#大有学问#
功能性滤泡性卵巢囊肿是常见的良性病变,通常表现为单房、薄壁病变,伴有水样信号(图76.1,轴位T2WI)。无功能性囊性病变是鉴别诊断因素,但由于肿瘤形成可能看起来相似,因此应在6周内通过超声重新评估新诊断的30 mm以上卵泡囊肿。滤泡囊肿的囊壁增强不如黄体囊肿。后者的壁通常也较厚,如图76.2A的冠状T2WI(白色箭头)所示,(B) CE T1WI显示管壁明显增强。
出血性黄体囊肿很常见,在图76.2C中示出,在轴位(C,白色箭头)T1和(D) T2WI上D分别为高信号和低信号。多囊卵巢综合征(PCOS)和卵巢过度刺激综合征中可见多个双侧囊肿。在多囊卵巢综合征中,根据定义,此类囊肿小于10 mm,位于外周和包膜下,与突出的低信号中心间质相邻。在卵巢过度刺激综合征中,囊肿可能较大且为非外周性囊肿。对于后者,可能出现腹水和胸腔积液,同时扭转风险增加。

▲ 图76.1
畸胎瘤可能含有囊性成分。皮样囊肿(即成熟囊性畸胎瘤)通常含有分泌脂肪皮脂腺物质的突出外胚层。通常会出现含有脂肪、毛发、骨骼或牙齿的实心非增强性突起(即Rokitansky)。图76.3中的(A)冠状位和(B)轴位T1WI显示了一个不均匀出现的囊性肿块,具有明显的高信号成分。这种高信号可见于出血性囊肿和子宫内膜异位,但(C)脂肪抑制T2WI上的信号丢失证实了皮样囊肿的存在。STIR抑制脂肪是非特异性的(即所有T1短的质子都被抑制),不能进行上述区分。微小脂肪含量可能无法通过频率饱和检测到

▲ 图76.2
可通过同反相位GRE T1WI上的信号减低更好地识别。增强,实性成分有利于恶性肿瘤诊断,比如未成熟的畸胎瘤。皮样囊肿易导致卵巢扭转,最初表现为基质水肿样信号,但由于坏死和出血,信号随时间变化。CE T1WI无增强是卵巢梗死的特异性表现,但考虑到卵巢的双重血供,对扭转不敏感。其他发现包括同侧子宫偏斜、腹水和卵巢血管充血。
在T1WI上呈高信号的子宫内膜异位囊肿出现在图76.4A的轴位T1WI的两侧。更具体的表现是T2WI上的(B)左侧病变,表现为“阴影征”,可视为信号强度完全丧失。纤维瘤谱肿瘤(纤维瘤、卵泡膜细胞瘤和纤维卵泡膜细胞瘤)的低信号是良性特有的。在Meigs综合征中,此类病变可能与腹水和胸腔积液相关。延迟增强很常见。大病变中的水肿会在T2WI上增加信号,而脂肪含量随着病变中卵泡膜细胞成分的增加而增加。

▲ 图76.3

▲ 图76.4
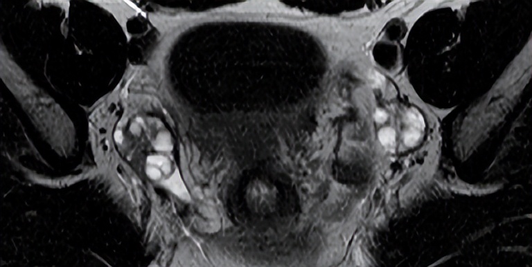
图76.5显示了一例患有严重子宫内膜异位症(AFS IV)的41岁女性患者的(A)轴位和(B)矢状位T2WI。在(A)中,左侧子宫内膜瘤中可见T2阴影(黑色*),上直肠阴道隔/囊膜中有T2低信号深度浸润性子宫内膜异位症(箭头)。在(B)中,可见狭窄的直肠乙状结肠状肠内深度浸润性子宫内膜异位症(箭头所示),伴有子宫腺肌症后壁增厚(白色*)。

▲ 图76.5
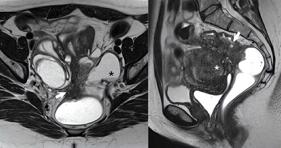
粘液性囊腺瘤和浆液性囊腺瘤在MR上常被混淆为转移性病变。粘液性囊腺瘤较大,更可能为良性,通常为多房性,由于粘液含量,在T1和T2WI上分别表现出高信号和信号I表现。如图所示,液状信号更典型地表现为浆液性病变。
然而,在76.6(A)轴位和(B)矢状位T2WI上,该病变的部分壁和隔膜增厚(> 3 mm),这与卵巢恶性肿瘤有关。(C)矢状位T1WI显示该囊性恶性肿瘤内存在高信号病灶出血。进一步提示的特征包括增强的实性成分或乳头状突起。对比增强时间强度-信号曲线和扩散限制有助于进一步区分良性和恶性卵巢病变。坏死在CE T1WI上表现为非增强病灶,与腹水和腹膜转移有关。卵巢癌的分期取决于疾病是累及卵巢(1期)还是盆腔(2期),或者是否存在盆腔或盆腔外转移(3期)或远处转移(4期)。卵巢癌通常通过腹膜种植转移——如果大小大于1 cm,则在CE T1WI上很容易识别出病变。直接淋巴扩散到腹膜后间隙和肾门也很常见。转移性病变增强且在T2WI上呈不均匀信号,而双侧病变和T2WI上信号较低的病变更提示胃肠道转移性癌(即Krukenberg瘤)。全身扩散加权MRI (WB-DW/MRI)近期显示出优越的分期准确性,这对于决定最佳治疗策略至关重要。

▲ 图76.6