医生手里,而是自己的最最亲的人。
温馨提示:蛛网膜下腔出血属于出血性脑卒中的一种,是一种严重危及生命的疾病,90%以上的蛛网膜下腔出血是由于颅内动脉瘤破裂所导致。对于自发性蛛网膜下腔出血患者,一定要检查脑动脉,脑血管造影是脑动脉检查的金标准。
(此处已添加医疗卡片,请到*今条头日**客户端查看)