脊椎疾病在以往多发于中老年人,然而近年来,却呈现出年轻化的倾向,尤其是椎间盘病变。

其中,椎间盘突出是临床中十分常见的脊柱退行性疾病之一,常见于腰椎和颈椎节段。
广义的椎间盘突出可以分为四种病理类型:膨出型,突出型,脱出型和游离型。今天我们就来了解一下椎间盘突出的这四种基本类型有何特点?
如何区分四种类型?
椎间盘主要由纤维环及髓核两部分组成,中心为髓核,周围部为纤维环。纤维环富于坚韧性,保护髓核并限制髓核向周围突出。
10岁以前,纤维环与髓核的含水量分别达到85%和75%,10岁以后髓核自其腹背侧缘开始纤维化,并逐渐向中心发展,30岁以后含水量进一步下降。

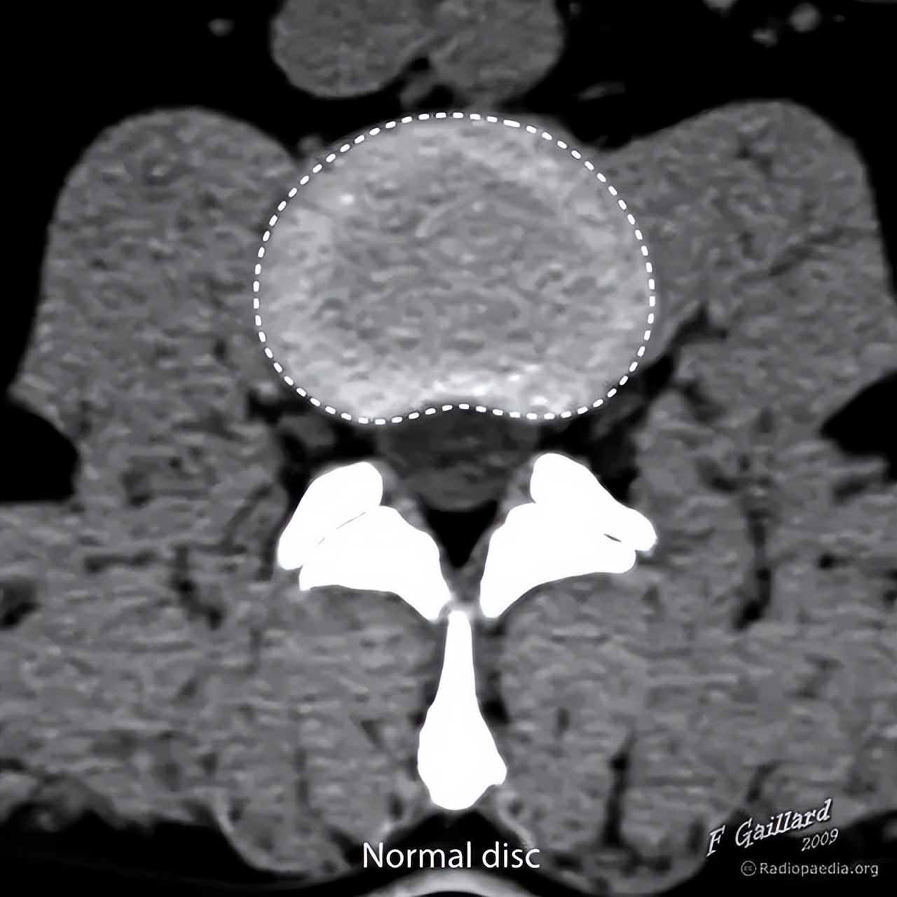
正常的椎间盘示意图,椎间盘由周围的纤维环和中心的髓核组成

1为纤维环,2为髓核

腰椎侧面图,腰椎间盘连接上下椎体

髓核与纤维环组成椎间盘,位于上下两个椎体之间

此为影像学图像,正常椎间盘(浅灰色区域)的周围不超出椎体边缘
1、椎间盘膨出
指的是指椎间盘组织超出椎体骨性边缘,表现为纤维环均匀超出椎体终板边缘,椎间盘一侧向外膨出。此时纤维环松弛但完整,髓核皱缩。

椎间盘膨出,纤维环范围超出椎体边缘

椎间盘膨出的影像学定义为:突出部分>椎间盘边缘的25%,或者突出的两边与髓核的中心的夹角>90°
椎间盘膨出一般无临床症状,有时出现反复腰痛,很少出现根性症状(下肢痛)。
2、椎间盘突出
为髓核突入纤维环内但后纵韧带未破裂,表现为椎间盘局限性向椎管内突出(移位组织的范围小于椎间盘圆周的25%),突出的髓核可以是被外部的纤维环包绕的,也可以不被纤维环包绕。

椎间盘突出,压迫脊髓神经,从而引发症状

椎间盘向后突出,但纤维环尚未完全破裂

突出部分小于椎间盘边缘的25%,并且基底部>突出部分的直径;突出椎间盘的两边与髓核的中心的夹角<90°
椎间盘突出患者可出现典型神经根性症状、体征,但也可无相关症状,表现为与影像学表现不相匹配的临床表现。由于破裂的纤维环愈合能力较差,临床复发率较高。
3、椎间盘脱出
脱出是指椎间盘的突出部分远离突出位点,不论突出部分是否游离。此时纤维环、后纵韧带完全破裂,髓核突入椎管内。

纤维环完全破裂,髓核向外脱出

椎间盘突出的影像学定义为突出椎间盘的基底部(A)<突出组织的直径(B)
腰椎间盘脱出多有明显的临床症状和体征,保守治疗效果相对较差,大多需要微创介入或手术治疗。
4. 椎间盘游离
游离是指椎间盘的突出部分与椎间盘母体离断, 突出髓核与相应椎间盘不连接 。 可游离到椎管内病变间盘的上或下节段、椎间孔等。

椎间盘游离,是指髓核完全脱出与椎间盘不连接,游离于椎管内
椎间盘游离时,存在持续性神经根症状或椎管狭窄症状,常需手术治疗。
如果你对推拿、康复有兴趣
如果你想改善自己与家人的健康
敬请继续关注我的健康知识分享!