近几年,肿瘤治疗的新突破新进展让我们应接不暇,各类抗肿瘤药物,技术的上市速度呈井喷状态。
近日,我们刚刚报道了FDA批准肿瘤浸润淋巴细胞(TIL)治疗方*L法**N-145为突破性的治疗指定的好消息,这是用于实体瘤的细胞免疫疗法首次获此殊荣。

今日,Iovance Biotherapeutics公司就公布了与FDA进行讨论之后的重大喜讯:FDA认为正在进行的单臂2期临床试验innovaTIL-04的研究结果可以支持LN-145治疗晚期宫颈癌的监管申请。这一反馈让Iovance公司可能在明年的下半年为LN-145递交生物制剂许可申请(BLA),加快其上市的进程,一旦FDA批准,这将是首款用于实体瘤的细胞免疫疗法,将给癌症患者带来巨大的生存获益。
LN-145究竟是一种什么样的疗法?

说到LN-145大家可能都比较陌生,但是对免疫疗法关注的病友应该都听说过大名鼎鼎的自体肿瘤浸润淋巴细胞(TIL)疗法。
在癌症的早期阶段,免疫系统试图通过动员淋巴细胞的特殊免疫细胞来攻击肿瘤。淋巴细胞具有识别和攻击肿瘤流量的能力,并深入肿瘤。这些细胞被称为肿瘤浸润淋巴细胞(TIL),是由免疫界泰斗Rosenberg及其团队发现的。
而LN-145就是由Iovance公司研发的基于自体肿瘤浸润淋巴细胞(TIL)的疗法,这是一种基于T细胞的过继性细胞疗法(ACT)。此外过继性细胞疗法还有大家知道的用T细胞受体(TCR)或基因工程改造表达嵌合抗原受体(CAR)的自体T细胞,回输到患者体内以诱导自身免疫的抗肿瘤作用。
Iovance的创新细胞疗法是基于患者自身的TIL。这些TIL在癌症发生时会迁移到肿瘤处并且对肿瘤发起攻击。然而,通常患者体内的TIL数目不足以消灭肿瘤,而且肿瘤微环境会抑制TIL的功能。Iovance的T细胞癌症免疫疗法从患者体内获取肿瘤组织并且提取TIL,然后在体外使用IL-2细胞因子刺激TIL的扩增。这一体外刺激手段不但增加了TIL的数量,而且激活TIL的抗肿瘤能力。然后这些TIL被注回患者体内,更有效地*伤杀**肿瘤细胞。

▲LN-145 TIL疗法机理(图片来源:Iovance Biotherapeutics公司官网)
LN-145的临床效果如何?
近期在ASCO公布的初步试验结果表明,在2019年2月4日的数据截止时,在27名复发、转移性或持久性宫颈癌患者中,LN-145疗法达到44%的客观缓解率和11%的完全缓解率。这些患者平均接受过2.4种前期疗法。值得指出的是,在中位随访期为7.4个月时,10名患者的症状得到持续缓解,中位响应持续时间还未达到。
- 44%(12名)的患者有效果,包括1名完全应答,9名部分应答和2个未确认的部分应答;
- 疾病控制率为89%;
- 中位随访时间为3.5个月,12例患者中有11例持续应答;
- 没有任何严重的副作用发生。
值得振奋的是,基于此临床试验的惊艳数据,FDA批准LN-145用于晚期宫颈癌突破性治疗,并加速其上市审批。因为,在化疗期间或之后进展的宫颈癌患者的治疗选择有限,之前报道的晚期宫颈癌化疗或免疫治疗二线治疗的应答率仅在4%-14%之间。而这款新型的非常安全的细胞免疫疗法为晚期宫颈癌患者带来了44%的应答率,并且在一些患者中表现出持久的应答效果,研究人员表示这种治疗方式可以实现长期疾病控制的希望。希望这款疗法能尽快获批上市。
还对哪些肿瘤有效?
基于自体肿瘤浸润淋巴细胞(TIL)的疗法适用于多种实体肿瘤,目前Iovance这家公司研发出两款产品:针对黑色素瘤的LN-144和针对其他实体肿瘤的LN-145。
目前正在进行的临床试验有黑色素瘤,卵巢癌,宫颈癌,头颈鳞状细胞癌,非小细胞肺癌。

01黑色素瘤
高度突变的黑素瘤肿瘤是免疫治疗的最佳目标。C-144-01是一项2期临床试验,招募已被诊断患有IIIc期或IV期转移性黑色素瘤的患者。患者必须接受至少一次全身治疗,包括免疫检查点*制剂抑**,如果BRAF突变阳性,则必须接BRAF*制剂抑**。
该临床试验旨在确定TIL治疗疗*L法**N-144是否安全有效地治疗转移性黑色素瘤(帮助患者延长寿命和/或减缓癌症进展)。
在最新报道的66例晚期黑色素瘤患者的试验中,结果显示肿瘤体积减少了81%,包括2例完全缓解,23例部分缓解和28例病情稳定。更引人注目的是,患有PD-L1阴性的患者也有响应,这说明对免疫检查点*制剂抑**无效的患者仍能获益于TIL疗法。

02头颈鳞状细胞癌
C-145-03是2期临床试验,招募患有复发性和/或转移性HNSCC的患者,其已接受至少一种先前的全身免疫疗法和/或化学治疗的治疗。
初步数据显示,试验中的8名患者中有3名患者的肿瘤大小减少了30%。
03实体肿瘤
IOV-COM-202是一项2期临床试验,招募已被诊断为组织学证实的不可切除或转移性黑色素瘤(队列1),头颈部复发或转移性鳞状细胞癌(队列2),或复发或转移的患者非小细胞肺癌(队列3)。
临床试验旨在确定Iovance研究性TIL治疗(LN-144 / LN-145)是否安全有效地治疗不可切除/转移性黑色素瘤,复发/转移性HNSCC和NSCLC(帮助患者活得更长和/或更慢降低癌症进展),暂未公布临床结果。
TIL肿瘤细胞免疫治疗技术三大优势

治疗流程

- 新鲜肿瘤组织通过手术从患者体内分离。
- 肿瘤样本被运送到GMP设施,在那里TIL被分离并繁殖,在三周内产生数十亿TIL。
- 患者开始一周的预处理治疗以准备接受TIL.TIL产品作为一次性疗法施用,
- 患者在TIL输注后立即接受多达6剂白细胞介素2(IL-2),来支持患者体内TIL的生长和激活。
首先会确定患者病例*特中**定的突变,之后利用突变信息找到能够最有效瞄准这些突变的T细胞,最后提取出专门患者肿瘤中细胞突变的T细胞。
这些免疫细胞经过体外培养后,重新注入到患者体内。同时,研究发现联合使用了免疫增强药物白细胞介素2和另一种“明星抗癌药”PD-1*制剂抑**Keytruda,Keytruda即属于另一种免疫疗法免疫检查点阻断,在某些癌症中有显著的效果。基于上述操作过程,该新疗法被认为是为患者“量身定制”。

该研究的治疗流程(图片来源:《Nature Medicine》)
如何接受TIL治疗?
目前,这款新型的免疫疗法暂未上市,但在全球范围内开展了多项针对各类实体肿瘤(非小细胞肺癌,结直肠癌,卵巢癌,黑色素瘤...)的临床试验,想参加的患者可以致电全球肿瘤医生网医学部咨询入组信息(400-666-7998)。
最后,要告诉大家的好消息是,这款疗法最快将于明年下半年上市,一旦FDA批准,这将是首款用于实体瘤的细胞免疫疗法,将给癌症患者带来巨大的生存获益,让我们拭目以待。疾病控制率89%!首个迎战实体瘤的细胞免疫疗法获FDA突破性疗法称号!
免疫肿瘤学的潜力刚刚开始实现。揭开更多的冰山将会更加详细地了解如何控制免疫反应,以及将将这些治疗手段用于临床获得益处。每天我们能看到更多的进展,我们相信这种治疗方法将在未来几年取得重大突破,让我们共同期待。
案例分享
1宫颈癌
在美国国立卫生研究院(NIH)领导的研究中,TIL治疗产生持久的反应,包括转移性宫颈癌的完全消退!
一名患有转移性鳞状细胞癌并接受了多种联合化疗方案,包括顺铂,长春新碱和博来霉素,然后用吉西他滨加顺铂联合放疗。随后发现转移,包括主动脉旁,双侧肺门,颅下和髂骨部位(图1A和1C)。治疗后,她在所有疾病部位都完全消退(图1A和1C)。
另一患者患有转移性腺癌。她的原发性肿瘤对化放疗无效。随后转移到更多的腹膜后淋巴结和肝脏表面,在TIL治疗前,她在腹膜后,腹壁,旁系,肝旁和盆腔部位有肿瘤进展(图1B和1d)。在治疗后,出现完全的临床缓解(图1B和1d)。

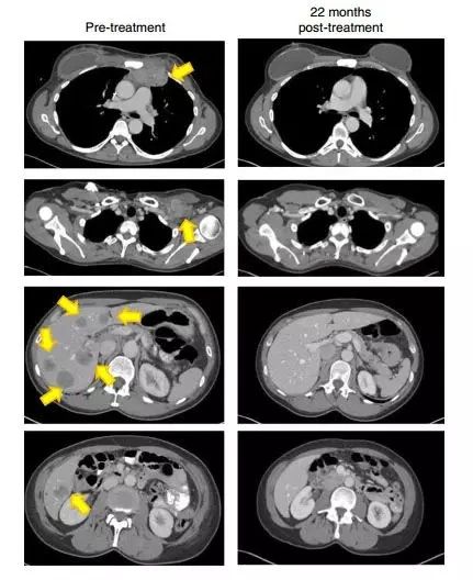
2乳腺癌
《自然医学》在线发表的研究:一位乳腺癌晚期患者已对其他治疗无反应,经过TIL免疫治疗后病灶竟奇迹般完全消除了,这是T细胞免疫疗法首次成功应用于晚期乳腺癌。奇迹!卓越的新型免疫疗法将晚期癌症患者的病灶全部清除!

22个月后,这名患者的肿瘤(黄色箭头)消失得无影无踪(图片来源:《Nature Medicine》)
3结直肠癌
转移性结直肠癌患者肿瘤患者经过TIL细胞疗法治疗后,7个肺部的转移灶在几周后都变小乃至消失!

4胆管癌
晚期胆管癌肝转移的患者,术后出现双肺多发转移,经过TIL细胞疗法治疗后已经被临床治愈了!

相关阅读:
揭秘|日本的细胞免疫治疗有哪些先进之处?
提高自身免疫击杀癌细胞的细胞免疫疗法,这五类患者应该尝试!
关于细胞免疫治疗,癌症患者需要了解的十大问题!
日本新一代融合细胞疗法横空出世,精准*击狙**癌细胞!
基于树突细胞的癌症免疫治疗手册(患者版)
参考资料:
https://www.nature.com/articles/s41591-018-0040-8
https://www.cancer.gov/news-events/press-releases/2018/immunotherapy-targets-breast-cancer-case-report
https://www.iovance.com/clinical/immunotherapy-for-solid-tumors/
https://www.onclive.com/web-exclusives/fda-grants-ln145-breakthrough-designation-for-cervical-cancer
https://www.iovance.com/clinical/c-144-01-metastatic-melanoma/