
弹指一挥间
2018已成过往
在过去的一年里
你取得了怎样的成绩
又收获了怎样的惊喜

新的一年就这样悄无声息地
到来了
新年新气象
最近的好消息一波接着一波
直接影响你的钱袋子和小日子
你的养老金有望再涨

新一轮养老金上调窗口即将开启
除了企业和机关事业单位
退休人员养老金
将于2019年迎来15连涨之外
城乡居民基本养老保险待遇和
基础养老金也有望继续上调
转载自人民网
5G要来了

三大运营商获许可
工业和信息化部向
中国电信、中国移动、中国联通
发放了5G系统
中低频段试验频率使用许可
转载自人民网
首部电商法整治网购乱象
《电子商务法》将施行
强化了对消费者权益的保护
让网络消费更放心

刷好评、擅自删差评、恶意搭售商品
网上订酒店、骑共享单车押金难退
……
这些行为将被禁止
转载自人民日报
小编接下来还要告诉大家
一个好消息
12-80岁江西市民都可享受到

江西省“希望牙科”基金
全城援助难看牙、缺失牙市民
2小时解决畸形牙、黄黑牙
种2颗恢复半口、4颗恢复全口
让江西老百姓人人看得起牙

一张社保卡拿在手里
买什么都贵
而且,想要矫正牙齿、种植牙的时候
医生很严肃的说
不好意思,本项目目前不纳入医保范围

这些项目的市场价格多少钱?

江西12~80岁市民快看
2019矫正牙齿、种植牙
价格重大调整
调整一:
传统牙齿矫正、种植牙过程中
80 00元 检查会诊相关费用全减免

调整二:
看德国牙医不用飞到国外
活动现场,德国知名专家团免费亲诊
不多收一分钱费用

调整三:
看牙立返800-20000元现金
1
种植牙:
每颗立返 800-1800元
种德国牙,免费送终身质保!

2
牙齿矫正:
隐形矫正立返 7000-20000元
价值1000元口扫黑科技免费体验
不戴牙套矫正,美牙3颗返1颗费用
德系超薄贴面,美牙2颗返1颗费用

3
3牙齿美白:
德系超声波洁牙, 仅1折!

美国皓齿美白,2人同行1人免单!

调整四:
看牙还能免费领年货!
活动期间,到院可免费领取定制保温杯、2019木质台历、福字、对联、红包、洁牙券等新年礼包!
美牙还有机会兑换食用油、坚果礼盒、电烤箱、紫砂电炖锅等年货、电器大礼!

限50名
立刻识别二维*报码**名抢名额
于是
就有了接下来的这一幕
☟ ☟ ☟

市民A:
好心动……我的*牙虎**很难看,以前还想,每个月就那么点工资,全贴进去都不够,但是现在,好想去……
市民B:
工资可以将就,但生活不能,为什么要矫正牙齿,不是为了美,是为了给人生另一种可能!何况都降价了,我一定要去!
市民C:
我也要去,这么大优惠,还不去,你当我傻啊!

这么大的优惠
真的是真的
不信你看
☟ ☟ ☟

受益市民NO .1

@ 请叫我刘小小
牙缝大
有时候,改变生活很简单
我想矫正,是因为生活需要另一种可能。另外,一直不想矫正的原因也是不想戴牙套。

我一张嘴,感觉全世界都在说“你该整牙了”
我选择德系超薄贴面,主要的好处当然是快速修复。当天牙缝就不见了,恢复一口美牙,杂七杂八的费用全都省了,值得!

美美哒的牙齿
受益市民NO .2

@ 小仙女本尊
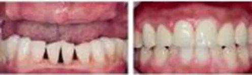
牙不齐
现在不矫正,难道等找不到工作吗?
我觉得牙齿难看的人,张一张嘴都是灾难,我就是亲身示例,小时候还好,越长大牙齿问题就越严重,张嘴就有人让我快去矫正牙齿。

矫正前,真的是灾难
影响真的很大,我学主持的呀,脸多重要……我妈之前还说没事,后来找工作真的是被说够了…好不容易刚找到工作,我就迫不及待去咨询了矫正。

看牙(左),复查(右)
矫正之后,我更坚信,人一定要去改变,不努力一把,你都不知道你潜力有多大,以前谁知道现在这么好看哈哈,我已经换工作啦,而且因为公益活动我省了很多很杂的费用和中间环节,很感谢!

我现在好看吗?
受益市民NO .3

@ 老杨
半口无牙
又快又划算 下半辈子口福有着落了
“七八年了,终于能像原来自己的牙一样啃苹果了!”杨叔叔上颔半口无牙,原来靠戴活动假牙完成咀嚼,但是非常不便,也痛苦不堪,听说江西也有了缺失牙救助中心,就决定来试一试。

杨叔叔种牙前后对比

杨叔叔讲述自己的种牙经历
“当天种牙,当天装上了牙冠,咬上苹果那一刻,我竟然感动得流泪了!”杨叔叔说出了很多缺牙市民的心声。杨叔叔还说,只用四颗牙根就“长”出了半口好 牙,省了好多钱!

杨叔叔种好牙当场啃苹果

你是不是也因为牙齿不好看
好工作总是轮不到你?
你是不是也因为牙齿不好看
每次喜欢一个人都不敢表白?
你是不是也因为牙齿不好
吃饭也吃不利索?
☟ ☟ ☟

一口好牙过新年
即日起至1月10日
各大医院联合厂商共同发起本次活动
快来报名 申请优惠价格
☟ ☟ ☟
参与方式:
1.微信报名:ncdykq8888(请及时说明年龄和牙齿需要解决的问题)
德亚口腔 源自德国
德系齿科连锁 共享全球牙科智慧

▽
—— 地址 ——
西湖区洪城路318号江西国际珠宝城
*警武**总队公交车站下车即到
此条为广告信息 不代表本号观点
所有要约责任均归于广告商
如有违规请联系我们
将进行及时处理
小编工资已与此赞挂钩,一赞五分钱,求!打!赏!