日前,正兴医院介入科与妇产科通力协作,成功用介入方式治疗救治一名产后大出血的患者,既挽救患者生命,又保住了患者子宫。
患者周女士,因 “完全性前置胎盘伴出血、瘢痕子宫、地中海贫血”的情况,妇产团队为患者进行了“ 子宫下段剖宫产术+双侧输卵管结扎术+双侧子宫动脉结扎术+宫腔水囊放置术 ”的手术后,她仍有活动性出血,患者已出现出血性休克,血色素降至71g/L,妇产科果断决定联合介入科紧急行止血治疗,介入科为患者进行了 髂内动脉栓塞术 ,术后撤出水囊压迫后未在出现活动性出血,子宫也顺利保留,患者在第2天便可正常下地行走。




△患者特意送来锦旗感谢妇产科和介入科医护人员
人体血容量约为4000~5000ml,大出血指出血量超过人体血容量20%或>1000ml,这是比较危险且临床较为常见的疾病。

1
有哪些常见的大出血疾病?
○大咯血:大咯血的病因以肺结核、支气管扩张、支气管肺癌、慢性肺部炎症和肺脓肿多见,最常见的出血来源是支气管动脉,一旦受累支气管动脉分支破裂,即可发生咯血,乃至大咯血。
○消化道大出血:消化道出血是临床常见的急症之一,包括溃疡性出血、肿瘤性出血、医源性出血,主要表现为为呕血、黑便或血便,占医院急诊的1%,其致死率高达10%。
○妇产科大出血:产后出血、疤痕子宫、人(药)流 后、肿瘤出血。
○盆腔大出血:盆腔大出血常见于骨盆外伤、盆腔内肿瘤(包括膀胱、直肠)侵蚀血管、盆腔手术后、肿瘤放疗后和其它医源性因素,盆腔大出血的出血量很大,往往导致短时间内病情迅速恶化。

大出血来势汹汹,短时间内往往难以用药物进行控制,外科手术也无法迅速寻得出血点施行手术治疗,或者又常常因病人已发生失血性休克或出血原因不明而难以实施手术。
在这种情况下,介入治疗是最佳选择。

2
介入治疗的优势
√首先,数字减影血管造影作为血管性病变诊断的金标准,可快速、准确的明确出血部位;
√接着,针对出血靶血管的栓塞治疗可以立即封堵出血点,立竿见影的达到止血目的。
√同时,因介入栓塞术仅在局麻下进行,不开刀,伤口微小、恢复快一般病人都能够接受。
介入治疗并列与外科治疗和内科治疗之间,在皮肤上作直径几毫米的微小通道,或通过人体原有的腔道和血管,在影像设备的引导下对病灶局部进行治疗的创伤最小的方法。
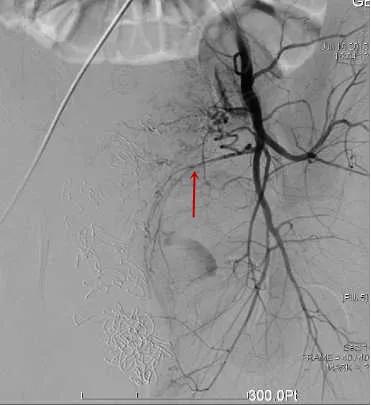
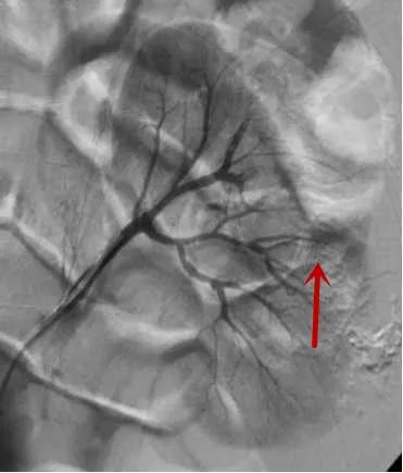
产后出血介入止血治疗



△造影找到出血动脉/找到出血责任动脉/精准栓塞后出血动脉已闭塞
肝癌破裂出血介入止血


△肝内肿瘤破裂出血/栓塞后造影示肿瘤出血已止住
大咯血介入治疗


△术中见肝内血管片破裂出血/栓塞后肝出血动脉已闭塞
肾碎石后尿血介入治疗



△找到出血动脉/进行栓塞止血/再次造影明确出血已止住


正兴医院介入科是集诊断,治疗及科研为一体的综合性诊疗科室,学科与内科、外科学并驾齐驱的第三大临床学科,设有独立的门诊,病房及手术室,开展的治疗技术项目和治疗水平处于临床先进水平。
科 / 室 / 信 / 息
科室位置:门诊2楼介入科诊室;住院部10楼住院病房;
咨询电话:0596- 2515047
出诊时间:周一至周六 08:00-12:00 14:30-17:30
网络预约:关注“漳州正兴医院”公众号,手机预约更方便
来源:漳州正兴医院