精彩推荐,少量蛛血的CT诊断,满满干货,小板凳搬来!

可能很多放射科的朋友值夜班的时候都遇到过类似情况:晚上突然送过来一个头颅外伤患者,拍了头颅CT片子那儿都是好的,就是大脑镰看着密度好像高一点,但又好像是正常的。诊断结论打个正常吧,心里不踏实;打个蛛血可疑吧,一会又过来一个类似的,还打蛛血可疑?那待会还会有第三个、第四个、、、第n个类似的患者,到底该怎么下诊断?
所以说少量蛛血的CT诊断并没有想象中那么简单。
众所周知,蛛血是无法拿到病理结果的,临床诊断蛛血主要通过腰椎穿刺术进行明确,但少量蛛血往往不需要腰穿,此时只能通过短期CT复查来进行证实,这其中难免有欠妥当的地方。不过通过这些随访病例仍然可以学到很多有用的东西,本文中大部分病例即通过此法证实。虽不能做到尽善尽美,但笔者总是希望这些文章能够对大家有所启发和帮助。


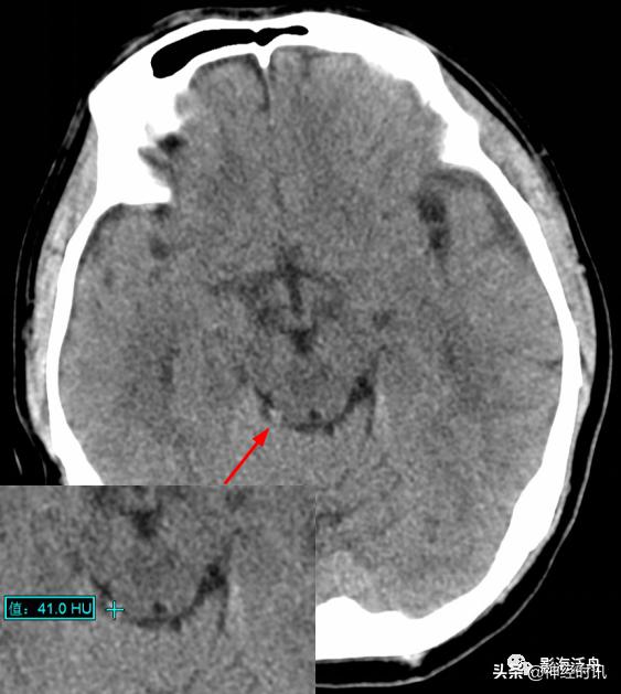
高空坠落伤患者,外伤后不到2h行头颅CT检查,整个片子中只有右侧环池可见斑片状高密度影,CT值57HU,36小时后复查,病灶密度减低,CT值约41HU,本例为少量蛛血的典型病例。
由于脑脊液的流动冲刷作用,蛛网膜下腔少量出血所形成的小血肿远没有脑实质内的血肿稳定,即便在外伤后第一个24h内,其CT值也很难超过60HU(课本上讲的脑内血肿极限CT值为94HU,平时工作中当然不可能遇到,但70+HU的血肿还是很常见的)。所以诊断少量蛛血的最佳时间是在外伤后第一个24h内,一旦超过24小时其CT值就会快速衰减,3天以后基本上很难在CT平扫上看到高密度影。


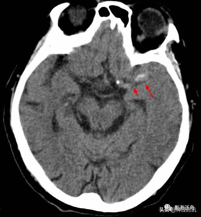
中年女性,骑电动车与人相撞,行头颅CT检查,鞍上池层面可见左侧侧裂池内蛛血(红箭),3天后患者复查头颅CT,左侧侧裂池内蛛血未见明确显示,但同一层面可见右侧天幕区新发蛛血(黄箭)。
通过本病例不难发现少量蛛血的变化是非常迅速的。因此,对于一些可疑的蛛血患者,报告中应建议其短期复查(如24h内)。

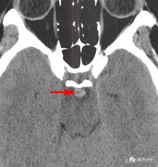
部分国外学者认为少量蛛血的常见部位位于大脑中脚之间的脚间池内(红箭),笔者尚未遇到过(是不是漏掉了?)。此种类型的少量蛛血常可引起患者“雷击样头痛”,且血管造影几乎均为阴性,如果在急诊CT平扫中漏诊此型蛛血,将会对临床诊断造成极*麻大**烦,因为可逆性血管收缩综合征等也会出现类似的剧烈头痛症状。


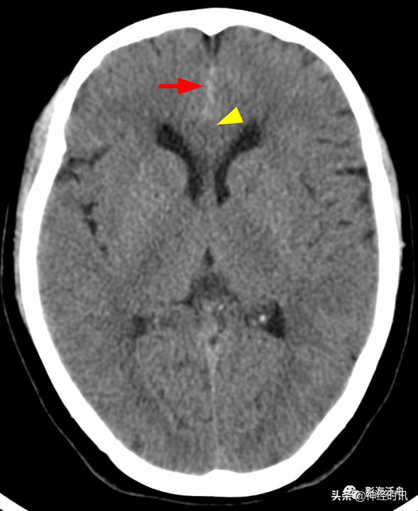
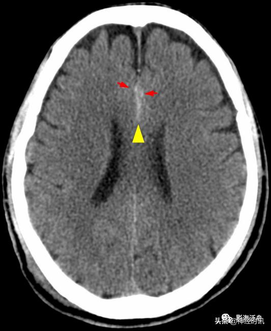
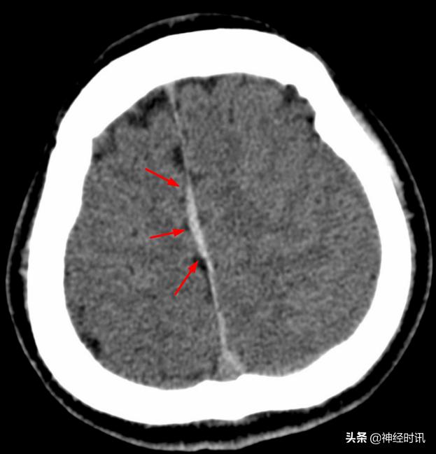
典型的大脑镰前部少量蛛血,血肿的边缘毛糙(红箭)且抵达胼胝体膝部的前缘(黄箭头)。4天后复查头颅CT平扫,相应部位少量蛛血基本吸收。

另一例表现类似的大脑镰前部少量蛛血,血肿的边缘总是有一种毛毛糙糙的感觉(红箭)。

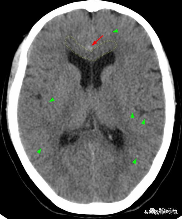
大脑镰前下部极少量蛛血(红箭),淡黄色虚线框勾勒出胼胝体膝部,血肿的边缘仍然是 模模糊糊的,注意这幅图中双侧大脑半球见多发斑点状高密度影(绿箭头),随访证实系伪影所致,而非弥漫性轴索损伤。夜班急诊时CT诊断的难点在于其密度分辨率有限(相较于MR),5mm层厚带来的容积效应干扰,有时候再加上噪声形成的伪影,就非常考验平时的基本功以及经验积累了。

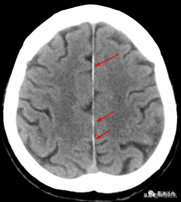
红箭所指的大脑镰局部呈连续的长条状高密度影,容易被误诊为少量蛛血,此系大脑镰局部不完全钙化所致。注意观察密度增高的大脑镰边缘非常光滑、且居中(红箭),与少量蛛血形成的偏密征、边缘毛糙等征象恰好相反。

间断性的大脑镰不完全线状钙化(红箭),同样呈边缘光滑、居中改变。

这一例大脑镰局部钙化就更加明显了,成熟的钙化部分密度要明显高于出血,容易和少量蛛血进行鉴别。

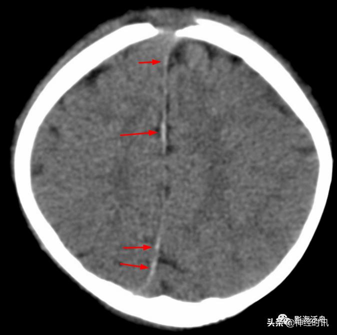
看完几个正常的,再来看一个异常的。2岁小孩,被电瓶车撞到后入院行头颅CT检查,大脑镰部多发短条状高密度影(红箭),注意和上面正常的大脑镰进行对比。

有些患者头颅CT平扫上份层面,大脑镰旁常可看到这种结节状高密度影(红箭),此系大脑上静脉的分支,不要误诊为少量蛛血。注意其密度与矢状窦相仿(黄箭),且均位于脑沟旁。


两侧小脑幕明显增厚伴密度增高,呈音叉状改变(红箭),随访未见明显变化,表明为正常改变。注意观察该患者的小脑幕密度与同层面上矢状窦(绿箭头)以及大脑镰(黄箭头)的密度非常接近,当这几个解剖区域密度比较接近时有助于排除少量蛛血的可能性。

有些患者枕骨粗隆(黑箭)骨量过高,可引起伪影,呈对称性的条片状高密度影,边界模糊(红箭),不要误诊为天幕区少量蛛血。

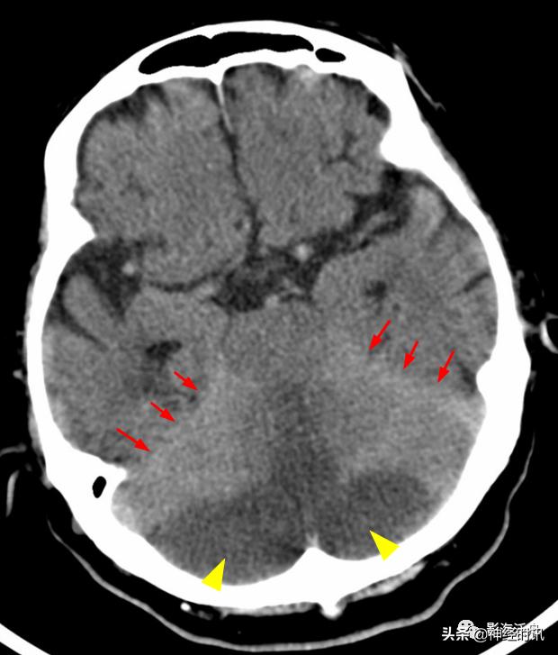
双侧小脑半球对称性脑梗死患者,小脑半球密度对称性减低,使得邻近的小脑幕呈相对高密度影,边缘模糊不清,类似于蛛血的影像表现。这种由于背景组织密度减低而导致正常组织密度异常“升高”的现象更常见于脂肪肝。尤其需要注意的是,发生大面积对称性脑梗时,不要把密度相对增高的大脑镰、小脑幕误诊为蛛网膜下腔出血。

测量上述患者正常脑组织和“密度增高的”小脑幕,可以发现两者CT值其实差不多,由于背景组织的干扰,你所看到的不一定就是真实的!

中脑男性患者,头痛来诊,CT平扫显示大脑镰后部密度增高,近胼胝体压部处增粗,边缘毛糙,非常像少量蛛血征象,追问病史,患者昨晚在外院行急诊CTA检查,本例大脑镰后部的异常改变系造影剂滞留所致。
最后看一个有意思的小病例↓

国内一些文献将大脑镰一侧不对称的高密度影被定义为“偏密征”,并认为上述影像学特征是诊断大脑镰旁少量蛛网膜下腔出血的可靠征象,可提示出血部位位于“偏密征”附近,或继发于邻近的其它颅内损伤。
本例颅脑外伤患者的大脑镰右旁可见“偏密征”,但这个血肿的边缘非常光滑(红箭)且未延伸至邻近脑沟内,边缘似乎还带有一些张力感,笔者觉得此例诊断为大脑镰旁硬膜下血肿更合适。但不管怎么说,“偏密征”用于鉴别是否存在局限性的脑外伤还是很有用的。

闭合性头颅外伤后,患者双侧大脑半球的多个脑回出现挫伤(红箭),损伤脑组织邻近的脑沟、脑裂少量积血,此即蛛血。由此可见蛛血的本质是脑表层(即脑灰质)挫伤后,血液沿破损的软脑膜流入到蛛网膜下腔,并在血清蛋白收缩作用下凝聚所致。也就是说,在凝血功能正常的情况下,程度较轻的外伤性蛛血引发大出血的概率极低。

从上面示意图可以清楚地看到硬膜下血肿的发生部位(紫色条带),位于硬脑膜内面(白箭)和蛛网膜表面(黑箭)之间,从图中不难看到硬膜下血肿大多是由邻近的桥静脉(蓝箭)破裂引起的,所以硬膜下血肿有时候表现为“缓慢的”出血,比如首诊检查时就看到一点点出血,过24h复查可能中线就移位了。临床症状当然可以提示病情的进展,但如果影像诊断能够更准确一些,是不是整个治疗过程就不那么被动了?