透明质酸(HA)广泛用于医学领域。
大多数玻尿酸注射相关的不良反应都是局部反应,包括红斑、肿胀等;
有时可能发生更严重的事件,如组织坏死和感染或者是死亡。
今天给大家分享一例妇女在接受非法阴道玻尿酸注射后被诊断为弥漫性肺泡出血。

54岁女性主诉咯血和呼吸困难。
40年前,她曾因肺结核接受治疗,并在当地一家诊所服用他汀类药物和抗抑郁药已有数年之久。
35年来,她每天抽一包烟,每周喝两三次酒。
血压、心率和呼吸频率分别为100/60 mmHg、98次/min和22次/min。
在室内空气中,血氧饱和度为89%,动脉血氧分压为72 mmHg。
除双侧胸部听诊裂纹外,体格检查无显着性差异。
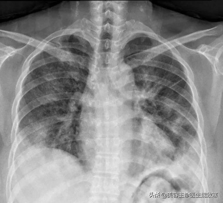
胸部X线表现为双侧弥漫性磨玻璃混浊(GGO)及实变。

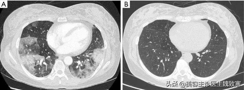
胸部CT表现为弥漫性GOS伴小叶间隔增厚和不规则胸膜下实变,无纵隔淋巴结肿大或胸腔积液 (见下图A) 。没有明确的证据显示肺血栓栓塞或右心室增大。
实验室检查显示白细胞计数为9680/L(中性粒细胞为70.9%,淋巴细胞为19.5%),血红蛋白为10.7g/dL,血小板计数为284,000/L,C-反应蛋白水平为3.92mg/dL(正常范围<0.5mg/dL),凝血酶原时间INR为1.0,d-二聚体为0.18g/mL。天冬氨酸转氨酶、丙氨酸转氨酶和总胆红素水平分别升高至198 U/L、228 U/L和1.36mg/dL。

在详细的历史记录中,患者回忆在 症状出现前一天由非医务人员在阴道壁注射了填充物 。该制剂为市售玻尿酸填充剂,注入1mL装玻尿酸共15支(共15 mL)。
并发症处理过程
医生推测玻尿酸填充剂可能是导致 弥漫性肺泡出血 的原因。
经过治疗后患者的呼吸症状和放射性异常逐渐改善。在治疗的第五天,她出院使用20毫克口服强的松龙。
随后在门诊进行的胸部CT随访显示,先前的肺部病变完全痊愈 (见上图B) 。

关于发病机制的猜想
虽然过程本身或玻尿酸填充剂的添加剂可能是原因之一,但可能已经进入循环的玻尿酸被认为是弥漫性肺泡出血发展的最可能的原因。
经全身类固醇治疗后,患者临床症状及肺部病变均有明显改善。
有关注射玻尿酸注射的肺部并发症的报道甚少,至今只报告了5例 (具体可见下列表格) 。
肺部并发症多为NTPEs,2例为关节内注射相关,3例为皮肤或粘膜注射相关。在这些病例中,在注射玻尿酸填充剂后几小时至几天内出现呼吸道症状。

Park HJ等人报告过一名中年女性在非医务人员注射玻尿酸后发生NTPE个案,与本案例非常相似。
Basora JF等人描述了一位年轻男性在小腿内注射玻尿酸后发生的 弥漫性肺泡出血 病例,与本病例相似,该男性患者的症状始于注射玻尿酸的第二天,注射剂量为 50 mL ,远远超过通常的剂量。

非医生的过量注射和不规范手术操作被认为是 弥漫性肺泡出血 的关键因素。此外,患者肝功能异常可能是 弥漫性肺泡出血 发生的另一个可能因素。
私密整形出现的并发症,危险性还是非常大的
私密整形也是医疗,医疗行为一定要慎重
要请专业的医生进行正确的诊断和治疗方案
不可盲目去非法机构工作室!!!