【基本信息】女,64岁
【疾病类型】子宫内膜癌;单纯内膜样癌;ⅠA期
【治疗医院】青岛大学附属医院(三甲)
【治疗方案】腹腔镜下全子宫切除术+双附件切除术
【治疗周期】住院7天
【治疗效果】手术很顺利,1小时完成手术,出血少,术后1天排气,术后3天出院, 阴道无血性分泌物。
一、初识患者
一天门诊上来了一个复诊的病人,是一个64岁的阿姨,到诊室后就伤心的和我说到,刘大夫,我又流血了,我快让阿姨坐下,详细问询了阿姨的情况,并翻看了一下她的病历资料,发现她3年之前做超声时就提示宫腔里有一个肿物,当初超声提示子宫粘膜下肌瘤可能,进一步行了宫腔镜检查,发现宫腔里有一个占位,大小约1.5cm,外突,当时建议阿姨行宫腔镜手术把这个肿物切掉,手术创伤比较小,阿姨当初因为一些原因没有做,一直没有在意。这次又出现了阴道的流血,持续了十多天了。
二、治疗过程
我给阿姨开了超声,提示宫底偏右侧见3.5x2.8x1.9cm高回声区,形态欠规则,局部与内膜分界不清,内探及较丰富血流信号;单层内膜厚约0.3cm,回声欠均匀。我一看到这个结果,心里就纠了一下,想到可能是不好的,就尽快给阿姨安排了分段诊刮:先宫颈管后宫腔分别诊刮。果不其然,诊刮病理提示:(宫腔)腺癌(中分化),形态倾向宫内膜样癌。
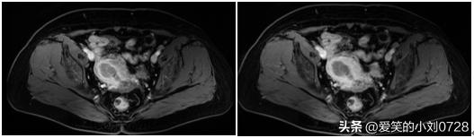
入院后给阿姨安排了盆腔的MR(核磁共振)和上下腹部的CT,明确有无远处的转移或者淋巴结的转移,和进行其他手术之前应该行的化验检查,幸运的是,仅仅发现阿姨宫腔里有病灶,在其他地方并没有发现转移,MR(核磁共振)图像如下图一。

盆腔核磁共振结果:宫腔有病灶,未向远处转移
子宫内膜癌目前最好的治疗方法是手术治疗。由于患者已经60多岁,无生育要求,为了避免癌症的进一步发展及扩散,我们决定为患者行腹腔镜下全子宫切除术+双附件切除术,与阿姨充分沟通后,阿姨表示同意手术,于是我们就尽快给阿姨安排了手术,而且是微创的手术,就是腹腔镜手术,通过一个摄像头到肚子里面,再通过几个小的操作口进行操作,手术很成熟,创伤比较小,手术恢复的比较快,能够尽早的出院、康复。手术很顺利,手术仅仅用了一个小时左右就把子宫切掉了,出血很少,术中的冰冻病理也提示为子宫内膜样癌,高分化,浅肌层,不需要进行盆腔淋巴结合腹主动脉旁淋巴结的清扫,术后病理出来后也提示是早期的子宫内膜癌,预后较好,不需要进行任何辅助治疗。
三、治疗效果
患者手术过程很顺利,仅用1个小时就完成了手术,术中出血很少,仅仅10ml,阿姨术后恢复的很快,手术之后1天就排气了,大小二便正常,仅仅3天就出院了。术后病理提示无需辅助治疗。患者病情得到了很好的改善,身体状况良好,无发热,阴道无血性分泌物,阿姨的心情也从开始得知病情时的低落转变为病情好转后的喜悦,每当看到病人治愈出院,我的心情就特别好。
四、注意事项
1.手术后加强营养,促进恢复,预防感染。
2.近3个月不要行夫妻生活,不要进行盆浴。
3.要定期门诊复复查,术后2到3年内,每三个月复查一次。三年后每六个月复查一次,五年后每年复查一次。
4.平常一定要锻炼身体,放松心情,增强机体的免疫力。
5.如有任何不适,立即医院就诊。
五、医生感悟
虽然绝经后宫腔占位性疾病以良性病变为主,其中子宫内膜息肉最为常见,但如果年龄越大,绝经时间越长,越需要警惕恶性病变,绝经后出现阴道流血,就要高度警惕子宫内膜癌可能,宫腔镜检查绝经后宫腔占位具有直观性、全面性及准确性,能够在诊断的同时进行治疗。
这位阿姨因为绝经后阴道流血来医院就诊,宫腔镜检查发现子宫内膜癌,幸好疾病没有向远处转移,给治疗争取了时间,所以提醒老年朋友们,当发现自身出现不适时,应积极地到正规医院检查,做到早发现、早诊断、早治疗。
#了不起的中国医师#
#关爱女性#