
(文中含手术标本展示,请谨慎点击阅读)
前段时间,我有位亲戚,查出肺部磨玻璃结节已经一年多了,病灶风险不大,本来我是建议她继续随访的,但由于我要调动到杭州去工作,她觉得下次如果到杭州开刀没有在金华方便,所以在我去杭州前,还是打算开掉算了。我术前总觉得小的病灶基本上不典型增生或原位癌可能性较大,大而密度低的另一个应该是肺泡上皮增生之类,但术后病理出来小灶却是错构瘤样增生!真是奇怪,我是第一次见。分享一下:
我们先来看她的2021年3月CT图像:

上图是较大的病灶,但密度很低,轮廓较清,但瘤肺边界偏模糊,似见血管进入,由于密度低,风险不大,当时嘱随访。

上图是较小的病灶,密度较差大病灶高,但它其小,邻近胸膜,偏长条状,感觉也是不典型增生可能性大,也嘱随访。
再来看2021年10月份的CT:

大病灶持续存在,没有吸收好转,考虑应该是肿瘤范畴的病灶,但因密度低,且无显著进展,仍可随访。

小病灶也是持续存在的,瘤肺边界清
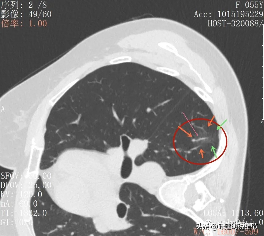
再来看2022年6月的CT图像:

小病灶轮廓清,是磨玻璃结节(红色箭头),有血管贴边或穿行(桔色箭头)

密度是磨玻璃,稍不均质,似乎略见胸膜牵拉(蓝色箭头)

整体轮廓清

病灶轮廓很清,邻近胸膜是略有影响的(蓝色箭头)

大病灶出现,密度甚淡,有血管进入的样子(桔色箭头),磨玻璃成分明显(绿色箭头),整体看,轮廓还是比较清楚的(红色箭头)

边略显模糊,主要是密度低,中间有小范围密度偏高(粉色箭头)

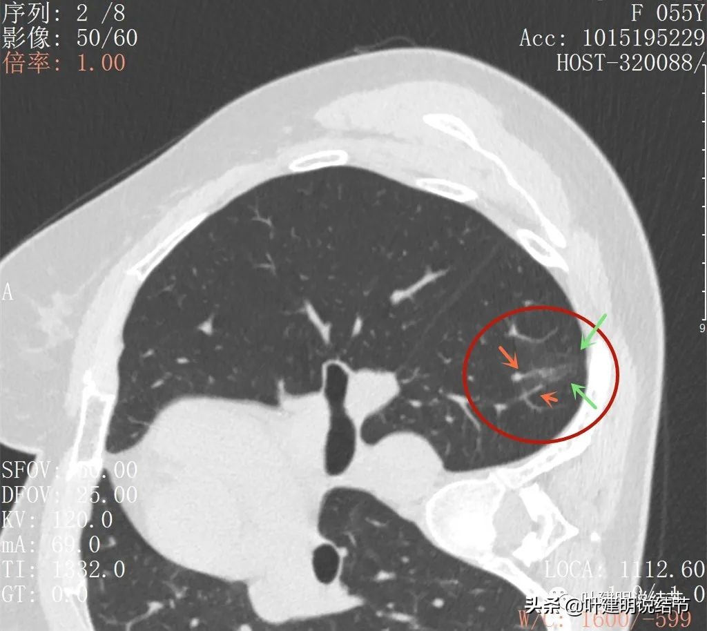
磨玻璃部分的密度非常淡,但轮廓相对来说还是看得清

灶内有血管穿行,表现为条状高密度,且不平整(粉色箭头),磨玻璃部分密度很淡

上图见多支血管走向病灶(桔色箭头)灶内有异常增粗血管穿行(细粉色箭头),病灶明显有磨玻璃成分,只是比较淡(绿色箭头)

病灶处有多支血管聚集的味道

边缘区密度更低的磨玻璃成分

冠状位小病灶边缘不平整,似有小棘突或毛刺样(紫色箭头),并有胸膜影响(蓝色箭头)

小病灶上图角度看,有血管进入(桔色箭头)
影像印象:
这样持续存在1年多了的肺磨玻璃结节,有磨玻璃成分,密度不均,有血管进入以及血管穿行,大病灶内血管还有异常增粗与毛糙;小病灶边缘有小棘突与毛刺。基本上要考虑是肿瘤范畴的病灶,我术前的判断是小病灶大概原位癌可能性大,不能排除不典型增生;大病灶是不典型增生可能性大,不能排除慢性炎伴肺泡上皮增生,最坏是结果是微浸润。但目前来说,风险仍不算高,继续随访关系也不大。但从持续存在,血管进入以及异常增粗,再结合位置能够亚肺叶切除来讲,如果考虑手术切除也可以。这需要看患者自己的想法与意见。
最后结果:
因为是我本人的亲戚,她也想我能亲自主刀手术,由于当时说快要调到杭州去了,她想与其再随访半年、1年或2年,如果仍然还是要手术的,而到时候需来杭州手术,不如在金华先开了算了。最后我们为其进行了“单孔胸腔镜下左肺下叶背段切除术”。没有清扫淋巴结,手术顺利,术后恢复非常顺利。术后标本如下:

大病灶剖面灰白,质较硬,无包膜

小病灶密度甚高,感觉比CT上看的高多了,质硬
病理示:

这个病理结果挺让我意外的:小灶居然是慢性炎伴平滑肌错构瘤增生,好像第一次见到这样的病理诊断。当然从标本肉眼来看,密度这么高是也符合的接近错构瘤的,但影像上真看不出来。大病灶是肺泡上皮非典型增生。这是我打电话与病理科一再确认过的。


(此处已添加医疗卡片,请到*今条头日**客户端查看)