子宫,孕育新生命的源头地带,是所有人在这个世界上第一个温暖的家,也是所有女性身体里最为重要的器官之一。如果问,哪里是我们住过最贵的“房子”,相信很多人都会回答是妈妈的肚子。
可是,有许多情况会对子宫产生危害,其中流产手术对于女性的子宫伤害非常大。

看到验孕棒的两条杠,张女士欣喜不已,经过一年的准备和努力,终于要当妈妈啦。
为此,她查了很多资料!饮食、运动……通通都计划的妥妥滴!


停经40余天后,她到医院检查确定了宫内早孕。高兴的她近一个月后再次来到医院。
却被告知稽留流产(胚胎停育)!听到这个结果的她,感觉整个世界都塌了。


一瞬间泪如雨下,期盼了这么久,结果却是空欢喜一场……
张女士不理解为什么这种事会发生在自己身上,于是咨询身边的朋友,找到郑州人民医院郑东院区妇科主任郭伟平,郭主任了解情况后向她详细解释了稽留流产的相关知识。

敲黑板

胚胎停育学名稽留流产,当胚胎或胎儿死亡而仍稽留于宫腔内,未及时自行排出者称为稽留流产。

1.早孕反应消失,有先兆流产症状或无任何症状,子宫不再增大反而缩小。
2.若已到中期妊娠,孕妇腹部不见增大,胎动消失; 彩超检查无胎心。

对于稽留流产的病因和发病机制尚未完全阐明,可能的原因有几方面:
1.胚胎本身的缺陷是导致流产的主要原因,占50-60%;
2.母体因素:全身疾病;感染原因;生殖器的异常,包括:子宫畸形,子宫内膜息肉,宫腔粘连等内分泌因素;免疫功能异常;
3.父亲因素:精子染色体异常;
4环境因素:过多的接触放射线和化学物质等。

由于胚胎滞留时间长,胎盘组织肌化,容易与子宫壁粘连。死亡的妊娠物及胎盘自溶所产生的促凝物质进入母体血液循环时,可引起严重的凝血功能障碍。稽留流产一旦确诊应尽早终止妊娠。

稽留流产处理较困难,可以使用药物或者清宫术,都有可能残留妊娠组织,传统的负压吸引及清宫术,需吸引宫腔1-2圈,直至感到宫壁粗糙,可能一次刮不净,仍需二次或多次清宫,增加内膜损伤的概率。
郑州人民医院郑东院区开展的宫腔镜下宫腔组织吸引术,直视下只对孕囊部位吸引,做到部位选择吸引。对于其它内膜正常的部分采用负压选择性吸引。能够对子宫内膜起到很好的保护作用,同时还能查出导致稽留流产的可能原因。
举
几个实例
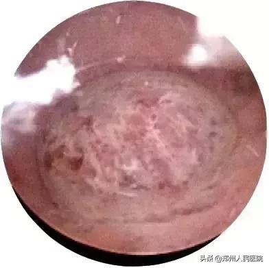
宫腔镜下常见的稽留流产合并宫腔异常图像


正常孕囊


时间长的胚胎停育


稽留流产合并宫腔粘连


稽留流产合并水泡


孕囊布满微血栓


稽留流产合并
子宫内膜息肉
12
术后宫腔图片

宫腔镜下宫腔组织吸引术,能精准的清除稽留流产组织,减少对子宫内膜的损伤,进而减少宫腔粘连的发生概率。另一方面对宫腔形态、子宫内膜进行全面检查,及时发现宫腔内病变:子宫内膜息肉、血栓、子宫畸形、子宫内膜炎等等,进一步治疗,避免同样的问题再次发生。
郑州人民医院郑东院区妇科以宫、腹腔镜技术为载体,建设妇科微创诊疗中心,同时以河南省民生实事两癌筛查和健康管理为基础开展宫颈疾病门诊,形成“细胞学-阴道镜-组织学”三阶梯诊疗模式,为女性健康提供安全、舒适、精准的诊疗服务。
专家介绍

