我们已经介绍了早孕期超声检查所能显示的胚胎/胎儿情况。我们还能提供的信息还有哪些呢?
一、羊膜囊
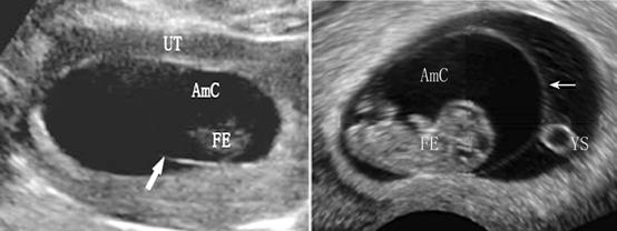
胚胎/胎儿在妈妈的子宫内生活在类似于水囊的结构内,在水中,胚胎/胎儿可以自由地活动,并受到全方位的保护。早期超声检查显示的妊娠囊并不是羊膜囊。尽管羊膜与胚胎及卵黄囊近同时发生,在第7孕周时可以经阴道超声检查显示,但因为其厚度仅有0.02mm~0.5mm并紧贴胎体而难以显示。第6孕周以后、顶骶径7 mm或以上时,随着胚胎屈曲和羊膜腔逐渐增大,羊膜在妊娠囊内胎体周围形成球形囊状结构,即羊膜囊;羊膜囊与其外侧的绒毛膜腔之间纤细的膜状回声即为羊膜。大多数情况下,只有与超声声束垂直的部分羊膜可能显示(图1)。由于羊膜囊增大迅速、羊膜菲薄,超声显像检查常不易显示。12孕周以后随着羊膜囊的扩大、羊水增多,羊膜与绒毛膜逐渐融合,绒毛膜腔消失。

图1 羊膜囊声像图(UT:子宫;AmC:羊膜腔;FE:胎芽;YS:卵黄囊;箭头所示为羊膜 )
二、胎盘与脐带
月经后第4周胎盘循环已建立,但经腹超声显像检查要在第7孕周以后、当妊娠囊其他部位的蜕膜反应形成的强回声变薄后才能在妊娠囊一侧显示局限性增厚及密集回声的胎盘。早期的胎盘面积多较大,可以占据子宫腔的1/2~1/3以上;第9孕周~10孕周以后可显示典型的胎盘回声,边缘清晰可认。正常胎盘显示为新月形、弥漫性均匀一致的中等强度回声。胎盘与胎体之间的脐带显示为绳索状回声,漂浮在羊水内。由于脐带较细,多数于早期妊娠过程中常规超声显像检查显示不清,彩色多普勒血流显像检查可以脐带的血流(图2,3)。

图2 早孕期脐带[A:9周胎儿脐带声像图(→); B:11周胎儿脐带回声(→)]

图2 早孕期脐带[C:11周胎儿脐带游离段血流(→);D:11周胎儿体内脐静脉(→)及脐动脉血流(↑
三、多胎妊娠
早期妊娠期由于子宫体积较小,经腹超声检查可以容易地在一幅图像上完整地显示子宫及宫腔内的回声,是显示多胎妊娠的最佳时期。通过显示妊娠囊的数量来计算多胎妊娠之胎数。 超声显像检查时应全面、多个切面检查,力求准确显示妊娠囊的个数,立体扇形扫查是最佳的检查方法。显示每个妊娠囊后通过显示其内部的卵黄囊、胚胎回声及其心管的搏动,排除假孕囊或“双泡征”形成的假象。
超声显像检查显示单个的妊娠囊并不能完全排除多胎妊娠。如果分化发生在受精的第2周~3周以后,则可在一个羊膜囊内出现两个或多个胚胎/胎儿,形成单羊膜囊双胎或多胎妊娠。
(摘引自:宋树良《实用胎儿电子监护学》,人民卫生出版社,2016)