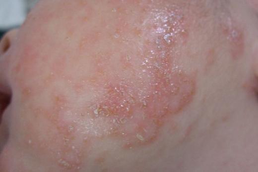
湿疹,一听到这个词,大部分人并不陌生。湿疹并不是罕见的疾病,生活中导致湿疹发作的原因也不少,由于每个人的身体素质都存在一定的差异,所以导致的病因和治疗的方式也是不一样的。同时,在治疗湿疹期间需要避免“踩坑”。湿疹的禁忌都有什么呢?这些坑千万别踩!

1、不可以盲目使用药物
导致湿疹的产生,很大的原因是因为时候生活中的不良习惯。虽然湿疹并不算严重的疾病,但是治疗的时间也是比较长的,而且稍不注意很容易就会复发。

患者需要积极配合治疗,但不可以因为急于治疗就擅自在患处涂抹高浓度的药物,其实这种盲目的使用药物方式,往往会加剧疾病状况,大大的增加治疗的难度,对于患者自己的皮肤伤害会更大,因此盲目用药是属于湿疹的禁忌之一。
2、不可以用热水烫洗
因为有些湿疹主要是由于病菌的感染所引起的,所以患者就会想要用热水来杀死病菌,其实这种方式是错误的,会严重导致湿疹的症状加剧。

由于大部分的湿疹会表现为不同程度的红肿,丘疹,水疱等,若是用热水烫洗的话,会由于热水的浸泡,从而引起水疱和红肿的现象严重。患有湿疹只可以用温水淋浴,还要注意不可以用力擦洗,以免刺激湿疹。
看了上面的相关介绍和分析,相信大家都明白了湿疹的禁忌都有什么呢?除了上面说到的以外,湿疹的禁忌还是有比较多的,例如一定不可以用手去进行抓挠,因为越抓会越痒,越痒就越抓,形成一种恶性的循环,导致治愈几率降低。