出品:科普中国
制作:微生物调查局 Turboyouyou
监制:中国科学院计算机网络信息中心
今天是第24个“世界防治结核病日”,今年的主题是“开展终结结核行动,共建共享健康中国”。
说起结核病,它可有悠久的历史,毕竟古埃及金字塔的木乃伊都能查到感染结核病的痕迹。而且,它的发现还颇有点浪漫色彩。诗人拜伦说过,“如果要死,希望死于结核病。”被这种“文艺范儿”病菌寄居的男人,既有写过“冬天来了,春天还会远吗?”的浪漫诗人雪莱,也有奋笔挥出“横眉冷对千夫指”铿锵作家鲁迅;而被寄居的女人,则有被称为“人间四月天”的林徽因。这个名单从古至今还可以很长:肖邦、契诃夫、卡夫卡、席勒、济慈、劳伦斯、奥威尔、约翰·哈佛、萧红、李嘉诚、俞敏洪……
古今中外文学著作也充满了对结核病的描述,例如鲁迅《药》中描写过的华小栓,曹雪芹《红楼梦》中娇弱的林妹妹,小仲马《茶花女》中的玛格丽特等。因此,大家不得不感谢抗生素这一伟大发明,它使得这个世界上绝大多数的细菌性传染病不再会威胁到人类生命的存在。

《红楼梦》里的林妹妹患有结核病(图片来源:87版红楼梦)
结核病:从古至今一直在流行
结核病是由结核分枝杆菌引起的一种慢性传染病,结核分枝杆菌细长、略弯曲呈杆状。结核菌生命力顽强,具有抗酸性,对干燥有很强的抵抗力,躲藏于干燥痰内的结核杆菌可以存活6-8个月。不过,它对湿热敏感,对紫外线敏感,直接日光照射数小时即可被杀死,因此紫外线可用于结核患者衣服、书籍等的消毒。它对常用医用消毒酒精(75%乙醇)也非常敏感,数分钟细菌就会死亡。

△结核分枝杆菌图。(图片来自:http://www.medi-learn.de/blogs/tagebuch-anatomie-praepkurs/?p=579)
结核病最主要的传播方式是通过人与人之间的飞沫传播。当患有肺结核的人咳嗽、打喷嚏或吐痰时,就会把结核细菌带到空气中。健康的人只需吸入少数结核细菌就会被感染。而除了头发和指甲,身体其他任何部位,如淋巴结、骨骼、皮肤等都可以被结核分枝杆菌侵犯,但最常侵犯的部位是肺部,所以它也被称之为肺结核。
结核病的形成过程
当结核杆菌第一次进入免疫力正常的人的肺部时,我们的免疫系统会很快调动肺泡巨噬细胞把它们吃掉,这些巨噬细胞会集中在结核杆菌聚集的地方,在吞噬同时引起局部炎症反应,导致浆液渗出或纤维浆液渗出。
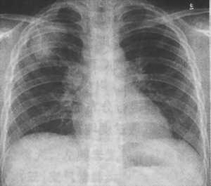
同时,结核杆菌还会沿着淋巴管通向靠近肺门的淋巴结,导致淋巴结肿大,这又叫原发性肺结核。临床上主要表现为咳嗽、周身不适、倦怠、午后低热、盗汗、体重减轻等症状。如果上述症状持续时间较长而没有特殊原因者,可能为肺结核早期症状,其胸片特异表现为“哑铃征”。

△原发性肺结核“哑铃”状胸片,箭头所指为结核初发病灶(图片来源:life.yxlady.com)
初次感染后的患者大部分可以自愈,不表现临床症状,自愈后结核杆菌被消灭,原发病灶钙化或者纤维化。少部分菌体会变成休眠状态,藏在肺部的原发灶里长期潜伏,不断刺激机体抗结核免疫力,也可作为以后的内源性感染源。
当再次感染结核分枝杆菌或者因机体免疫力低下发病时,由于第一次的入侵让我们的身体产生免疫记忆,当第二次再入侵时,免疫系统会针对结核杆菌的感染部位发动猛烈的攻击,导致局部出现严重的水肿渗出,坏死,包裹机化。

△结核病症状(图片来源:http://wjw.beijing.gov.cn/xwzx/jcdt/201806/t20180627_243096.htm)
不过,由于结核杆菌在这种攻击下也会很快被消灭或限制,所以病变多局限,不易扩散。这时,患者主要表现为继发性肺结核,根据患者免疫力情况及感染结核菌的数量和毒力强弱,所导致的肺部病变和临床预后均不相同。结核病的典型临床表现:午后潮热、面颊潮红、体温升高,盗汗,咯血,咳嗽咳痰,胸痛等情况,深呼吸或者咳嗽时胸痛加剧。随着肺部病变的严重程度升高,这些临床症状会加重。
根据世界卫生组织(WHO)的数据,现在世界上约有三分之一的人口感染结核杆菌,但在没有任何症状的人群中(称为潜伏性感染),只有很小一部分人(10%)可能会患上结核病,并发展为活动性疾病,成为传播细菌的载体,尤其是免疫系统较弱的人患结核病的风险更高。
尽管近几年,结核发病率在以每年2%的速度缓慢下降,但在2016年,全球仍有1040万例新发病例,170万致死。所以在大多数人,包括笔者的观念中,得益于卡介苗的接种和抗生素的发明使用,认为结核病已被消灭或者不是什么严重的传染病的观点并不正确。

△WHO发布的全球结核病报告中公布的2016年全球结核病的发病情况(图片来自WHO 2017全球结核病报告)
在我国,结核病被定为乙类传染病。比它厉害的甲类传染病只有两种:鼠疫和霍乱。当年肆虐的SARS(严重急性呼吸综合征)和现在全世界横行的艾滋病(AIDS)都是和结核病一样的乙类传染病。
但其实结核杆菌并不如我们想象的,具有那么强的传播能力,它必须被包在直径小于5微米的飞沫中、同时直接进入正常人的肺泡,躲过人体呼吸道纤毛防御机制,与肺泡巨噬细胞接触,才可能达到感染效果。也就是说,只有传染性肺结核患者在咳嗽、打喷嚏、说话及吐痰时,结核菌才有机会被细小的飞沫包着飘浮到空气中。因此,单纯的肺外结核(比如,单纯的肠结核)、非活动性肺结核(潜伏感染期或病灶早已钙化)以及无传染性的活动性肺结核患者(痰培养未发现结核菌),都不具有传染性。
结核病防治疫苗——卡介苗
自1921年卡介苗(BCG)由两位法国科学家发明问世以来,到目前为止,全球有40亿人接种了卡介苗,其中我国就有数十亿人接种。随着卡介苗的普遍接种,结核药物异烟肼、利福平的发现和使用以及卫生状况的改善,结核病的发病率和死亡率大幅度下降。
但遗憾的是,已经有越来越多的研究称,不同国家的卡介苗的保护效果从0%-80%不等,而且卡介苗主要针对不具备传染性的儿童结核病,对成年人的结核病则作用有限。

卡介苗注射(图片来源于视觉中国)
同时由于艾滋病和结核分枝杆菌耐药菌株的出现等因素,结核病发病率在近年又呈现上升趋势,由于HIV会加速人体免疫系统的崩溃,感染HIV的人患结核病的几率比未感染HIV的人会高出20到30倍,因此,结核病是HIV感染者死亡的首要因素。
另外,普通结核病的复苏也为耐药性结核的出现奠定了基础。耐药性的出现主要是由于病人未坚持完成整个服药疗程(药敏性结核病需服药6个月,多药耐药性结核病则需要20个月)。所以结核病仍在全球广泛流行,并成为重大的公共卫生问题和社会问题。
1993年4月23日,世界卫生组织宣布全球结核病进入紧急状态。同时,卡介苗主要有效成分——活的减毒牛型结核杆菌,是目前唯一一种含活细菌的常规接种用疫苗,接种人体后通过引起轻微感染而产生对人型结核杆菌的免疫力,一般90%以上的接种者会在接种局部形成溃疡,最后形成疤痕。除了局部溃疡,卡介苗还会引起淋巴结炎甚至全身播散性感染等严重的致死性不良反应,尤其是对于先天免疫缺陷的婴儿,近些年来也有不少散发婴儿接种卡介苗后死亡的案例。所以在很多发达国家,如美国、日本等,卡介苗并不作为新生儿必须接种疫苗的类型。
但目前来说,并无更为成熟有效的疫苗可以代替卡介苗,而且卡介苗在儿童感染结核杆菌后对预防结核性脑膜炎和散播性结核有75%-86%的效果,所以目前新生儿接种卡介苗仍然是我国防控结核病的措施之一。

接种卡介苗(BCG)后所引发的“疤痕”局部不良反应(来源:百度百科)
结核病的治疗
另外,随着医学的进步,肺结核已没有那么可怕。目前治疗肺结核目前最常用的方法就是联合用药,即用两种或两种以上的药物联用,且疗程一般为6-8个月以上,这样既可以避免或延缓耐药性菌的产生,又能提高杀菌效果。
目前我国对传染性肺结核病人提供免费检查和免费抗结核药物治疗。在合理的用药剂量、科学的用药方法、足够的疗程以及规律的早期用药等联合措施作用下,患者基本能痊愈。但对于多重耐药结核患者,即便处于传染期,我国也无法提供免费的治疗。因为使用新型抗结核药物治疗多重耐药结核,整个治疗可能要花费7-8万人民币,且最终可能也治不好。与之相矛盾的是,感染结核的人群多是低收入阶层,所以如果他们患上多重耐药结核,很可能无力医治,最终只会成为慢性传染源,所以在早期发现时,尽早治疗,按规定坚持服药对于自己和身边的人都具有重要的意义。

△按规定坚持服药对于结核病的治疗具有十分重要的意义(图片来源:http://www.tupian114.com/shiliangtu_740971.html)
生活中遇到结核病患者,如何保护?
那么作为一种三分之一的人口都曾感染过的传染病,在日常生活中,如果我们发现身边有结核病患者或者作为一名结核病患者,我们又该注意些什么或者做些什么保护自己以及身边的人呢?
首先,尽管卡介苗的效果评说不一,但数据表明卡介苗可以有效预防儿童重症结核病的发生,所以对于新生儿来说,卡介苗的接种是有必要的。
其次,房间要经常开窗、通风,尤其是人员密集的场所,比如教室、集体宿舍等。当要进入较高危险场所时,比如医院、结核科门诊,建议佩戴医用防护口罩。
另外,虽结核病是一种传染病,很多人都被感染结核菌,但被感染者一生发生结核病的几率为10%。发病与否与机体的免疫力密切相关,所以,要养成良好的生活作息习惯,做到饮食均衡,劳逸结合,保证足够的睡眠,保持愉悦的心情,增强自身免疫力。
而对于肺结核病人来说,除了在所在地结核病定点医院或结核病防治所接受规范检查和治疗外,还应该注意在传染期时尽量隔离治疗,独居一室,避免去公共场所,尤其是封闭场所。需知身体健康是会跟随自己一生的,在感染期休学或者停工也是对身边的同学或者同事负责。

图片来源:http://www.sohu.com/a/65385574_114359
传染期的患者去公共场所时应主动佩戴口罩,要养成不随地吐痰的卫生习惯,用纸将痰包起来进行焚烧。病人咳嗽、打喷嚏时要用手帕或肘部掩住口鼻,避免直接面对他人,这些小措施都可以减少结核菌的传播。
参考资料:
1. 中国结核病网(中国疾病预防控制中心·结核病预防控制中心)
2. 《台湾结核病防治指南》
3. 中国疾病预防控制中心
4. 世界卫生组织·世界结核日
5. 凤凰网新闻
