我经常听到有病人抱怨:年年做体检,为啥我有一个亲戚肺癌没有查出来呢?体检有啥用,该得病还是得病,该查不出来还是查不出来。
我能理解这位大哥的抱怨,但您真的了解体检吗?今天我将用这篇小文章帮您解答清楚所有的疑惑。
首先先回答上面病人的抱怨:
1.体检有啥用,该得病还是得病?
可以明确的说,体检只是去发现疾病,并不能预防疾病,更不能治疗疾病,这个大家要搞清楚。体检只是为了发现我们自己感觉不到的身体异常,比如,血脂高了、血压高了、肺癌等等,患者可以没有任何症状,往往都是靠体检发现的,这就是体检的意义。
2.做了体检,为啥也查不出来?
关于肺癌,目前最有意义的筛查方式就是胸部CT(低剂量CT也可以),但CT一般比较贵,一般人体检都是想花个一二百块钱,但一个CT就三四百,大医院好的CT多则七八百,远超预算。另一方面,很多人觉得CT辐射大,不愿意做,于是大多数人体检并不会常规做胸部CT,所以也就无法筛查出肺癌。

3.要不要做全身体检?
经常有土豪病人告诉我,医生,我要做个全身体检。吓我一跳,你知道全身体体检要花多少钱吗?况且,就算你很土豪,有些检查也没有必要。比如,如果你没有受伤或者肢体疼痛、不适,你的骨关节是不需要做常规检查的;如果你胃肠道功能不错,吃嘛嘛香,没有腹痛、腹胀、腹泻、便秘等问题,胃肠镜也是不需要常规做的。另外常规的头颅CT检查仅仅只能排查脑出血和脑瘤,如果头部没有症状,也没有肢体障碍,头颅CT也不需要常规做。
当然,如果你非常土豪,就是想做全面的检查发现身体的疾病,那么接下来我会告诉你怎么做能达到你要的检查目的,不要大包式的体检套餐。咱们从头到脚,依次来看。
3.1.1 头颅检查如何做?
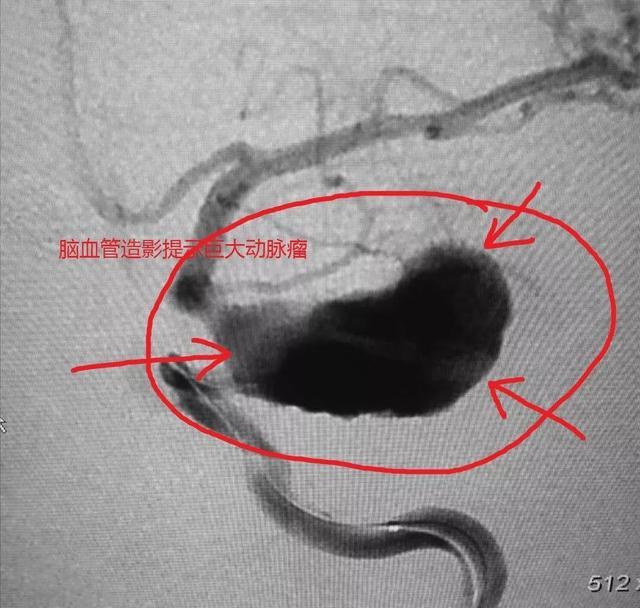
在第三条我已经说过头颅是不需要做常规CT的,因为意义不大。但你要知道,有一部分自发性脑出血患者,往往是因为脑动脉瘤破裂而出血的,而一般的CT是看不见动脉瘤的,有人说磁共振行不行?也不行,那怎么办?

如果你很土豪,可以做CT动脉造影,或者直接介入颅内血管造影。这是排查血管瘤的方式,其他检查做了达不到目的。
3.1.2 头颅的其他检查
头颅的其他检查主要是眼耳鼻喉,大家定期查查视力,看看口腔牙齿是否健康,鼻子通畅与否、听力如何,这个算不上常规不常规的,当你感觉这些器官不舒服的时候,你自然就去看了,不分时候,也没必要加在体检套餐里多花这个钱。
3.2 颈部检查
颈部检查主要有3部分很重要,甲状腺、颈部血管、颈椎。
甲状腺查彩超能够发现甲状腺大不大、结节和肿瘤,抽血化验甲功三项看有没有甲亢或甲减。像甲状腺这样的检查就属于专科特殊检查,常规的体检套餐里往往是没有的,如果你资金充足,或者因为身体有些不舒服想看看甲状腺如何,可以选择。此类体检非常规。
而颈部动脉主要是看有没有硬化,因为现在脑卒中病人很多,颈部动脉硬化与否可以预测一些脑血管疾病。但是,并不建议每次都做,或者常规做,对于青年人,查颈部动脉的意义就不是很大,而对于有高血压、糖尿病、冠心病的病人,不分年龄每年做一次颈部血管检查,有意义。

颈椎在没有症状的情况下是不需要做体检的。如果有了相关症状,要做检查也是做磁共振,最差也要做个CT,颈椎的平片几乎没有意义。
磁共振可以看清楚神经与椎间盘的位置关系、病变程度,椎管狭窄与否,而CT就很差,DR平片就完全看不见。所以颈椎疾病要做磁共振。下面讲关节检查我还会讲到,磁共振几乎是关节检查的常规。
3.3.1肺部检查
胸部检查主要是肺的检查,胸壁、胸骨等在在没有外伤的情况下极少出现问题,也不需要常规检查。
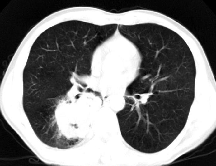
肺是胸部最主要的器官之一,肺部无论是筛查也好,诊断也好,一个CT基本上就可以解决。并且,现在无论是肺结节还是肺肿瘤筛查,胸部CT已经成为了常规。
如果有条件,体检每年能加上胸部CT最好(齐大夫所在医院每年体检都要做胸部CT,非常有必要。而每年我们也会发现几个早期肺癌的同事和患者)。关于辐射问题,一次CT的辐射剂量远远达不到致病程度,大家不要再顾及辐射问题(笔者自己每年都会做一个胸部CT体检,你们还怕啥)。

3.3.2 心脏的检查
心脏的检查不仅项目繁多,而且不同的心脏疾病需要不同的检查来诊断。以后笔者会单独写一篇关于心脏检查的介绍,今天咱们就简要概括一下。
心脏最常用的3个检查分别是心电图、心脏彩超和冠脉造影。如果把心脏比作房子,这三项检查分别对应的是:心电图,看房子的电线传导如何,是心律失常确诊的标准;心脏彩超,看看房子墙体结实不结实,可以确定心脏的结构有没有问题、心脏功能衰竭与否;冠脉造影,查看房子水管通不通,确定心脏冠脉血管是否畅通,确定冠心病的金标准。
心脏的检查除了心电图是常规检查之外,另外两项仅在医生的判断之后考虑是否要进行,不建议病人自己花钱做,意义不大,且多花钱。
(其他的检查,我们下一篇见)