头痛、头晕,这对于金阿姨而言,其实已经是“家常便饭”了。“从28岁开始,就经常头痛头晕。”金阿姨今年67岁,依然时常被头痛头晕“纠缠”。症状较轻的时候休息一下就能缓解,严重的时候可能要吃药,甚至打针才能控制。
“这些年也看了不少医生,但也没哪个医生具体说出了是什么原因。”由于一直查不出病因,到后来,金阿姨再没有因为头痛头晕而看医生。前段时间,没想到却查出脑膜瘤,而且瘤子足有鸡蛋大小。

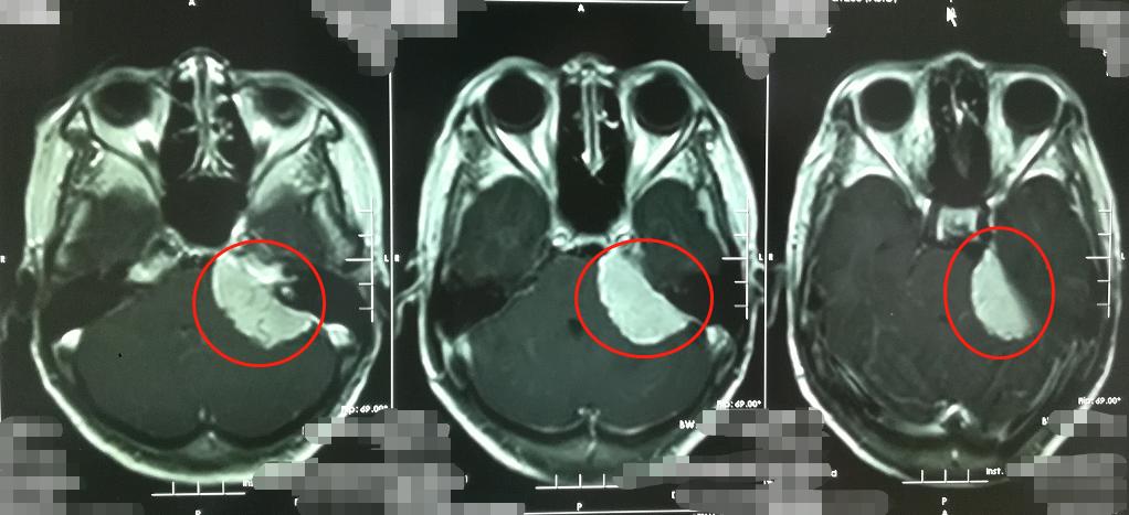
今年7月,金阿姨的丈夫梁大叔因为骨关节钙化在当地医院手术。金阿姨在医院照顾梁大叔的时候,头痛头晕再次发作。当时想着就在医院,做检查也比较方便。在丈夫的多番催促以及医生的建议之下,金阿姨才在医院检查了脑袋。结果查出左侧桥小脑角区占位,医生怀疑是脑肿瘤。

一听到是脑肿瘤,金阿姨这个人都不好了。梁大叔出院后,立即陪同金阿姨来到广东三九脑科医院。
我院接诊的副院长、神经外五科主任鲁明仔细询问患者的症状,结合影像检查,判断为脑膜瘤的可能性较大,大小约为4cmX3cm。

很快,金阿姨接受了肿瘤切除手术。术后病理诊断为良性脑膜瘤,证实了鲁明的术前诊断。

什么是脑膜瘤?
鲁明介绍,脑膜瘤是一种起源于蛛网膜帽状细胞的脑肿瘤,病因尚不十分明确。“脑膜瘤是很常见的颅内肿瘤,特别是在中老年女性患者中更为常见。”
大多数脑膜瘤属于良性肿瘤,生长慢、病程长。因为肿瘤呈膨胀性生长,患者往往以头痛和癫痫为首发症状。并且根据肿瘤生长位置不同,还可能出现视力、嗅觉或视觉障碍及肢体运动障碍等症状。鲁明猜测,患者有头痛头晕病史多年,所以可能在肿瘤刚开始出现症状时,并未引起重视。
谈及脑瘤,很多人仍觉得“如临大敌”,为此,鲁明特别强调,很多脑肿瘤只要早发现、早治疗,预后良好。“良性脑膜瘤手术切除后,预后良好。”