在临床上,经常有一些早孕的女性为做阴超(经阴道超声)还是腹部超声犹豫不决,很是纠结。做腹超要憋尿,太早了还看不到孕囊,很紧张,做阴超又担心对宝宝有什么伤害。

早孕期超声检查是重要的产检手段,早孕超声的检查内容主要有三项:
第一,确定是否怀孕。
第二,确定是否是宫内孕。
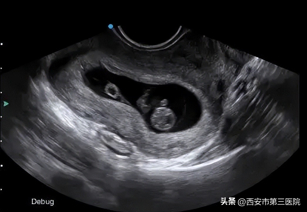
第三,确定是宫内孕后,要看孕囊的发育是否与停经时间相符合,孕囊内有没有卵黄囊、胎芽及胎心。
而如果是宫外孕,则要看宫外孕的位置,宫外孕有没有破裂等问题。还可以对胚胎的生长发育进行分析。
早孕期超声主要有两种方式, 一种是腹部B超,一种是阴道B超。
早孕期完全是可以做阴道超声的,月经正常规律的情况下,一般在停经35天左右做阴超就可以看到孕囊。或者可以通过HCG的值来决定做哪一种超声检查。通常,HCG达1000-2000U/L时,阴道超声就可以看到是否宫内怀孕,这个时候大约是孕5周左右;当HCG达到6000U/L左右时,腹部超声才能看出是否宫内怀孕。
很多人对做阴道超声会有些心理上接受不了,担心会不会很疼,或者对宝宝有没有影响,其实做阴道超声会有轻微的不适感,但是并不会对胎儿的生长发育造成影响,也不会引起腹痛和流血等先兆流产的症状。而且做阴道超声有两个好处: 第一、不用憋尿;第二、阴道超声更准确,检查的全面性也要高于腹超的。
阴超相比腹超来说,阴超会看得更清楚。尤其是看早孕,阴超更合适。阴超相较于腹超来说,可以更早地发现宫内妊娠,能更早的看到胚胎着床位置、孕囊、卵黄囊、胎芽胎心。因为阴道很接近卵巢和子宫,所以可以很清晰的看见子宫和卵巢的情况以及子宫内胚胎发育的发育情况。

如果你还有什么顾虑,那么在做检查之前可以和临床医生或者超声医生进行沟通。一般在临床医生对你检查过,评估了你的情况后,确定阴超不会对你或者宝宝造成影响,才会让你做阴超检查。所以 孕妇不必为做哪种过于纠结。
文:超声 科 李金
图:超声 科 李金
编辑:宣传科 李伟华
审核:宣传科 宫浩翔
部分图片转自网络,版权归原作者所有
如有侵权请及时联系删除