男性,25岁
主诉:头疼进行性加重2个月
入院行CT及MRI检查
临床诊断:颅内占位性病变

影像检查结果
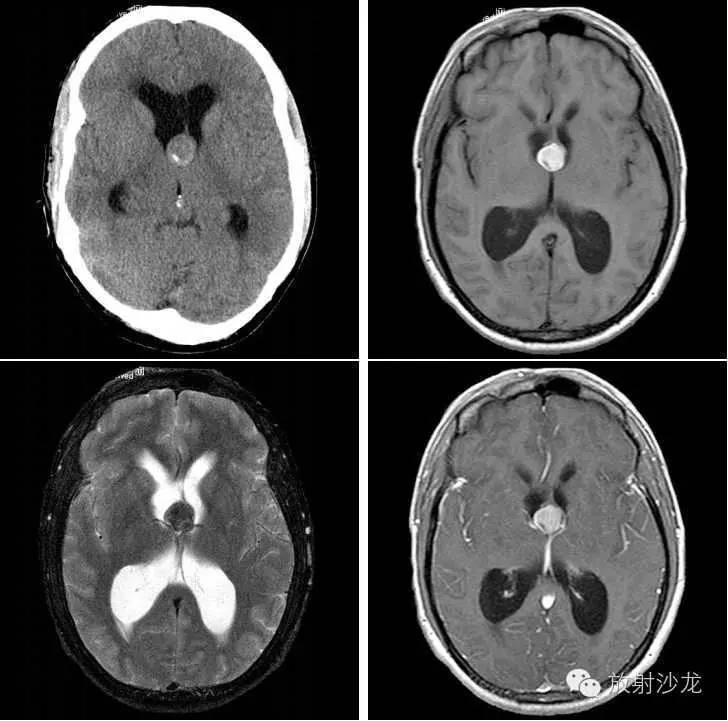
CT:第三脑室前方见一圆形稍高密度影,右后方可见钙化,边缘清晰,双侧侧脑室扩张。
MRI:第三脑室前方靠近孟氏孔区见一类圆形异常信号,T1WI呈高信号,T2WI呈低信号,增强扫描未见明显强化;双侧脑室扩张,中线结构居中。
讨论
胶样囊肿又称为线粒体囊肿、室间孔囊肿或脑上旁体囊肿,起源于神经上皮组织,是一种罕见的颅内病变,本病占颅内肿瘤的0.14%~2%。
RusseII和Rubincein报道占尸体证实颅内肿瘤中的2%。男性为女性的两倍。
胶样囊肿一般在第三脑室前部,个别长于侧脑室、脑外、鞍区、透明隔。一般认为是在形成第三脑室室管膜、脉络丛、脑上旁突体过程中,由原始神经上皮变异而成的。
病理
胶样囊肿呈球形或卵圆形,0.3~4.0cm大小,光滑、囊壁薄而完整,内容物呈黄色或灰白色的致密黏液胶冻样物,是囊壁室管膜柱状细胞分泌的黏稠液体;内含有浓稠的高蛋白成分,同时含有大量的其他成分,如陈旧出血、含铁血黄素、胆固醇结晶以及顺磁性物质钠、钙、镁、铁、铜、磷、铝等;也可为肉芽中心,部分可有钙化与出血。囊肿较大者可间歇性或持久性地阻塞室间孔,引起脑积水。
临床表现
临床表现取决于囊肿大小及脑室阻塞的程度。
小的囊肿可终生无症状,仅在尸检中偶然发现。囊肿多位于第三脑室前上方,靠近室间孔后方,且多附着于该处室管膜或脉络丛上,因囊肿常引起室间孔阻塞,导致阻塞性脑积水及颅内压升高,故多以头痛、呕吐为主要症状。
CT表现
1、平扫囊肿呈圆形或卵圆形,边缘锐利,位于三脑室前部盂氏孔附近,
2、2/3病灶呈均质高密度(45-75 Hu)周围脑实质包绕,1/3为等密度影周围脑实质包绕,极少数囊肿中心呈低密度。
3、CT扫描呈高密度可能是由于囊肿壁屑状分泌物、含铁血黄素及CT上看不到的微小钙化。
4、增强后囊肿偶尔病灶有薄边缘强化,但典型的是无强化及无钙化。
MRI表现
1、第三脑室前部圆形或卵圆形肿物,T1WI呈高信号,T2WI也呈高信号;
2、部分胶样囊肿在T1WI上呈等信号,在T2WI呈低信号伴等信号囊壁;
3、囊肿内可见无信号钙化斑;
4、梗阻性脑积水,双侧侧脑室扩大,第三脑室缩小或显示不清;
5、增强后囊肿可见不同程度的强化。
鉴别诊断
1、中枢神经细胞瘤:来源于透明隔,与透明中隔以宽基底相连,CT平扫呈稍高密度肿块,可不均匀,形态不规则,增强后可显著强化,MRI上T2、T1等或高信号。
2、室管膜瘤:CT表现特点为形态不规则,密度不均匀,伴有肿瘤内囊变和钙化,增强呈不同程度强化。MRI表现与CT类似,信号不均匀,不同程度强化。
3、垂体微腺瘤:当胶样囊肿<10mm 并位于鞍内时,T1WI呈低信号者应与垂体微腺瘤相区别,前者的边缘更光滑锐利,信号更低。如果小的囊肿在T1WI呈高信号,则更提示为胶样囊肿。
4、脊索瘤发生于鞍区斜坡处,密度不均匀,有明显颅底骨质破坏。
5、Willis环附近动脉瘤CT呈等或高密度,增强后与血管强化一致,MRI可见流空效应。
小编是靠点赞和分享吃饭哒~

欢迎投稿:2519330936@qq.com
版权申明【本微信所有转载文章系出于传递更多信息之目的,且明确注明来源和作者,不希望被转载的媒体或个人可与我们联系,我们将立即进行删除处理】
(扫描二维或添加微信号:fsslong小编带你入群听讲座)
点击“阅读原文”*载下**【放射沙龙APP】有更好的资料等着你~~