有的人膝盖疼,是因为髌骨“裂开”了
山西省中医院 骨科
门诊急诊上,很多就诊的患者朋友都对骨折很感兴趣,指着片子很兴奋地谈论:“这儿开了,是不是这儿?应该是这儿,这儿裂了!”——按我的经验,大多数时候,大家指的是正常的关节间隙......

今天要为大家介绍的,是发生在膝关节髌骨,也叫波楞盖儿上的,貌似骨折的一种假骨折。也就是说,有部分人的髌骨本来就是裂开的两瓣,叫“二分髌骨”。这种二分髌骨,很多人是没有症状的,不去拍片子,本人可能永远都不会知道,因为你自己是摸不出来的。但是,有时候这种二分髌骨会引起膝关节的疼痛,叫“疼痛性二分髌骨”。

“疼痛性二分髌骨”就是今天的主角。故事往往是这样的:因为膝关节扭一下、磕一下而疼痛去就诊,本来是以为是软组织伤、半月板伤一类的,结果一拍片子——啊?髌骨裂开了?我怎么这么容易就骨折了?——我也的的确确见过有经验不足的低年资医生诊断成“髌骨骨折”的,打上石膏好长时间骨折也不长,最后发现是先天的二分髌骨!如果有因此而去做手术的,那就太悲剧了。

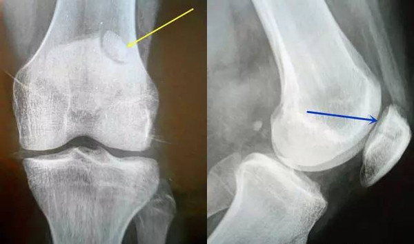
接下来,我们大家就一起来了解一下,这种颇具有迷惑性的“二分髌骨”。首先,从概念上讲,“二分髌骨(bipartite patella,BP) ”是部分人群在发育阶段由于某些因素的干扰出现的髌骨骨化异常——也就是发育过程中就没有像正常人群那样,长成一块完整的骨块,而是自然形成了两块。二分髌骨是一种解剖异常,一般都是没有症状的,而在剧烈活动、大运动量的体育训练后出现了疼痛不适,变成疼痛性二分髌骨( painful bipartite patella,PBP)。

那么,为什么安静的、默默无闻隐藏着的二分髌骨会在运动后出现疼痛呢?大致有这么两种情况:一种情况是髌骨受到直接的撞击,譬如跪地撞击,或与人对膝撞击(喜欢对抗性运动的朋友一定不陌生这种情形),其中副髌骨(就是比较小的那块髌骨)受到撞击后与主髌骨相连处受到损伤,从而出现症状。还有一种常见的情况是膝关节多次在半屈位受到股四头肌、股外侧肌(大腿上的肌肉)的牵拉,损伤了二分髌骨相连接处的组织而出现症状。所谓膝关节在半屈位受到大腿肌肉牵拉,大家可以想象一下连续原地弹跳或者站立位举杠铃的动作。
Saupe教授,根据副髌骨一般出现的位置,将二分髌骨分为3型:I型骨化核位于髌骨下极;Ⅱ型位于髌骨外侧;Ⅲ型位于髌骨外上角,其中Ⅲ型最为多见。也就是说,分离的那小块髌骨很少会出现在髌骨的内侧,往往是出现在髌骨的下方,外侧或外上位置,尤其是外上部位。这对于我们通过X线判断二分髌骨有重要的参考意义。

如果判断了是二分髌骨而不是骨折,疼痛的问题该怎么解决呢?大部分都是通过保守治疗来解决。譬如,要休息,暂时不要做剧烈的活动,尤其是要减少膝关节的半蹲发力动作。也可以配合一些理疗的办法,加速疼痛症状的缓解。如果疼痛症状比较严重的,也可以在副髌骨压痛点做一次局部的封闭治疗,基本上能很快的控制症状。也有很少一部分是病史比较漫长,长期疼痛不缓解的,那就是最后一招:手术治疗。目前已经报道过的手术方式有:副髌骨切除术、软组织(外侧支持带、股外侧肌) 松解术、副髌骨内固定术等等,其中副髌骨切除术是目前最广泛的方法。

本文主要参考文献:
1. 李国庆.疼痛性二分髌骨诊断与治疗[J].中国骨伤.
2. 张志强.疼痛性二分髌骨手术治疗的研究进展[J].中国微创外科杂志.