早上查房,一患者突然问我:大夫,同样是肛瘘,为什么3床的病人在术后第2天就出院了,而我做完手术都七天了,还不让出院呢?
我:3床的肛瘘简单,你的肛瘘复杂,所以你住的时间要长一点。
患者:我怎么觉得都差不多呢?
我:不是差不多,是差的远呢。
肛瘘是肛管直肠瘘的简称,是指肛管或直肠因病理原因形成的与肛门周围皮肤相通的一种异常管道。一般由原发性内口、管道、继发性外口3部分组成。绝大多数是肛门周围脓肿切开引流或自然破溃后的后遗疾病。肛瘘有很多分类方法。
一、国际Parks分类方法
1.括约肌间肛瘘:多为低位肛瘘,最常见。外口只有一个,距肛缘较近,约3~5cm。

2.经括约肌肛瘘:可以为低位或高位。外口距肛腺约5cm。

3.括约肌上肛瘘:为高位肛瘘,少见。

4.括约肌外肛瘘:最少见。

二、国内分类法
1.低位肛瘘:
(1)低位单纯性肛瘘:内口在肛窦,仅有一个外口。
(2)低位复杂性肛瘘:有两个以上外口和瘘管相通。
2.高位肛瘘:
(1)高位单纯性肛瘘:仅有一个瘘管,走形在外括约肌深部以上,侵犯耻骨直肠肌/肛提肌以上。
(2)高位复杂性肛瘘:有两个以上外口和瘘管和内口相连并有支管或空腔,主管通过外括约肌深部以上,侵犯耻骨直肠肌/肛提肌以上。

正当患者听的一头雾水时,我说:来看看的你的肛瘘的外口。

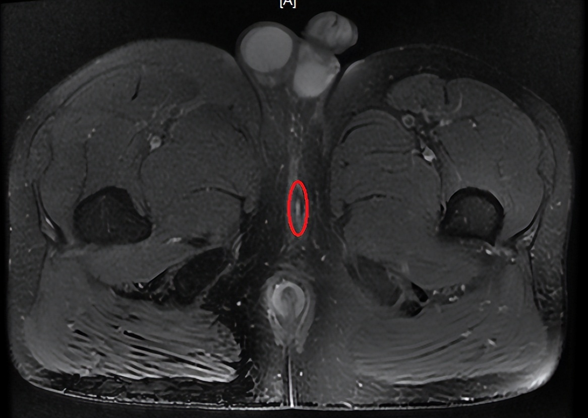
盆腔MRI
术前、术后(图略)。
患者看完术后的图片,露出恍然大悟的表情,呀,原来我手术的伤口这么大啊,怪不得别人两天就不疼了,我到现在还不敢坐,一坐就疼。
幸亏我早有准备,提前拍了照,要不然这患者还以为我在骗他呢。

三、肛瘘的手术方式
1.肛瘘切开术
2.肛瘘切除缝合术
3.肛瘘切除术
4.肛瘘挂线术
5.肛瘘切开挂线术
6.低位切开高位虚挂引流术
7.断管挂线术
8.高位挂线低位缝合术
9.瘘道旷置术
10.肛瘘内口切开术
11.瘘管摘除二次切开术