患者女,33岁,左下肢疼痛不适伴轻度跛行3月余
当地医院保守治疗无效,到中信中心院寻求微创手术治疗
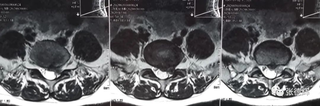
影像检查提示:腰5-骶1椎间盘左后突出,神经根受压(腋下型突出)

腰椎正侧位X光片未见骨结构异常



腰椎核磁共振检查,矢状位片提示腰5-骶1椎间盘突出,横断位片可见突出物位于神经根腋下
年轻患者,临床症状典型,保守无效,从治疗梯次上讲,脊柱内镜微创手术是最合适的选择
我们为患者实施了局部麻醉下的后路脊柱内镜微创手术,40分钟后手术顺利结束。
以下为术中镜下视频,基本完整重现了脊柱内镜镜下操作的关键步骤
视频加载中...
摘除的突出物——纤维环及髓核组织

小到7mm的皮肤切口

视频加载中...
术后一周患者发给我们的走路步态视频:左下肢无明显的疼痛麻木症状,步态稳定。患者基本恢复正常的生活,建议宽腰围保护3-4周。
转发代表欣赏——造福病家,善莫大焉
赞赏代表支持——激励作者,奋勇前行