前列腺是男性生殖系统的附属腺,为不成对的实质性腺体,位于膀胱与尿生殖膈之间,包绕尿道根部,其形状和大小均似稍扁的栗子。上端宽大,下端尖细,体的后面较平坦,贴近直肠,可经直肠指诊触及。纵径3cm,横径4cm,前后径2cm,重约20g。它的大小、功能很大程度上依赖于雄激素。小儿前列腺很小,性成熟期迅速生长;老年人腺组织逐渐退化,腺内结缔组织增生,形成前列腺增生,压迫尿道,引起排尿困难。
那么前列腺应该怎么检查呢:
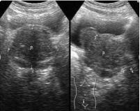
彩超:是简单、无痛苦的前列腺检查手段,可以发现前列腺有无增生。经直肠探头的超声检查图像清晰,结果准确,较体外超声检查更胜一筹。但是彩超检查前列腺主要作用就是诊断前列腺增生。这也是其最大的价值。彩超不能诊断前列腺炎,常规超声也不能确诊前列腺癌。
前列腺癌通过彩超或者磁共振来诊断都是不可靠的,必须通过活检。但是也不是一无是处,主要还是一个提示作用。磁共振的准确度会比前列腺彩超高点,可以起到一个相辅相成的作用,当然如果是比较晚期的,有转移的,磁共振的准确度就更好了。
比如经直肠前列腺,可以看的很清楚,内腺,外腺都可以测量大小,对内部长出的一些结节可以看的到,但是不能定性,因为不管是炎症,增生,肿瘤,声像图上看起来都差不多,很难辨别。
这个时候就要结合PSA,一个前列腺肿瘤标志物。有怀疑的,可以做经会阴前列腺穿刺活 检。以前都是经直肠穿,做完以后很多病人都会感染,风险很大。但是现在不会了,因为经会阴穿刺不要经过直肠,很干净,因为肠子有粪便,容易感染。有了病理结果,这样才能确诊。但是不管如何,临床医生最想要的,还是穿刺的结果,这是金标准。
所以前列腺彩超对前列腺癌意义不大,至于说恶性会边界不清,回声不均等那些都是理论上的,增生的前列腺长的什么样都有,从形态学上判断不可靠。因此超声引导下经会阴前列腺穿刺活体组织检查,简称前列腺活检对确诊前列腺癌等肿瘤才有决定性的意义。
所以前列腺彩超的主要作用是测量前列腺的大小,再结合个人症状,诊断前列腺增生。
至于发现前列腺结石或者钙化,囊肿,这些意义不大,可以忽略不计,通过彩超诊断出前列腺炎急慢性炎症更是不靠谱,这些都是临床医生的诊断,前列腺彩超一般都不会做出这样的诊断。
直肠指检:触诊前列腺可以摸清前列腺的大小、形状、质地、中央沟、有无结节和有无压痛 等;还可以通过挤压,使前列腺的分泌液从尿道口滴出,做显微镜下的观察、生化检查和细菌培养等。
前列腺常见病:
前列腺增生:
增生腺体位于膀胱颈,使尿路梗阻,引起尿频和排尿困难,严重影响患者的生活质量,是中老年男性的常见疾病,又称良性前列腺肥大,在泌尿外科住院患者中,它仅次于尿石症,居第2 位。
治疗:药物、手术。
现如今治疗前列腺增生的一线药物是α受体阻剂、5α还原酶*制剂抑**和植物药。
手术:前列腺电切除术。
前列腺炎:(彩超不能诊断)
Ⅰ型(急性细菌性前列腺炎)、Ⅱ型(慢性细菌性前列腺炎)、Ⅲ型(慢性前列腺炎)、Ⅳ型(无症状性前列腺炎)
症状,可急性起病,可表现为寒战、高热,伴有持续和明显的下尿路感染症状,如尿频、尿急、尿痛、排尿烧灼感,排尿困难、尿潴留,后尿道、肛门、会阴区坠胀不适。血液和尿液中白细胞数量升高,细菌培养阳性。
前列腺癌:PSA有异常的,可以穿刺,穿刺活检是金标准。
预防:
适量饮水:德国著名泌尿科专家鲍比教授指出,每天要喝2-2.5升的茶水,以发挥排尿对尿路的机械冲洗作用,冲洗前列腺细菌。白天应多饮水,夜间也应适量喝水。
不要憋尿:憋尿会造成膀胱过度充盈,使膀胱逼尿肌张力减弱,致排尿发生困难,容易诱发急性尿潴留。
忌饮酒:饮酒可使前列腺及膀胱颈充血水肿而易诱发急性尿潴留。
少食辛辣食物:辛辣刺激性食物,既可导致性器官充血,又会使痔疮、便秘症状加重,压迫前列腺,加重排尿困难。
节制*生活性**:以防前列腺充血,发生急性尿潴留。但是国外专家又说*生活性**可以降低前列腺癌的发生率。只能看个人能力了(哈哈。。)
避免久坐:又易使会阴部充血,久坐可加重痔疮等病,引起排尿困难。锻炼身体。

前列腺增生