牙结石还分种类?
牙结石有两种:牙龈上结石和牙龈下结石。
牙龈上结石是可以通过肉眼就可以看到的,一般覆盖在牙缝、牙背和牙根部。而龈下结石通过肉眼是看不见的,是由于牙结石累积过多而侵入到我们的牙龈下方,一般会伴有牙龈出血的情况。

牙结石是怎么形成的?
牙结石的形成是一个日积月累的过程,通过牙菌斑慢慢沉积钙化,牙菌斑钙化以后就形成牙结石,正常刷牙无法清理干净的,牙结石在口腔表面是凹凸不平的,会吸附大量的细菌菌斑,造成牙齿龋坏或者牙周炎等。牙石的沉积速度存在个体差异,有的牙齿沉积非常快,有些不容易形成。

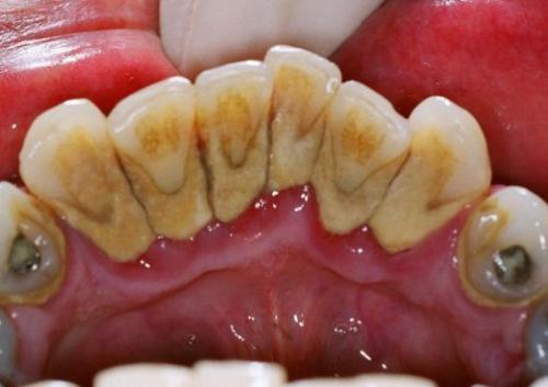
如何判断自己是否有牙结石?
牙结石初期呈黄色或淡黄色,时间一长就会呈现出褐色甚至是黑色。在刷牙时,可以观察牙龈上接近牙根的部位是否有明显的一层厚厚的污垢,如果有,那就是牙结石。
还有一种肉眼看不到的牙结石,它藏匿在牙龈之下。但如果你发现自己刷牙会出血,平常咬食物会出血,且又不是由于其他已确诊的口腔问题,那么多半是有牙结石了。

牙结石的形成时间?
牙结石形成的速度、形态和硬度因人而异,一般来说新生的牙结石需要十二至十五小时。
快速形成的牙结石要比慢慢形成的牙结石要软且碎。所有刚形成的牙结石都是软软的,经过一段时间的钙化就会慢慢的变硬。因此在牙结石形成之初,使用口腔清洁法或刷牙法,都很容易清除牙结石,等到钙化之后就不易清除了。

牙结石的危害?
牙结石环绕着整个牙齿,对牙龈和下方的牙槽骨,都是一种压迫和刺激。这种压迫和刺激,会导致牙槽骨的吸收。
牙槽骨的吸收就像水土流失一样,一颗牙齿在牙槽骨里面,就像一棵树在土壤里面一样;水土流失了,牙槽骨吸收了,慢性牙周炎发生了,那这棵树慢慢的就松了。而且这种伤害是不可逆性的,是无声的。

同时,牙结石还会吸附大量的细菌和病毒。这些细菌病毒和毒素,会导致牙龈红肿出血。
而且,因为牙结石在牙缝中塞住,会给患者造成一种牙齿的错觉。这也是为什么有的人洗牙后,会觉得牙缝变大了的原因。
牙结石的处理和预防
牙结石的处理需要通过超声波洗牙才能清除,而牙龈下的牙结石需要做龈下刮治的方式。

刷牙是预防牙结石形成的一种简便而又行之有效的方法。牙结石的沉积是由少到多,逐渐形成的。经常刷牙可将刚刚开始沉积于牙面的牙垢、牙结石及时刷掉。所以应该坚持刷牙。
另外由于精细食物黏性重糖分高,极易沉积于牙面,因此,应少吃精细食品,或吃后必须刷牙漱口。特别是睡前吃诸如饼干、蛋糕等精细食品,不仅容易形成牙结石,而且还会造成龋齿。所以平时一定要养成刷牙和保持口腔卫生的良好习惯。
往期推荐:
在牙科医院呆久了,觉得最可怕的还是牙周病!
作为一个牙科医生,我必须要告诉所有人一个牙齿真相!
牙冠怎么选?不纠结,直接告诉你答案!
四个成年人里,就有三个牙龈出血!
一位良心牙医的14条牙齿忠告!
良心科普 | 种植牙为什么会有不同的价格?该如何选择?
根管治疗后,牙齿到底还能用多久?